| A 13 month-old Girl with a
Mass in Temporal Bone. February, 2004, Case 402-2. Home Page |
Jian T. Yang, M.D. Ph.D.1, Kalliopi Petropoulou, M.D.2, Kar-Ming Fung, M.D., Ph.D.1 Last update: April 1, 2004.
1 Department of Pathology and 2 Department of Radiology, University of Oklahoma Health Science Center, Oklahoma City, Oklahoma
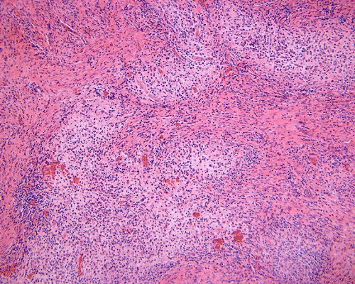
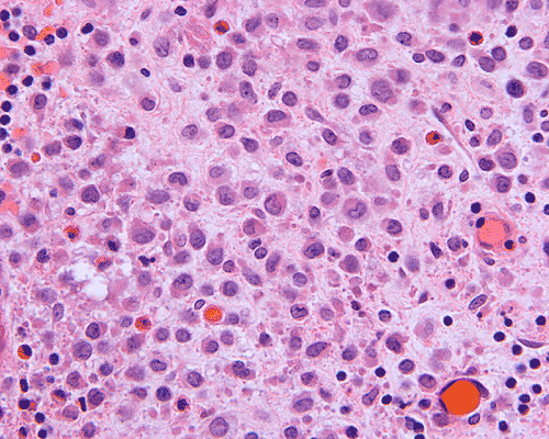
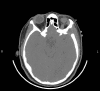
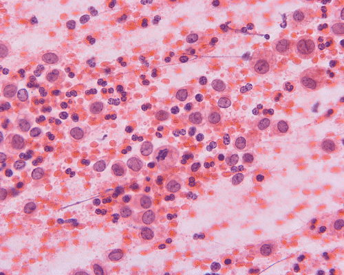
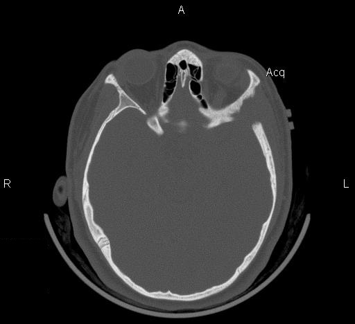
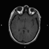
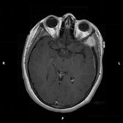
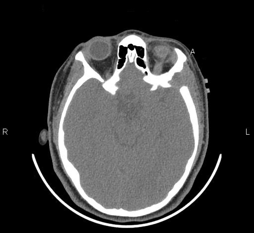
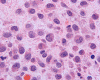
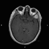
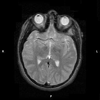
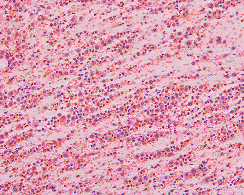
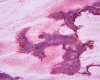
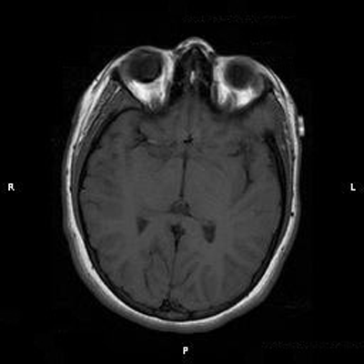
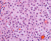
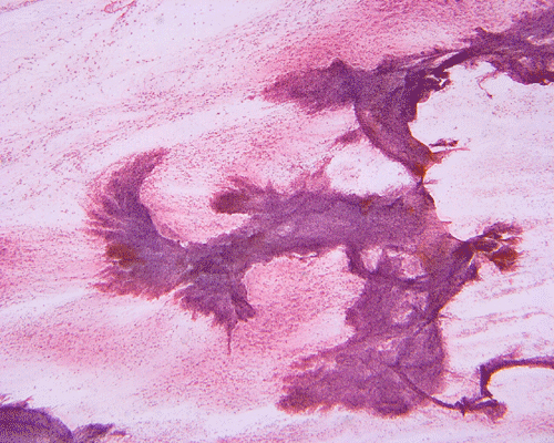
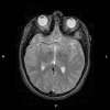
Clinical information: The patient was a 13 year-old girl who presented with worsening headache and some difficulties with memory, concentration and attention. MRI studies disclosed a 2.1 x 1.9 x 1.8 cm enhancing mass in the left temporal bone and sphenoid wing. The mass extended intracranially and abuts the left temporal bone accompanied by dural enhancement at that location. There is also extension through the bone into the submuscular temporal region. The following photos are taken from representative regions of the lesion. Panel 1 and 2 are CT scans at soft tissue and bone density respectively. Panel 3 and 4 are T1 weighed images without and with contrast respectively. Pandl 5 is proton density image. Panel A to D are cytologic (squash) prepartion for intra-operative consultation. Panel E and F are frozen sections for intraoperative consultation. Panel G to L are paraffin embedded sections.
