Case No.: A-014
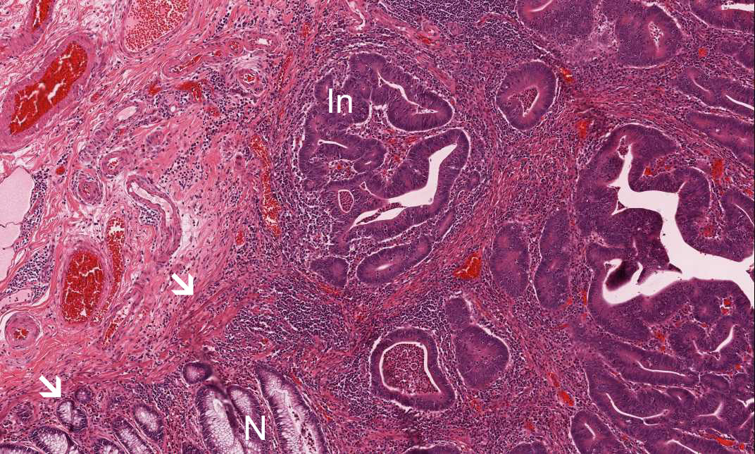
Diagnosis: Adenocarcinoma, low-grade, invading submucosa
Organ: Colon
Last Updated: 12/21/2011
|
|
|
Hematoxylin & eosin |
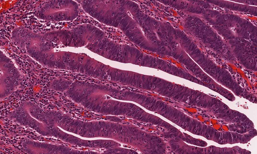
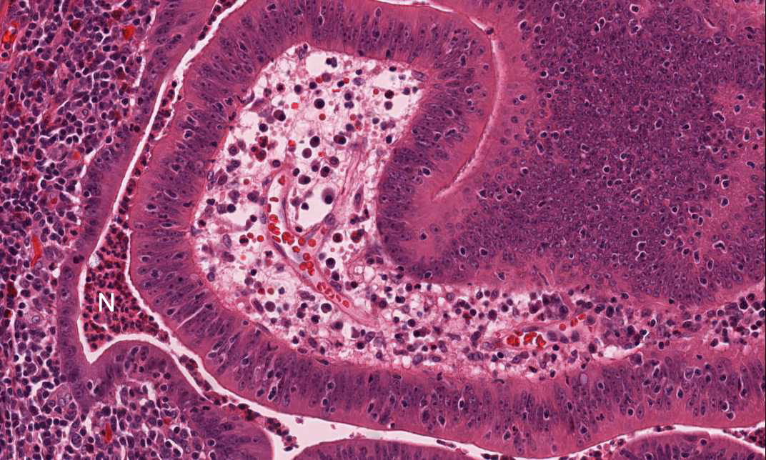
Area 3: This is another area showing the invading carcinoma. Note that necrotic debris are present in the lumens of the neoplstic glands. This is a very common feature for adenocarcinoma of the colon. |
|
History: This specimen was obtained from a colonic resection from an adult. What is your diagnosis?
Histologic Highlights of this Case:
|
Original slide is contributed by Dr. Kar-Ming Fung, University of Oklahoma Health Science Center, Oklahoma, U.S.A.