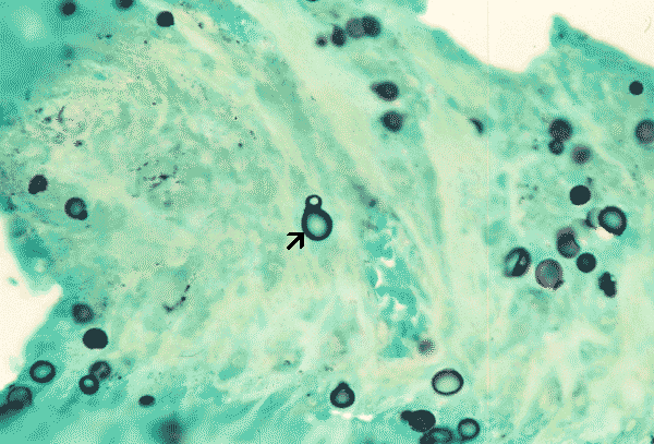
Blastomyces dermatidis, GMS stain
:
Note the characteristic broad base budding (arrow).