![]() |
![]() |
![]() |
![]() |
![]() |
|
| 1. | 2. | 3. | 4. | 5. |
![]() |
![]() |
![]() |
![]() |
![]() |
|
|
A. Squash |
B. Squash |
C. Squash |
D. Squash |
E. Frozen |
|
![]() |
![]() |
![]() |
![]() |
![]() |
|
|
F. Frozen |
G. | H. | I. | J. | |
![]() |
![]() |
||||
|
K. S100 |
L. CD1a |
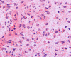
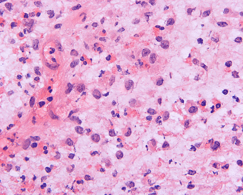
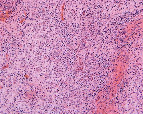
Pathology of the case:
|
DIAGNOSIS: Langerhans' cell histiocytosis. |
Discussion: General Information Pathology Differential diagnosis
General Information
Langerhans’ cell histiocytosis (histiocytosis X) is a neoplastic, clonal proliferative disorder 1 of activated Langerhan’ cells 2 which is an antigen presenting cells. The term Langerhans’ cell histiocytosis encompasses three formerly known localized and systemic proliferative disorder of Langerhan’s cells, namely eosinophilic granuloma, Lettere-Siwe disease, and Hand-Schüller-Christian disease. It is a disease of children and young adults with 80% of them diagnosed before the age of 30 and 50% of them diagnosed before the age of 10.
It can affect only one organ or one system (single-system) disease or multiple systems (multiple-system disease). The majority of them are solitary lesion involving only one site and they are best known as solitary eosinophilic granuloma. The solitary lesions tend to be found in older children and adults. Disseminated forms are seen in infants and young children. The overall mortality rate is about 10%. Patients with single-system disease are more responsive than those with multiple-system disease.
The skin and bone are the most commonly affected organs but practically no organs are spared. The craniofacial bones and trunk bones are most commonly affected. The cranial base involvement may extend into the brain and involve the hypothalamus. The classic clinical triad of bony defects with exophthalmos and diabetes insipidus can be seen. The humerus and femur are less commonly involved. Small bones of the hands and feet are rarely affected. Radiologically, they occur as sharply demarcated, “punched out” osteolytic, usually intramedullary and rarely intracortical lesions. A thin sclerotic rim can be seen in some cases. Periosteal bone formation is usually not present. The lesion is usually small and about 1-2 cm in greatest dimension. Larger lesions may erode through the cortical bone and involve the adjacent non-osseous tissue as illustrated in this case.
