
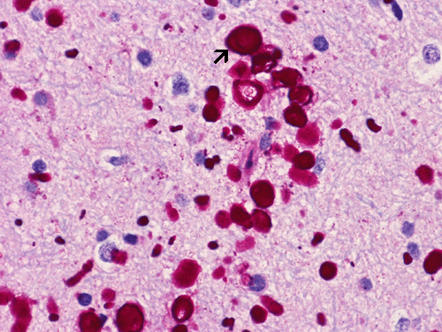
Polyglucosan body disease, PAS stain: The polyglucosan bodies (arrow) are strongly positive for PAS stain due to their high content of polysaccharide. These polysaccharides are diastase resistant and therefore polyglucosan bodies are also visualized with PAS stain with diastase pretreatment. Note that the is a spectrum of different sizes of polyglucosan bodies in this image.