A Large Cerebellar Mass.
March, 2004, Case 403-2. Home Page

Shibo Li, M.D., Ph.D. 1, Kar-Ming Fung, M.D., Ph.D.2 First posted on  May 1, 2004.

1 Department of Pediatrics and 2 Department of Pathology, University of Oklahoma Health Sciences Center, Oklahoma City, Oklahoma

Kwok Ling Kam, M.B., B.S., FRCPA 1, Kar-Ming Fung, M.D., Ph.D.2 Last updated on  on  May 25, 2020.

1 Department of Pathology, Feinberg School of Medicine, Northwestern University, Chicago, Illinois

2 Department of Pathology, University of Oklahoma Health Sciences Center, Oklahoma City, Oklahoma

Clinical information: Click thumbnails to see pictures.

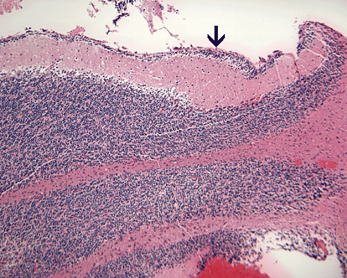
The patient was admitted to our hospital because of a large cerebellar mass that was diagnosed in an outside institution. A surgery was performed. The followings are the representative photos of this mass.

A.
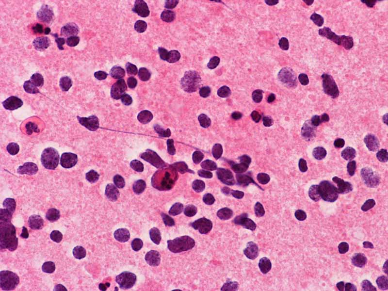
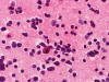
Squash
B.
Frozen
C. D. E. F.
G. H. I.
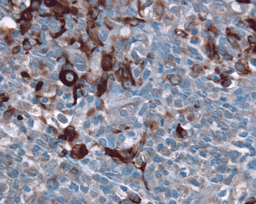
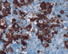
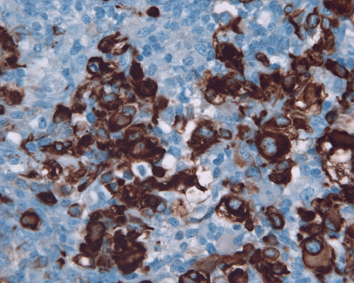
Vimentin
J.
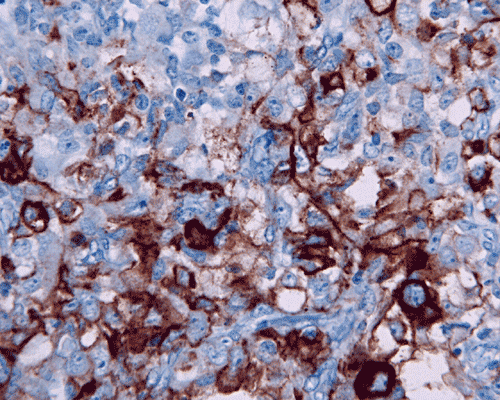
EMA
K.
GFAP
L.
Cytokeratin
       
M.
S100
N.
22q deletion FISH
       

Pathology of the case:

Age of the patient:

Intraoperative consultation:

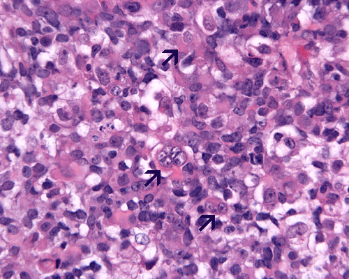
Permenant sections, immunohistochemistry:

Cytogenetics:

Comment:

DIAGNOSIS: Atypical teratoid rhabdoid tumor (AT/RT), WHO grade IV/IV.

