Case No.: L-004

Diagnosis: Microcystic serous cystadenoma

Organ: Pancreas

Last Updated: 12/21/2011

Online Slide/Full Screen/Open with ImageScope

Hematoxylin & eosin

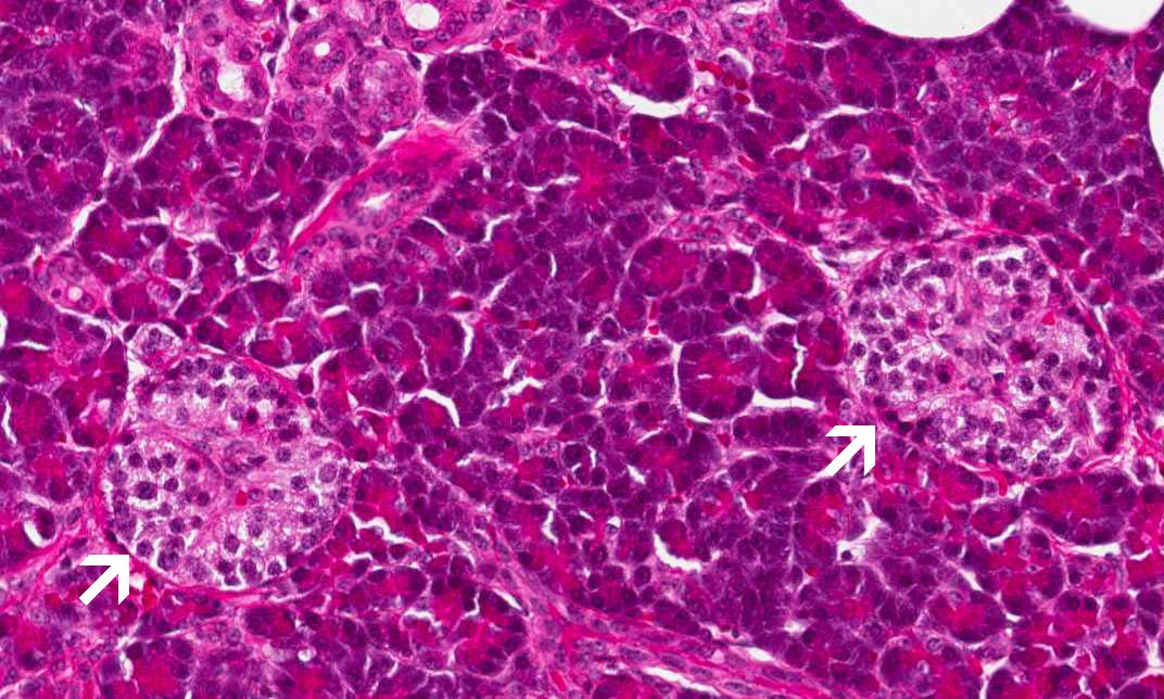
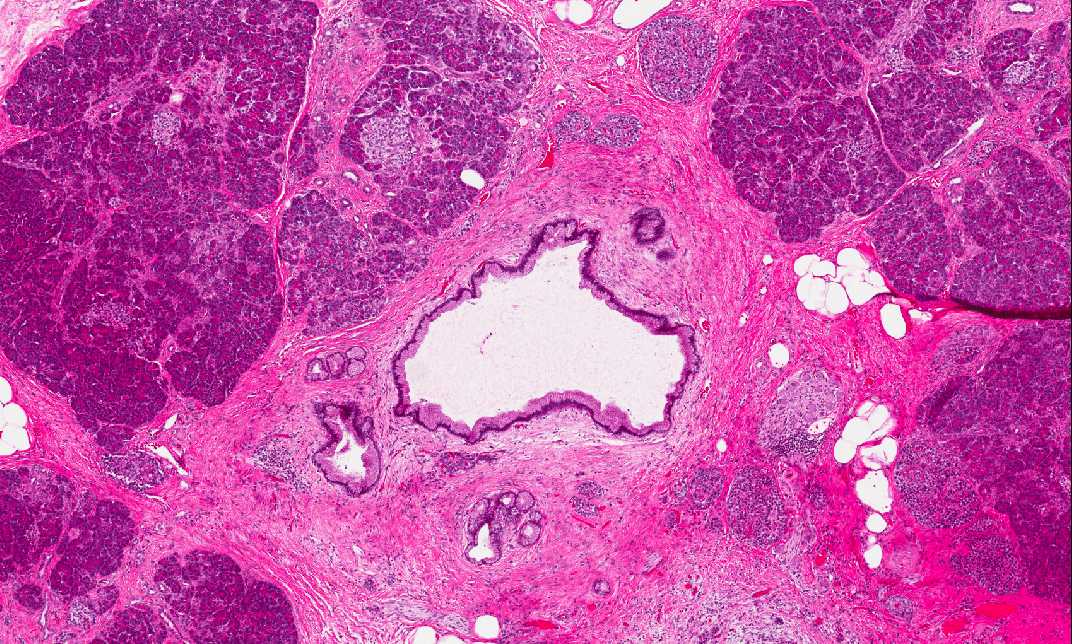
Area 1: Both exocrine and endocrine components are illustrated here. The islets of Langerhans are outlined by the arrows.

