Case No.: L-001

Diagnosis: Granuloma consistent with sarcoidosis.

Organ: Liver

Last Updated: 12/31/2009

 
Online Slide/Full Screen
Open with ImageScope
 

 

Online Slide/Full Screen

Open with ImageScope

 

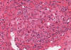
Hematoxylin & eosin

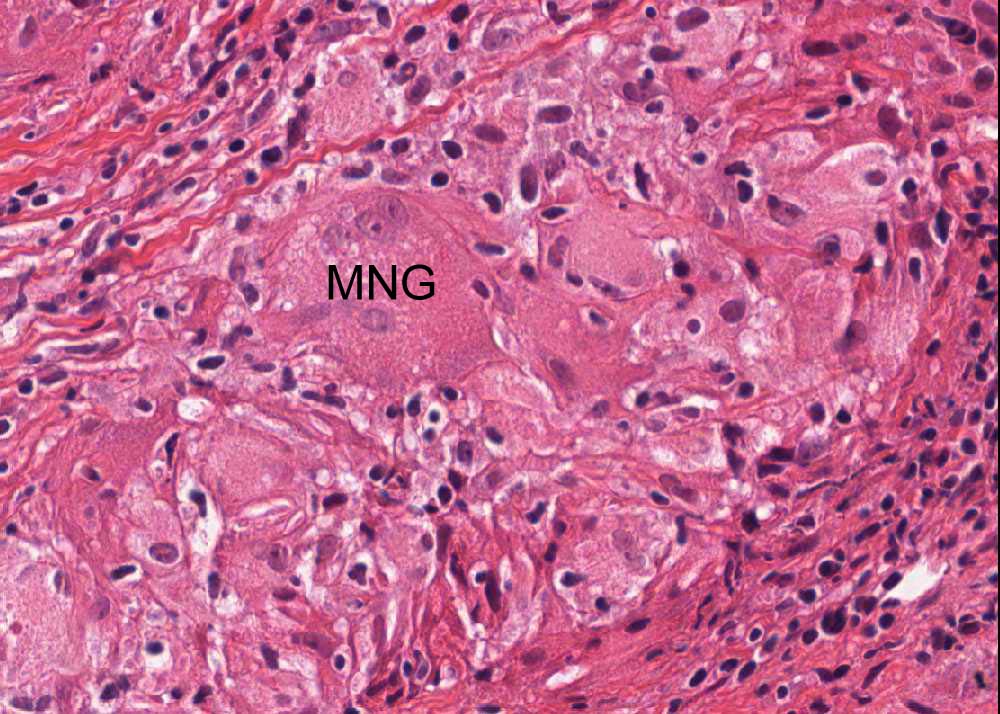
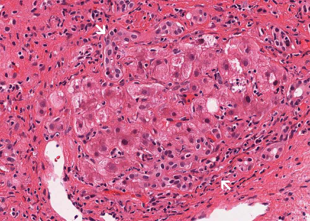
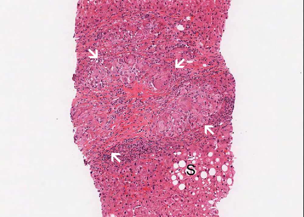
Area 1: The granuloma is outlined by the arrows  and the steatosis (S) is also present. Multinucleated giant cells (MNG) is present. Note that there is no necrosis in these granulomas. Note that the granuloma is surrounded by a small amount of reactive lymphocytes.

Hematoxylin & eosin

Area 2: The granuloma (Granu.) is surrounded by lymphocytes. Note that there are also areas with mainly lymphocytic infiltration and the granulomatous changes is subtle (Inflam.). Steatosis (Stea.) is also present. Note that the non-steatotic hepatocytes in the steatotic area has more regular cell shape in comparison to the histiocytes. In some areas as illustrated here in the high-magnification, residual hepatocytes may be difficult to be distinguished from granuloma base on morphology alone (arrows).

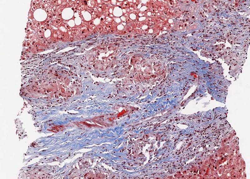
Trichrome

Area 3: The granuloma is surround by fibrous tissue which is well demonstrated by the Masson's trichrome stain which stains collagenous fibrous area blue. Click on the online slide to compare with the hematoxylin and eosin stained slide.