Discussion: General    Pathology    Molecular pathology    AT/RT and other rhabdoid tumor    Differential diagnosis

General Information    

    Atypical teratoid/rhabdoid tumor (AT/RT) is a malignant primary childhood brain tumor, WHO grade IV as per the 2016 WHO classification of brain tumors. Malignant rhabdoid tumor was first used in 1981 by Haas et al. to describe a highly aggressive childhood renal tumor with cytologic features suggestive of rhabdomyosarcoma [Haas JE et al., 1981]. Bonnin JM et al. described the association of rhabdoid tumors arising in the brain and kidney in children in 1984. According to Weeks et al., about 13% of children with renal rhabdoid tumors developed brain tumors [Weeks DA et al., 1989]. The first rhabdoid tumor of the central nervous system was described by Biggs et al., in 1987. In common to other malignant rhabdoid tumors arising in children and adults, they contain rhabdoid cells as its salient histologic feature.

AT/RT often contains non-rhabdoid components with medulloblastoma-like components and sometime malignant and neoplastic epithelial and mesenchymal components. Rorke et al. published the first comprehensive series of 32 cases on rhabdoid tumors of the central nervous system and also used the term atypical teratoid/rhabdoid tumor (AT/RT) to describe these tumors [Rorke LB et al., 1996] as an attempt to emphasize the diverted histopathologic features in these tumors. Deletion and mutation of the SMARCB1 gene (synonyms: INI1, SMARCB1, hSNF5) in chromosome 22q11.2, and very rarely SMARCA4 which codes the BRG1 protein, are the molecular defining features of AT/RTs [Biegel et al., 2002]. A cell line has been established [Yachnis AT et al., 1998].

    AT/RT is an uncommon tumor comprising about 2% or less of all childhood brain tumors and is less frequently seen than medulloblastoma. There is a slight male predominance and most of the tumors occur under the age of two and only rare examples has been reported in adults [Luttenbach J et al., 2001]. Similar to other malignant tumors of the central nervous system, they rarely metastasize outside the central nervous system [Guller E et al., 2001]. The posterior fossa and the cerebellar pontine angle are the most common place of occurrence with a combined incidence of 49% (38% in cerebellum, 11% in cerebellar pontine angle). AT/RT has a distinct tendency to invade into the surrounding tissue in the cerebellar pontine angle. The cerebrum harbors the other 28% of tumors and other uncommon sites including pineal, brainstem, suprasellar, and spinal cord are primary locations of the rest of the tumor (13%) [Rorke LB et al., 1996]. Disseminated tumor is seen in about one third of the cases at presentation. The prognosis is poor [Rorke LB et al., 1996; Burger PC et al., 1998; Bambakidis NC et al., 2002], with a 3-year survival of 22% from the Germany HIT trial center [Biggs et al., 1987]. High dose chemotherapy and radiation can potentially prolong the survival [Meyers SP et al., 2006; Lafay-Cousin L et al., 2012; Geyere JR et al., 2005; Chi et al., 2009]. Rare prolonged survivals have been reported [Hirth A et al., 2003; von Hoff K et al., 2011]. Molecular subgroups of AT/RTs have also been identified using global and transcriptional analysis and the data may help to stratify patients into different risk groups [Torchia J et al., 2006]. MRI findings include variably contrast enhancement, with hyperintensity on FLAIR images and diffusion restriction, the latter is indicative that the tumor is highly cellular [Howlett DC et al., 1987; Meyers SP et al., 2006].

Pathology    

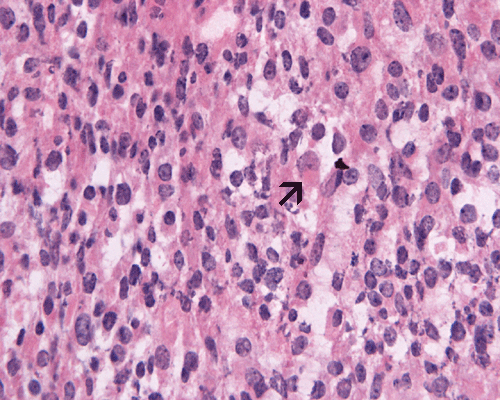
     Rhabdoid cells are medium sized to large, oval to round cells. In the most classic example, the rhabdoid cell contains an eosinophilic, hyaline-like cytoplasmic globule resembling an inclusion body and occupies a large portion of the cytoplasm. This hyaline globule displays the nucleus to an eccentric location. The less classic examples contain a substantial amount of eosinophilic, often hyaline-like cytoplasm and eccentrically located nuclei. Although the morphologic features are suggestive of a rhabdomyosarcoma, cytoplasmic striations typical for rhabdomyoblastic differentiation should not be present. Marked pleomorphism is seen in most cases and nucleoli are usually prominent. Multinucleated giant cells are common. Mitotic figures and atypical mitosis are common. The degree of necrosis is variable but may not be extensive.

