Case No.: N-020

Diagnosis: Meningomyelocele

Organ: Spinal cord

Last Updated: 3/21/2011


Online Slide/ Full Screen/

Open with ImageScope

 

 

Hematoxylin & eosin

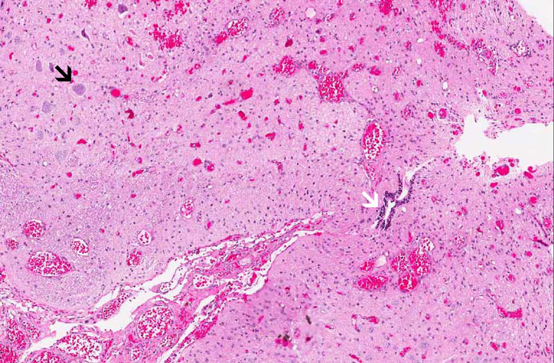
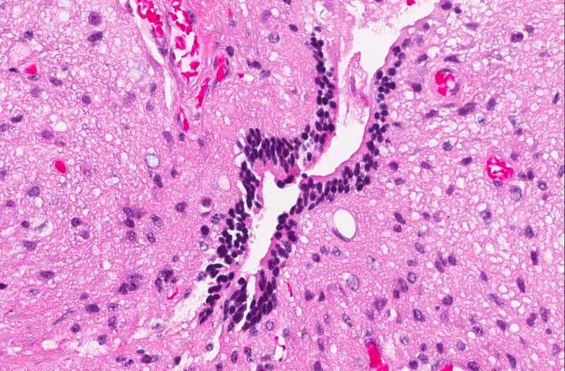
Area 1: A cleft like space lined by ependymal cells is present in this area (white arrow). The shape of this structure is suggestive of a fragment of the central canal. Some large neurons (black arrow) are also present. These structures, however, are disorganized and this is typical for meningomyelocele.

Hematoxylin & eosin

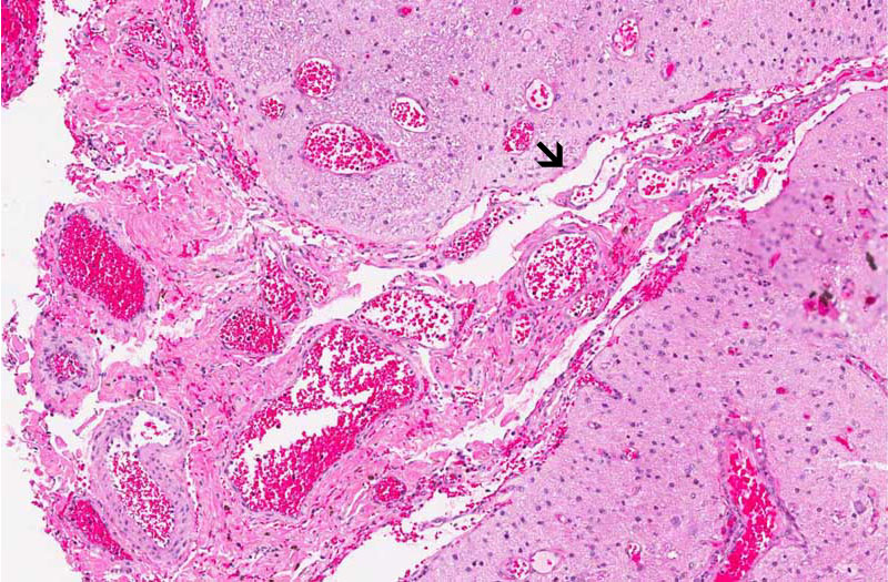
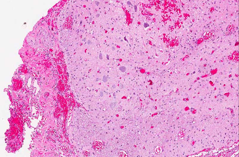
Area 2: There is a rich network of blood vessels attached to the brain parenchyma. The leptomeninges is not readily seen . The border between the blood vessel and the neural parenchyma is well demarcated (arrow). In this particular area, an island of neural parenchymal tissue (n) is trapped in between two portion of fibroconnective tissue with rich vasculature (f).

Hematoxylin & eosin

Area 3: In contrast to Area 2, the blood vessels are not firmly adhered to the brain parenchyma and the leoptmeninges (arrow) can be recognized.



Hematoxylin & eosin
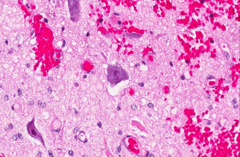
Area 4: Large neurons like the one being illustrated here are present in different part of the specimen. Can you find them? These neurons are large enough to compare with those in the anterior horn cells. This morphologic similarities, however, are not enough proof that these are anterior horn cells.

History: This specimen was obtained from the sacral region of a newborn. The patient as a clinical diagnosis of meningomyelocele.

 

Histologic Highlights of this Case:

  • In general, the pathologic changes are dominated by rich blood vessels with congestion and disorganized neural parenchyma in a background of gliosis.

  • Ependymal lining can be found in some area (Area 1) suggestive of residual central canal.

  • The rich and congested blood vessels are often firmly adhered to the neural parenchyma (Area 2 and 3).

  • There are areas with large neurons that are similar to anterior horn cells in terms of size and shape (Area 3).

  • In a some area, the blood vessels are not densely adhered to the neural parenchyma and a leptomeninges can be well demonstrated (Area 4).

Comment:

  • No inflammatory changes are noted in this specimen. In general, if the meningomyelocele is intact, inflammatory cell infiltration would not be seen. On the other hand, if the meningomyelocele is not intact or if it has rupture in the later course of disease, chronic inflammatory cell infiltration in the more superficial area is the rule.

Bonus Images:

Hematoxylin & eosin

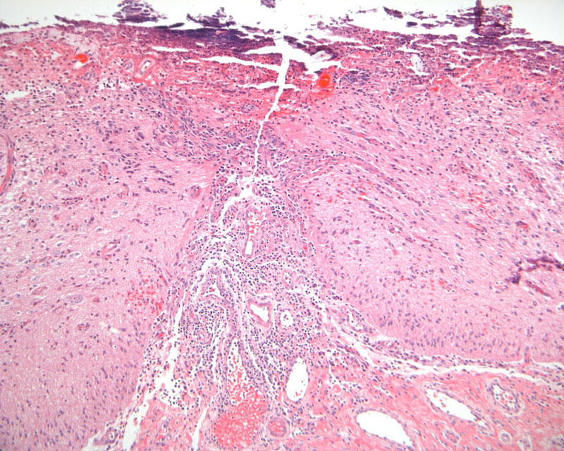
Chronic inflammation: This is a specimen of meningomyelocele without intact covering. Note the chronic inflammatory cell infiltration.

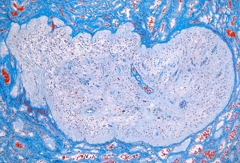
Hematoxylin & eosin

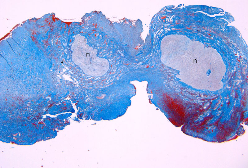
Trichrome stain: This specimen is taken from a different case and stained with trichrome stain. Note that the neural parenchymal islands (n) and the surround fibroconnective tissue (f) are well demonstrated. Trichrome typicall demonstrate the difference in color between these two element nicely. Note that similar to our case, there is also a rich vascular network around these parecnymal islands (v).

Original slide is contributed by Dr. Kar-Ming Fung, University of Oklahoma Health Sciences Center, Oklahoma, U.S.A.

 Home Page