A 9 month-old Girl with a Mass in the Hard Palate.
February, 2004, Case 402-1. Home Page

Pablo C. Souza, M.D., Kar-Ming Fung, M.D., Ph.D. Last updated February 1, 2004.

Department of Pathology, University of Oklahoma Health Sciences Center, Oklahoma City, Oklahoma

Clinical information: A 9 month old girl presented with a 2.5 cm mass involving the anterior portion of the hard palate. The mass is covered by intact mucosa and did not seem tender. Imaging studies showed a poorly demarcated, radiolucent, destructive lesion. The mass was excised. The following photomicrographs were taken from representative areas of this mass.

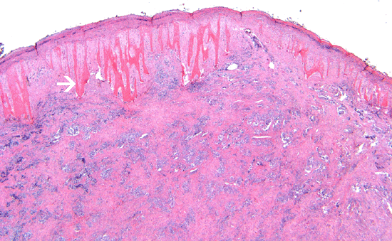
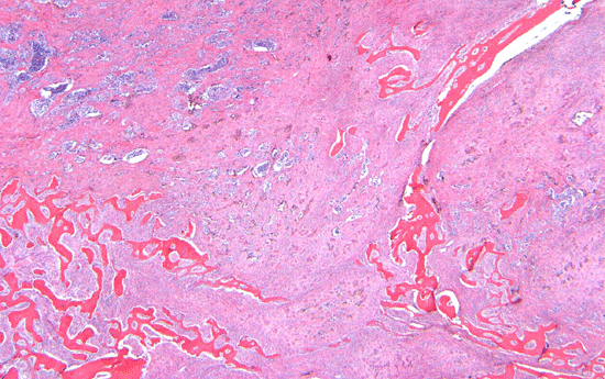
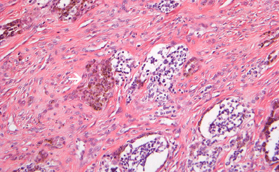
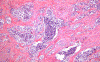
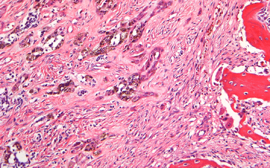
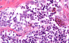
Com402-1-06.gif (136013 bytes) Com402-1-05.gif (156467 bytes) Com402-1-11.gif (160831 bytes) Com402-1-01.gif (153871 bytes) Com402-1-02.gif (170699 bytes)  
A. B. C. D. E.  
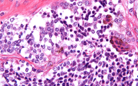
Com402-1-03.gif (164885 bytes) Com402-1-10.gif (139003 bytes) Com402-1-07.gif (145654 bytes) Com402-1-08.gif (141810 bytes)    
F. G. H. I.    

Pathology of the case:

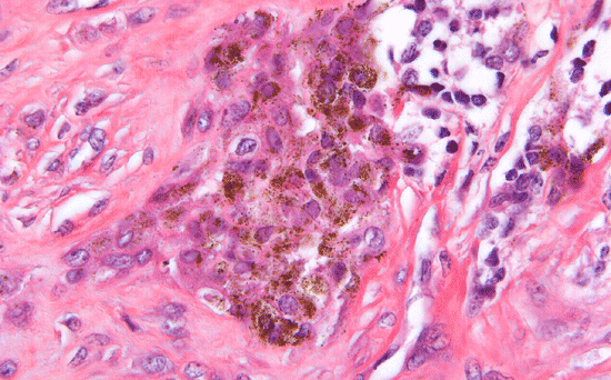
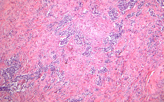
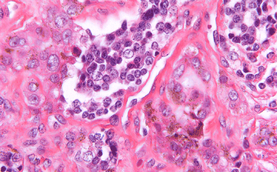
    The mass is an intraosseous lesion that erode the bone (Arrow in Panel A) and is covered by intact overlying mucosa. Bone destruction is also see at the periphery of the tumor (Panel B and C) while the center of the lesion dose not contain any bone fragments. These is no osteoid formation by the tumor cells. The background of the tumor is fibrotic and contains irregular islands of tumor cells (Panel A, B, C, D, E, and F). There appear to be two populations of tumor cells, the large melanotic (pigmented) type and the small non-pigmented type (Panel C and D). The islands can be composed of a mixture of both large, pigmented cells and small cells or either the large or small cells only (Panel C, D, E, and F). On higher magnifications, the small cells have morphologic features of primitive neuroepithelial cells (Panel G and H) while the larger cells have features of melanocytes (Panel I). Immunohistochemistry show strong positive staining for synaptophysin in the cells but not the large cells. The large cells are positive for HMB45. Both cell types are negative for S100 protein.