Morphologic features are often sufficient to make an accurate diagnosis. Typical lesions are composed of medium sized to large Langerhans’ cells mixed with non-neopalstic inflammatory cells. The amount of eosinophils can vary from none 3 or scant to substantial. The Langerhans’ cells have only slight degree of atypia. Many of the nuclei have a characteristic deep groove parallel to the long axis, the so-called “coffee bean” nuclei. The amount of cytoplasm is usually moderate. Histiocytes (macrophages) are usually present and can be multinucleated. When histiocytes are present in large amount, they may make the diagnosis difficult. Similar to their non-neoplastic counterparts, tumor cells in Langerhans’ cell histiocytosis are positive for CD1a and S100 by immunohistochemistry. Histiocytes, on the other hands, are negative for S100 and CD1a 4, 5, 6 CD68 is helpful but not entirely specific in separating histiocytes from tumor cells in Langerhans’ cell histiocytosis. The proliferating fraction of can be recognized by immunohistochemistry for Ki67 (MIB-1) 6.
Birbeck granule is the characteristic finding under electron microscope. They are 34 nm wide rod-shaped pentalaminar tubular structures with characteristic periodicity, a zipper-shaped central core, and a dilated end bulb. The summation of these features lead to a “tennis racket” shaped structure at the ultrastructural level. Interestingly, Birbeck granules are not real granules but cytoplasmic invaginations of the cell surface membrane that are not associated with other organelles or the nuclear envelope 7.
Differential diagnosis
The differential diagnoses include neoplastic process with substantial inflammatory cell component such as Hodgkin’s disease and non-neoplastic inflammatory processes such as osteomyelitis.
The inflammatory cell background in Hodgkin’s lymphoma is the source of confusion. Hodgkin’s lymphoma is most commonly seen in middle aged adults and most commonly presented with lymphadenopathy. Reed-Sternberg cells and lacunar cells are typical for Hodgkin’s disease. Langerhans’ cell histiocytosis usually does not attain the degree of pleomorphism of Reed-Sternberg cells. Langerhans’ cells histiocytosis can also be confused with some non-Hodgkin’s lymphomas. Immunohistochemistry is also helpful.
The craniofacial region is not a common site for osteomyelitis. The presence of necrotic bone, acute inflammatory cells with neutrophils are more characteristic for osteomyelitis. Immunohistochemistry for S100 and CD1a would also help.
Granulomatous inflammations such as tuberculosis can mimic Langerhans’ cell histiocytosis.. Radiographically, Langerhans’ cell histiocytosis almost never show contiguous involvement of adjacent vertebrae or collapsed intervertebral disk as in tuberculosis. Processes with poorly defined granulomas are most likely to be confused with Langerhans’ cell histiocytosis. Identification of the microorganism associated with the granulomatous inflammation is always helpful but not always possible. The presence of caseous necrosis surrounded by palisading histiocytes is also consistent with granulomatous inflammation.
Click here to see a similar case
Reference:
Willman CL, Busque L, Griffith BB, Favara BE, McClain KL, Duncan MH, Gilliland DG. Langerhans'-cell histiocytosis (histiocytosis X)--a clonal proliferative disease. N Engl J Med. 1994; 331:154-60.
Emile JF, Fraitag S, Leborgne M, de Prost Y, Brousse N. Langerhans' cell histiocytosis cells are activated Langerhans' cells. J Pathol. 1994; 174:71-6.
Papasozomenos SC. Hypothalamic Langerhans cell histiocytosis with no eosinophils. Clin Neuropathol. 1999; 18:260-4.
Emile JF, Wechsler J, Brousse N, Boulland ML, Cologon R, Fraitag S, Voisin MC, Gaulard P, Boumsell L, Zafrani ES. Langerhans' cell histiocytosis. Definitive diagnosis with the use of monoclonal antibody O10 on routinely paraffin-embedded samples. Am J Surg Pathol. 1995; 19:636-41.
Mierau GW, Favara BE. S-100 protein immunohistochemistry and electron microscopy in the diagnosis of Langerhans cell proliferative disorders: a comparative assessment. Ultrastruct Pathol. 1986; 10: 303-9.
Hashimoto K. Lanthanum staining of Langerhans' cell. Communication of Langerhans' cell granules with extracellular space. Arch Dermatol. 1970;102: 280-90.
Hage C, Willman CL, Favara BE, Isaacson PG. Langerhans' cell histiocytosis (histiocytosis X): immunophenotype and growth fraction. Hum Pathol. 1993; 24: 840-5.