Case No.: A-015

Diagnosis: Well-differentiated neuroendocrine carcinoma (carcinoid) and atrophic gastritis with intestinal metaplasia

Organ: Stomach

Last Updated: 11/21/2011

 

Online Slide/Full Screen/Open with ImageScope

Hematoxylin & eosin

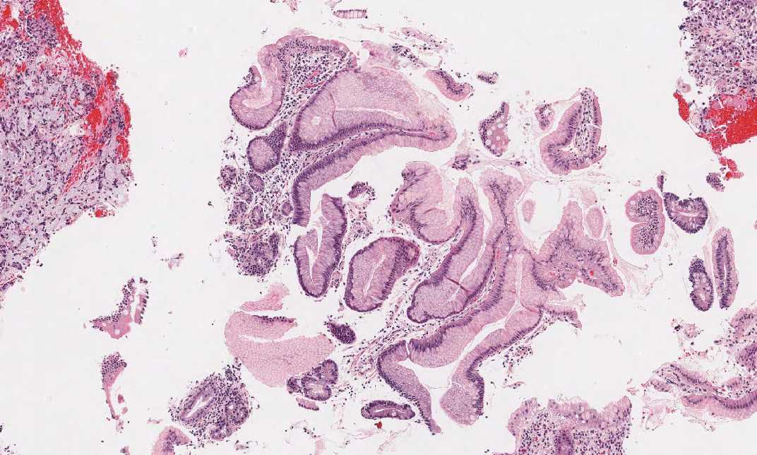
Area 1: This is the area with gastric mucosa fragments. Note that intestinal metaplasia is present in some of the fragments.

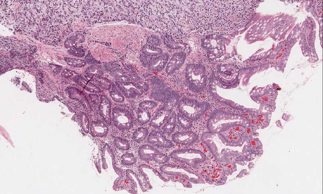
Hematoxylin & eosin

Area 2: This is the area of residual gastric mucosa with chronic atrophic gastritis and intestinal metaplasia.

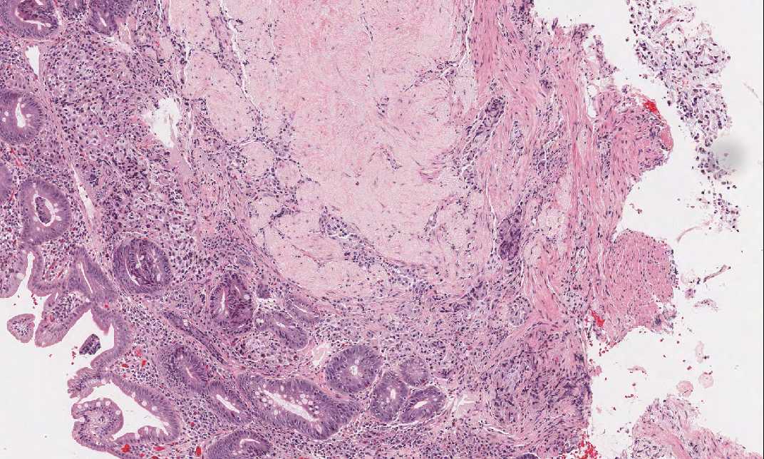
Hematoxylin & eosin

Area 3: The overall feature of the tumor is that of a cellular neoplastic epithelial proliferation with a myxomatous stroma and no distinct glandular formation. The overall arrangement of the tumor cells and the nuclear features suggest an neuroendocrine carcinoma.