DIAGNOSIS: Melanotic neuroectodermal tumor of infancy (retinal anlage tumor, melanotic progonoma).

Discussion: General Information    Pathology

General Information

    Melanotic neuroectodermal tumor of infancy (MNTI) is an uncommon tumor. It usually occurs in patients under 1 year of age with a male predilection. Typical MNTIs are non-tender, non-ulcerated, soft, rapidly growing pigmented swellings.  Although locally invasive, they are generally depicted as benign lesions. Uncommon malignant tumors has been reported. MNTIs usually occur in the craniofacial region and the neck. The recurrence rate have been reported to be 60% in one study 1. Approximately 90% affect the craniofacial region and the neck 1, 2, 3, 4. MNTIs arising in other sites including the ear 5, pineal 6, epididymis  2, 7, femur 2 and other locations have also been described. The local recurrence rate was 60% and and 1. Up to 5% of them may metastasize and sometimes lead to patient death 1, 2, 3, 8. [Click here to see a case of malignant melanocytic neuroectodermal tumor of infancy]

    Surgery is the treatment of choice, with regional lymph node dissection recommended by some investigators for those rare cases in which lymphatic invasion is noted. Complete resection is an important prognostic factor. However, even large lesions with incomplete excision usually carry a good prognosis. Radiotherapy and chemotherapy have been shown to be ineffective in controlling MNTI.

Pathology

    Microscopically, MNTIs are biphasic tumors composed of larger, polygonal, epithelioid cells containing variable amount of melanin and small, neuroblast-like cells. The large, melanocyte-like cells often arrange in alveolar or pseudoglandular structures. These cells melanocyte resembling cells are mixed with a variable number of smaller, neuroblast-like cells. The neuroblast-like cells arrange in clusters or islands with a fibrillary matrix. There is usually a lack of impressive pleomorphism in either cell type. Necrosis is usually lacking. Although mitotic rate is variable, it is low in most cases 9. MNTI has fibrotic background. Irregular infiltration into the surrounding bone, particularly in the maxillary bone as demonstrated in this case, can be seen. Histology is an unreliable guide to future behavior of MNTI. There is little difference in the histopathologic features of the original biopsy and the recurrent lesion. When metastasis occurs, however, it is the smaller round cells that predominate in secondary deposits. In one case that was studied by tissue culture, only the small cells would sustain 8.

    With immunohistochemistry, both small cells and large cells are positive for synaptophysin but expression in the small cells is more consistent. There is also variable expression of epithelial membrane antigen, glial fibrillary acidic protein, and Leu-7. The expression of cytokeratin and HMB-45 is more consistent in the large cells. Interestingly, S-100 is often not expressed.  The immunophenotypic profile of cytokeratin+/HMB45+/S100- is an interesting combination. This profile is compatible with melanocytic differentiation. Some melanomas are also positive for cytokeratins and negative for HMB45 and S100 10 but other histologic features of malignant melanoma is lacking in the pigmented, large cells in MNTI.

    This mixed neuroblastic and melanocytic phenotype is also demonstrated at the ultrastructural level. Neurosecretary granules, desmosomes, tonofilaments and neurosecretary granules have been demonstrated in the small cells 1. Melanosomes and premelanosomes have been demonstrated in the melanotic large cells. The neuroendocrine phenotypes, melanin formation, and elevated level of vanillylmandelic acidic in urine in some cases suggest a neurocrest origin of these tumors 8, 11. MNTIs also share the production of melanin with some uncommon neuroblastic or neuronal tumors of the peripheral and central nervous system including esthesioneuroblastoma 12, ganglioneuroblastoma 13, neuroblastoma 14, paraganglioma 15, neurocytoma 16 and medulloblastoma 17.