Hematoxylin & eosin

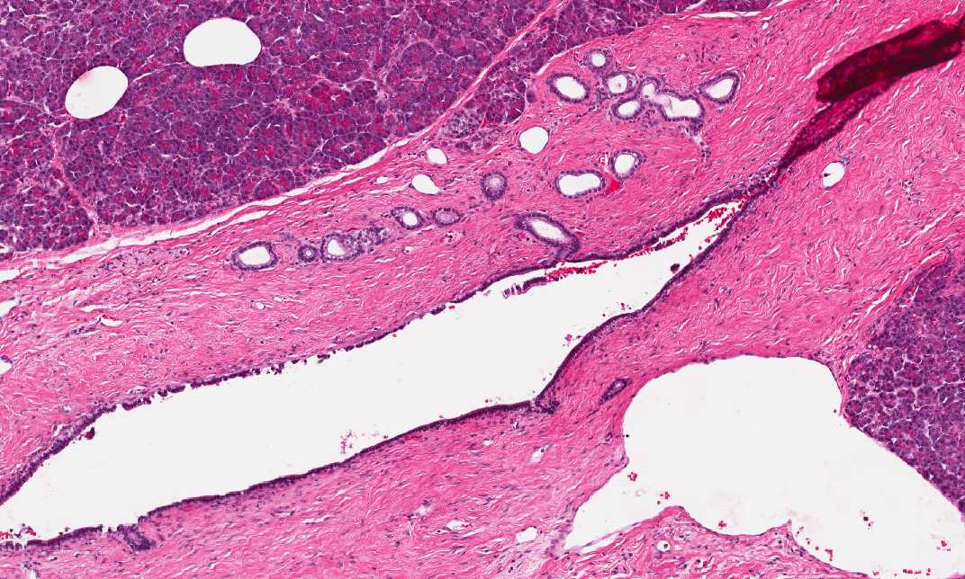
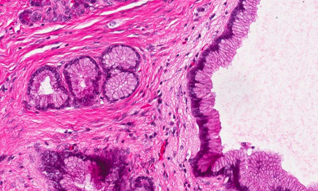
Area 2: The glandular components are being illustrated here.

Hematoxylin & eosin

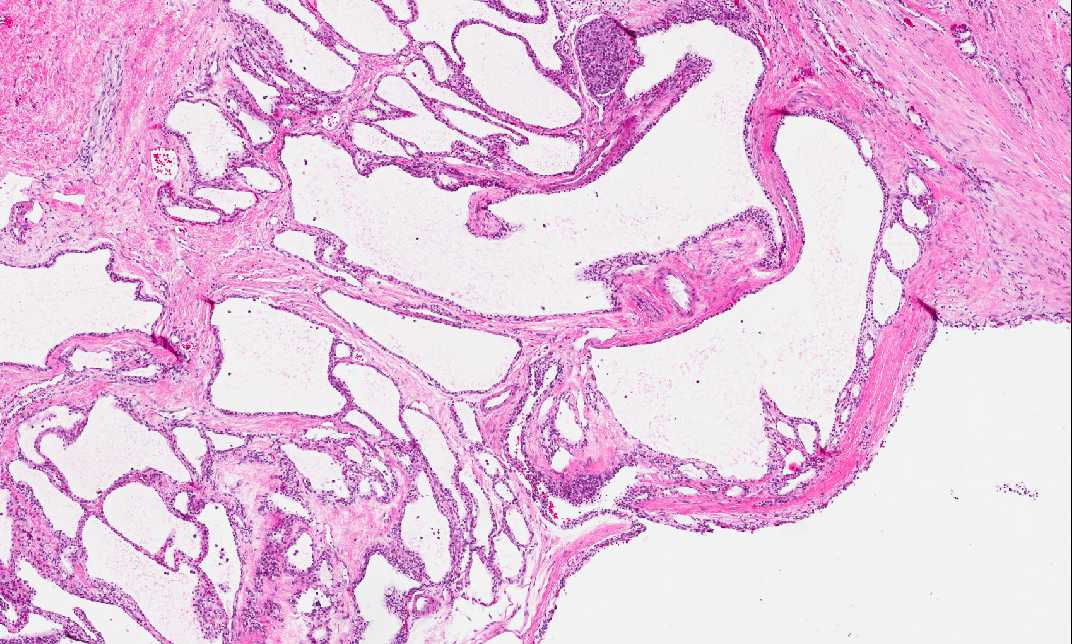
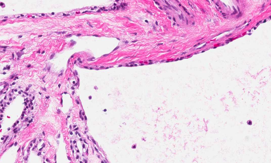
Area 3: The tumor is composed of numerous cysts of variable size separated by fibrous septa of variable thickness lined by a single layer of cuboidal clear cells with bland nuclei. Entrapped islets may be seen within the septa but they are not present in this case. In some areas, the lining seems to have more than one layer and most of these areas are due to tangential cut of the cysts.

Hematoxylin & eosin

Area 4: In this area, there are some atrophic changes of the ductal epithelium. The atrophic chagnes may be secondary to obstruction produced by the tumor.

History: This specimen was obtained from a 65 year old patient. What is this organ? What is your diagnosis?

 

Histologic Highlights of this Case:

  • The is obtained from a pancreas. There are lobules of acini separated by thin fibrous septa. Within these acini are islets of Langerhans (arrow) (Area 1). Pancreatic ducts lined by columnar epithelium are also present (Area 2).

  • The lesion is outlined by the arrows. Grossly, it appears a well demarcated lesion with a sponge-like cut surface. Histologically, the tumor is composed of numerous cysts of variable sizes which reflect the sponge-like cut surface (Area 3). The lining cells of the cysts are small cuboidal clear cells often with clear cytoplasm, well-defined cytoplasmic borders, and small round nuclei with dense and rather homogeneous chromatin. The lining is usually single layered.

  • The clear cells contains glycogen which can be demonstrated by periodic acid Schiff stain. Serous tumors do not produce mucin.

Comment:

  • The size of the cysts in serous cystic tumor of the pancreas can vary from  macrocystic (more common in man), microcystic (more common in woman), and even solid.

Original slide is contributed by Dr. Kar-Ming Fung, University of Oklahoma Health Science Center, Oklahoma, U.S.A.

 Home Page