|
History: This autopsy
specimen is obtained from an 8 year-old child who carried a diagnosis of
Canavan disease (Canavan-Van Bogaert-Bertrand disease).
Histologic Highlights of this Case:
-
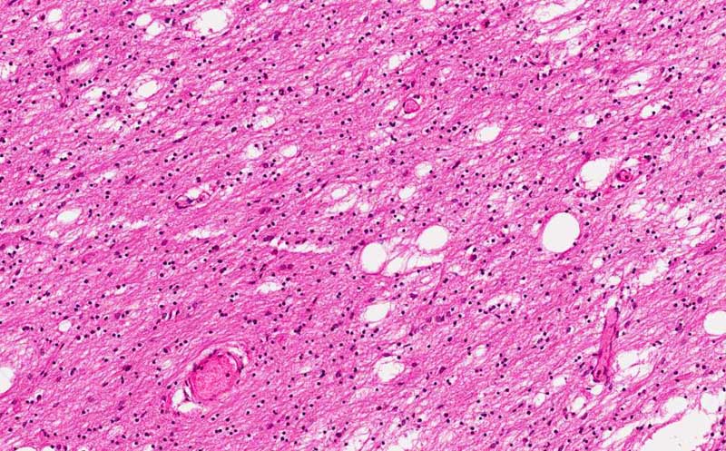
The salient features of this specimen is
widespread spongiotic changes (vacuoles formation) predominantly
affecting the white matter with the gray-white junction most
severely affected.
-
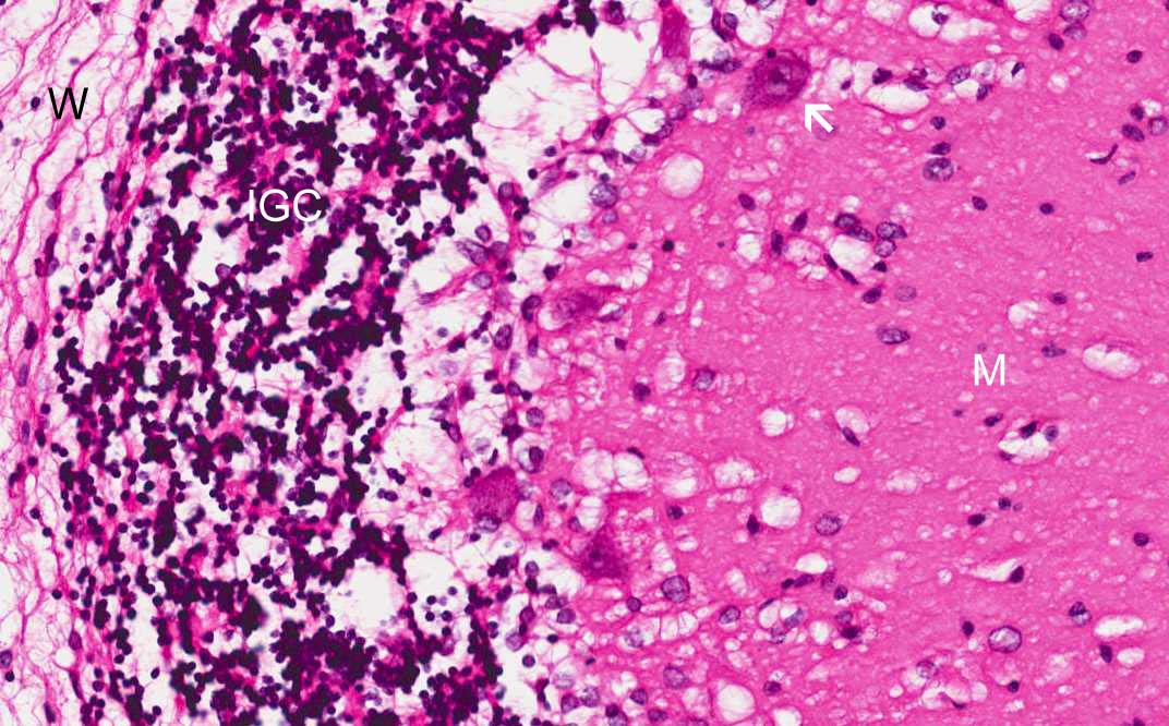
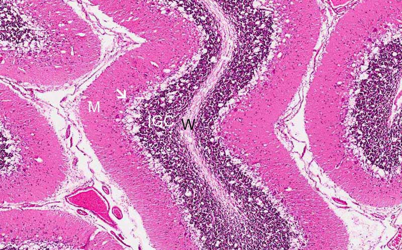
The severe spongiotic change between the
molecular layer and internal granule layer is characteristic for
Canavan's disease (Area 1). Numerous vacuoles are also present in
the white matter (Area 2).