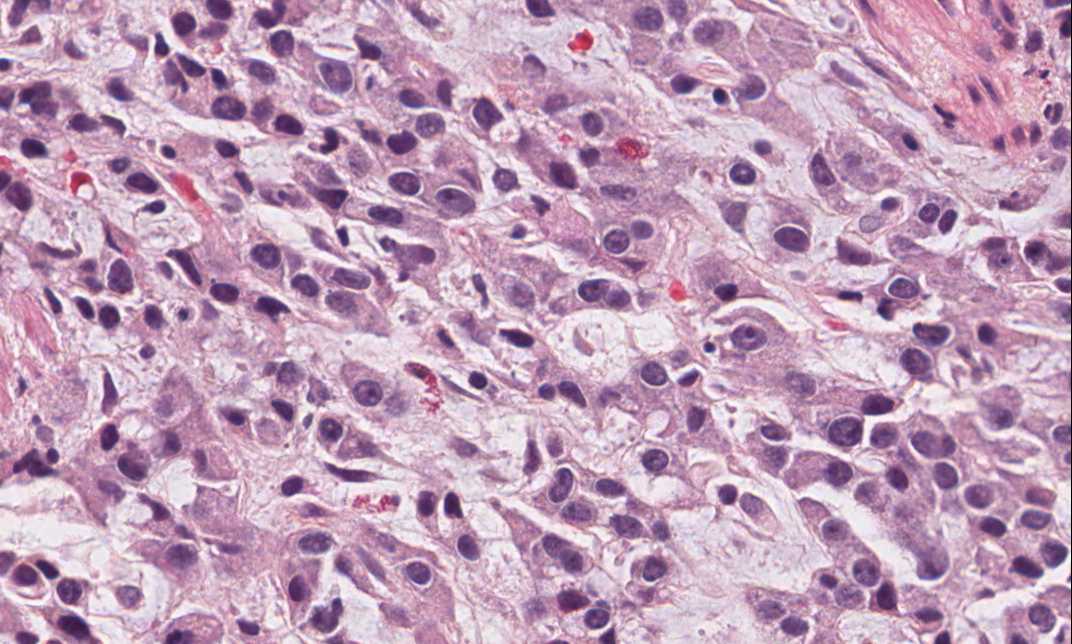
Hematoxylin & eosin

Area 4: The tumor invades into the muscularis propria.

History: This biopsy was taken from a 70 year-old woman. What is the organ? What is your diagnosis?

 

Histologic Highlights of this Case:

  • There are residual gastric mucosa with intestinal metaplasia which helps to identify this specimen as stomach (Area 1). These are areas with atrophic gastritis and intestinal metaplasia.

  • The tumor (Area 2) is composed of a cellular, neoplastic, epithelial proliferation with rather monotonous cells and monotonous nuclei. There is a myxomatous backgound. On medium magnification, one can appreciate the trabecular or organoid arrangement of tumor cells that are frequently seen in well differentiated neuroendocrine carcinoma (carcinoid). The tumor invades into the muscularis propria (Area 3).

Comment:

  • The myxomatous stroma in this case is likely to suggest mucin producing adenocarcinoma on the first glance. However, there is no mucin production by tumor cells on hematoxylin and eosin stain. On the other hand, the monotonous, round nuclei and the organoid like arrangement of tumor cells suggest neuroendocine carcinoma.

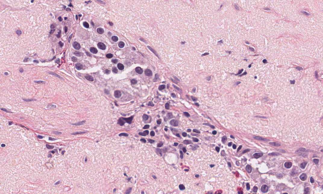
Bonus Images:

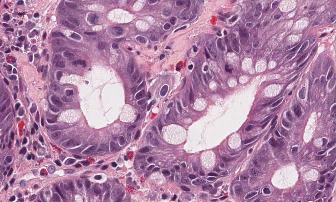
Hematoxylin & eosin

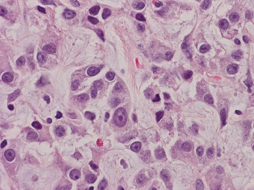
High magnification: A high magnification image shows round, and rather monontonous nuclei with prominent nucleoli and "salt and pepper" like chromatin. Although some adenocarcinoma can have this kind of nuclei, the nuclear features raise a serious concern of neuroendocine tumor.

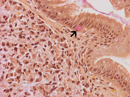
Mucicarmine stain

Mucicarmine stain: Although there is myxomatous stroma in this tumor, there is no genuine mucin production in the tumor cells. A mucicarmine stain demonstrates positive staining in the goblet cells (intestinal metaplasia) which serve as the internal control but not the tumor cell.

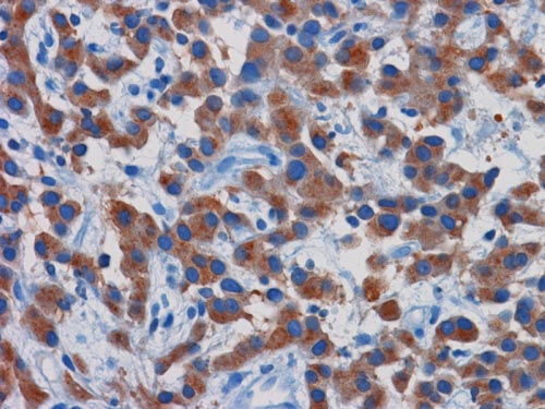
Synaptophysin

Synaptophysin: Immunohistochemistry for synaptophysin confirms the neuroendocrine nature of this tumor.

Original slide is contributed by Dr. Kar-Ming Fung, University of Oklahoma Health Science Center, Oklahoma, U.S.A.

 Home Page