Reference: 

  1. Pettinato G, Manivel JC, d'Amore ES, Jaszcz W, Gorlin RJ. Melanotic neuroectodermal tumor of infancy. A reexamination of a histogenetic problem based on immunohistochemical, flow cytometric, and ultrastructural study of 10 cases. Am J Surg Pathol. 1991 15:233-45.

  2. Johnson RE, Scheithauer BW, Dahlin DC. Melanotic neuroectodermal tumor of infancy. A review of seven cases. Cancer. 1983 15;52:661-6.

  3. Young S, Gonzalez-Crussi F. Melanocytic neuroectodermal tumor of the foot. Report of a case with multicentric origin. Am J Clin Pathol. 1985 84:371-8.

  4. Stirling RW, Powell G, Fletcher CD. Pigmented neuroectodermal tumour of infancy: an immunohistochemical study. Histopathology. 198812:425-35.

  5. Dashti SR, Cohen ML, Cohen AR. Role of radical surgery for intracranial melanotic neuroectodermal tumor of infancy: case report. Neurosurgery. 1999 45:175-8.

  6. Gorhan C, Soto-Ares G, Ruchoux MM, Blond S, Pruvo JP.  Melanotic neuroectodermal tumour of the pineal region. Neuroradiology. 2001 43:944-7.

  7. Toda T, Sadi AM, Kiyuna M, Egawa H, Tamamoto T, Toyoda Z.  Pigmented neuroectodermal tumor of infancy in the epididymis. A case report. Acta Cytol. 1998 42:775-80.

  8. Dehner LP, Sibley RK, Sauk JJ Jr, Vickers RA, Nesbit ME, Leonard AS, Waite DE, Neeley JE, Ophoven J. Malignant melanotic neuroectodermal tumor of infancy: a clinical, pathologic, ultrastructural and tissue culture study. Cancer. 1979 43:1389-410.

  9. Barrett AW, Morgan M, Ramsay AD, Farthing PM, Newman L, Speight PM. A clinicopathologic and immunohistochemical analysis of melanotic neuroectodermal tumor of infancy. Oral Surg Oral Med Oral Pathol Oral Radiol Endod. 2002 93:688-98.

  10. Zarbo RJ, Gown AM, Nagle RB, Visscher DW, Crissman JD. Anomalous cytokeratin expression in malignant melanoma: one- and two-dimensional western blot analysis and immunohistochemical survey of 100 melanomas. Mod Pathol. 1990 3: 494-501.

  11. Borello ED, Gorlin RJ. Melanotic neuroectodermal tumor of infancy--a neoplasm of neural crese origin. Report of a case associated with high urinary excretion of vanilmandelic acid. Cancer. 1966; 19:196-206.

  12. Curtis JL, Rubinstein LJ. Pigmented olfactory neuroblastoma: a new example of melanotic neuroepithelial neoplasm. Cancer. 1982 15;49:2136-43.

  13. Hahn JF, Netsky MG, Butler AB, Sperber EE.  Pigmented ganglioneuroblastoma: relation of melanin and lipofuscin to schwannomas and other tumors of neural crest origin. J Neuropathol Exp Neurol. 1976; 35:393-403.

  14. Mullins JD.  A pigmented differentiating neuroblastoma: a light and ultrastructural study. Cancer. 1980 46:522-8.

  15. Lack EE, Kim H, Reed K. Pigmented ("black") extraadrenal paraganglioma. Am J Surg Pathol. 1998 22:265-9.

  16. Ng TH, Wong AY, Boadle R, Compton JS. Pigmented central neurocytoma: case report and literature review. Am J Surg Pathol. 1999; 23:1136-40.

  17. Dolman CL. Melanotic medulloblastoma. A case report with immunohistochemical and ultrastructural examination. Acta Neuropathol (Berl). 1988 76:528-31.