April 2003, Case 304-2.
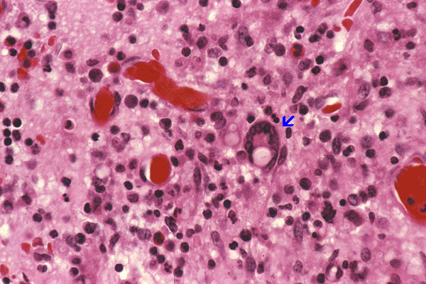
Langhans type giant cells containing organisms are occasionally found (
ß
). The acute and chronic inflammatory cell components are also well illustrated in this high-magnification photo.