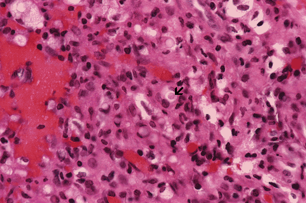
April 2003, Case 304-2.
A basophilic to amphophilic core (so-called "basophilic body"
ß
) is seen in some of the organisms.