History: The patient was a 56 year-old African American woman who presented with constitutional symptoms of vague abdominal pain, fatigue and weight loss. Her past medical history was significant for hypertension and otherwise unremarkable. Physical examination was remarkable for abdominal fullness and hepatosplenomegaly. A chest and abdominal computed tomography scan showed normal pulmonary and mediastinal anatomy with a moderately enlarged liver and spleen. Her laboratory data, including routine chemistries and complete blood count, were within normal limits, albeit a borderline low platelet count. Liver function tests were normal. Anti-mitochondrial antibody (AMA), antinuclear antibody (ANA), antineutrophil cytoplasmic antibodies (ANCA) and anti-smooth muscle antibody were all negative. Hepatitis and CMV serologies were also negative. A liver biopsy was performed which generated the current specimen. A follow up test on serum angiotensin converting enzyme showed (ACE) elevation.

 

Online Slides:

 

Histologic Highlights of this Case:

  • The specimen shows a mild to moderate amount of steatosis. Many small granuloma without necrosis are present and these granulomas are surrounded by a moderate amount of lymphocytes (Area 1 and 2). The granulomas are composed of histiocytes (macrophages) with a few multinucleated giant cells present.

  • No acid fast bacilli or fungal organisms are identified by acid fast stain or Gomori' methanamine silver (GMS) stain. No birefringent materials are identified by polarized light microscopy.

  • There is also an increase in fibrosis which is mainly around the granulomas (Area 3) but there is no definitive evidence of cirrhosis.

Bonus Images:

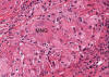
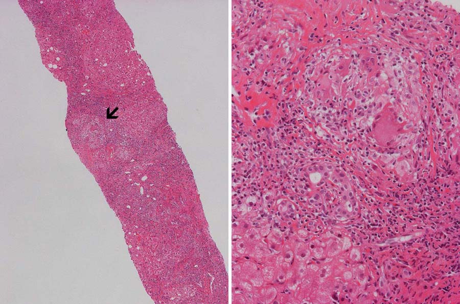
Hematoxylin & eosin

Granuloma: This is another image that show the granuloma (arrow in the left panel). This image provides a good survey on the extent of granulomatous changes. A multinucleated giant cell is present (arrow in the right panel)

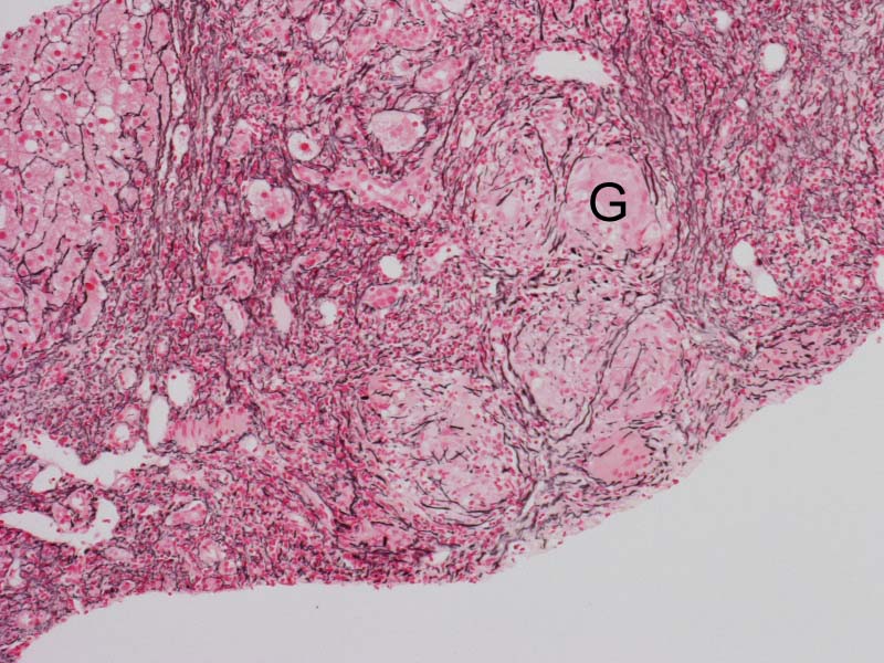
Reticulin

Reticulin Stain: The granuloma are well delineated by reticulin fibers. Some of the reticulin fibers extend into the center of the granuloma which is a feature of sarcoidosis.

Original slide is contributed by Dr. Kar-Ming Fung, University of Oklahoma Health Sciences Center, Oklahoma, U.S.A.

 Home Page