-
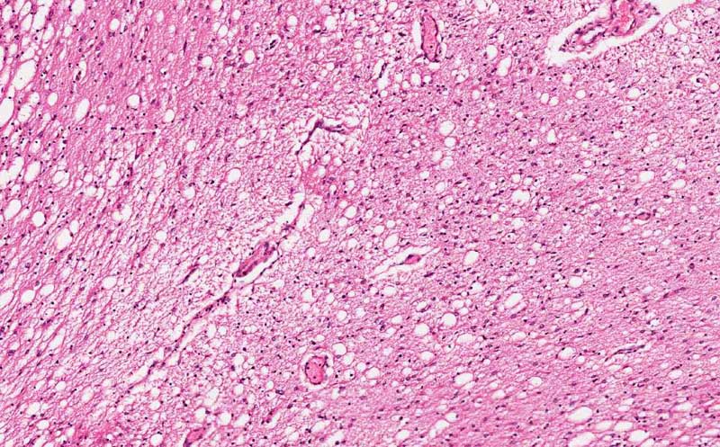
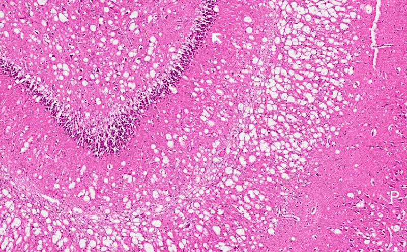
In the cerebral hemisphere, there is
also wide spread spongiotic changes. The hippocampus is a good
example. there are numerous vacuoles in the white matter (Area 4)
and the gray-white junction (Area 4).
-
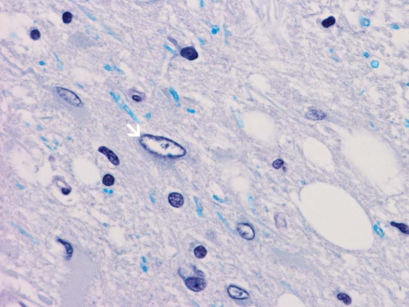
Note that the white matter has no myelin
on myelin stain (Luxol fast blue). Due to the inability to maintain
normal myelination, Canavan disease is also a type of leukodystrophy.
Additional Information:
-
Canavan disease is an autosomal
recessive disorder resulted from a defective ASPA gene on
chromosome 17 which codes for the enzyme aspartoacylase. This enzyme
catalyses N-acetylaspartic
acid into L-aspartic acid and acetate. N-acetylaspartic acid is
found in high concentration and, after glutamic acid, the second
most abundant free amino acid in the brain. High level of N-acetylaspartic
acid is toxic to the brain. Like other amino acid metabolic
disorder, no storage material is present because amino acid cannot
form insoluble storage material.
-
Widespread
spongiotic changes is the characteristic feature of Canavan disease.
The pathologic change is a reflection of the toxicity of N-acetylaspartic
acid. The spongiotic changes, however, are not specific for Canavan
disease. Such spongiotic changes can be seen in other abnormal amino
acid metabolic disorders and other poisoning such as methanol
poisoning.
-
Symptoms usually do
not manifest at the time of birth. Initial development of the baby
is normal and then followed by hypotonia, head lag, and seizure as
well as mental retardation, and macrocephaly. There may also be
optic atrophy, irritability, sleep disturbance and problems with
esophageal disorder and swallowing. Most patients die in the first
decade of life.
|