Case No.: J-004  Quiz 

Diagnosis: Hyaline membrane disease

Organ: Lung

Last Updated: 7/10/2015

 

Online Slide/Full Screen/Open with ImageScope

Hematoxylin & eosin

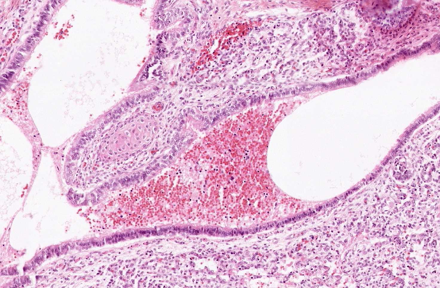
Area 1: A small island of cartilage is present in the wall of this small bronchus. Can you find it? Look, when the cartilage is present, it is still classified as a bronchus.

Hematoxylin & eosin

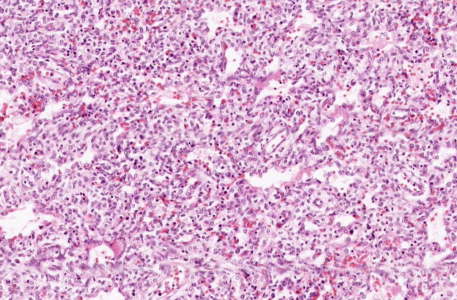
Area 2: In this area, you can see that most of the air spaces are not fully dilated. There are some more dilated spaces and you can find some pale eosinophilic substances lining these spaces. These are the hyaline membranes.

Hematoxylin & eosin

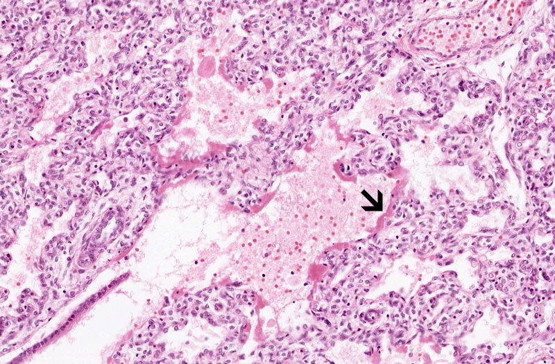
Area 3: This image is taken at the interface between the terminal bronchiole and the alveoli. Note the hyaline membrane lining the proximal air space (alveolar duct) highlighted by the arrow.

History:  This slide was taken from an old teaching file. The deceased subject was a premature baby with respiratory distress shortly after birth.

 

Clinical Perspectives:

  • Hyaline membrane disease is really a morphologic term of diffuse alveolar injury and it highlights the most prominent feature of this entity which is the formation of a thin layer of membranous substance lining the injured alveoli. In clinical manifestation, the baby will suffer infant respiratory distress syndrome (IRDS) which is also called surfactant deficiency disorder.

  • It is usually resulted from insufficient surfactant and immaturity of the lung in premature neonates. It is more common in preterm, even term neonates of diabetic mothers and in the second born of premature twins. Premature neonates born at 26-28 weeks of gestation have about 50% chances to develop IRDS but premature neonates born at 30-31 weeks of gestation are half as likely to develop this problem.

  • Classic radiologic findings include ground glass opacity due to incomplete expansion and less air in the lung. As a result, air containing bronchus (appears dark because they contains air) will show up in this relatively solid background (which appears hazy, ground glass white on plain film) to give a picture of "air bronchogram". Because of the lack of air, the lung often appears solid or liver like on gross examination.

  • Mutations of adenosine triphosphate (ATP)–binding cassette gene (ABCA3) on chromosome 16 result in fatal surfactant deficiency.

  • Mutations of surfactant protein-B gene (SFTPB) on chromosome 2 leads to a partial or complete absence of surfactant protein B and is transmitted as an autosomal recessive trait will cause IRDS.

  • Mutation of surfactant protein C gene (SFTPC) on chromosome 8 may cause IRDS and also contribute to chronic lung diseases such as interstitial lung diseases and emphysema as patients ages.

  • Mutation of 8 could also cause lung diseases but their presentations are more variable and do not always cause IRDS. Mutation of these genes, however, may contribute to interstitial lung diseases and emphysema as patients ages. 

Histologic Highlights of this Case:

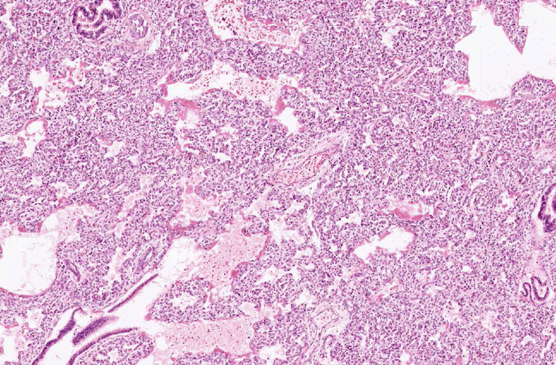
  • What organ is this? From the histologic perspectives for medical students, the first goal is to identify the organ of this slide. At the scanning level, it looks partially solid but there are some small slits in between. There are also some tubule like structures (arrow). On a closer look, these tubules are lined by ciliated columnar epithelium and some may have cartilage next to it and these are bronchi/bronchioles. On higher magnification, you can appreciate that the solid looking areas are in fact immature pulmonary alveoli that has not fully expanded which end up giving this kind of solid look at low magnification. The alveolar space can be clearly recognized.

  • In general, there is no inflammatory cell infiltration and the alveolar spaces are only partially expanded or not expanded at all.

  • Although the alveolar spaces are not completely expanded, distal airways and proximal air spaces (alveolar ducts) are usually dilated and lined by a thin layer of delicate, pale eosinophilic, amorphous transuduate-like substance known as hyaline membrane. The hyaline membrane may form within 30 minutes after birth.

  • Lymphatics in interlobular septa are often dilated and prominent. Edematous fluid and sometimes hemorrhage (not in this case) can be seen.

  • Developmental malformations may co-exist but is not part of hyaline membrane disease and therefore deserves a separate recognition.

Original slide is contributed by Fred R Dee MD, Department of Pathology, University of Iowa (Iowa Image Collection). Discussion is provided by Dr. Zhongxin Yu, Department of Pathology. University of Oklahoma Health Sciences Center.

 Home Page