    Only about 13% of AT/RTs are composed exclusively of rhabdoid cells. Non-rhabdoid components are seen in the rest. About two third to three quarter of AT/RTs are associated with medulloblastoma or primitive neuroectodermal tumor (PNET) like components. Neoplastic epithelial components may occur as adenocarcinoma-like components, squamous cell with keratinization, or just simply epithelial cells arranged in nests. Neoplastic mesenchymal components can also be seen. The amount of rhabdoid cells can vary greatly from uncommon to substantial. AT/RT with substantial medulloblastoma/PNET like component may be mistaken as medulloblastoma or PNET [Burger PC et al., 1996]. Under the electron microscopy, rhabdoid cells contain bundles of tightly packed intermediate filaments arranged in whorls.

    Immunohistochemistry, the defining diagnostic staining is loss of INI1 nuclear immunoreactivity in the tumor cells. The classic rhabdoid cells are also strongly and uniformly positive for vimentin. In fact, immunohistochemistry for vimentin is helpful in identifying rhabdoid cells. Other than vimentin, a long list of antigens is variably detected in rhabdoid tumors reflecting the polyphenotypic nature of these tumors. Epithelial membrane antigen (EMA) is detected in the rhabdoid cells and epithelial components. About half of the cases are positive for smooth muscle actin. Expression of these two antigens are rather unusual for other tumors of the central nervous system. S-100 protein is variably detectable among different cases. Intermediate filaments including neurofilament, glial fibrillary filaments, and cytokeratin are detectable in many cases. Synaptophysin is detectable particularly when a medulloblastoma-like component is present. Placental alkaline phosphatase (PLAP) and beta-human chorionic gonadotrophin (hCG) are not detectable but alpha fetal protein (αFP) can be demonstrated in some cases [Rorke LB et al., 1996; Burger PC et al., 1996].

Molecular pathology:

    Biallelic inactivation of the SMARCB1 gene (INI1/hSNF5) located in chromosome 22q11.2, either by homozygous deletion or having one mutant allele and the other allele with deletion or mitotic recombination, accounts for majority of molecular alterations seen in AT/RT [Rorke LB et al., 1996; Biegel JA et al., 1992, Rorke LB et al., 1995; Biegel JA et al., 1999; Biegel et al., 2002; Taylor MD et al., 2000]. Such deletion is also detected in other malignant tumors such as epithelioid sarcoma and renal medullary carcinoma. Detection of 22q11.2 deletion by interphase fluorescence in situ hybridization (FISH) would be a helpful aid to establish a diagnosis [Bruch LA et al., 2000]. Very rarely, mutation or inactivation of the SMARCA (BRG1) gene which also belongs to the SWI/SNF pathway can be seen in AT/RT. Molecular confirmation can be done using sequencing (such as next generation sequencing), FISH and chromosomal microarray analysis.

     SMARCB1 (INI1/hSNF5) is a member of the SWI/SNF chromatin-remodeling complex that functions in a reversible manner to remodel nucleosomes (i.e. chromatin remodeling) forming a closed and native state to an open and active state [Biegel JA et al., 2002; Schnitzler et al., 1998]. SMARCB1 (INI1/hSNF5) probably functions as a tumor suppressor gene but its molecular pathway and functions within the SWI/SNF  complex have not been fully revealed. Germ line mutations of the SMARCB1 (INI1/hSNF5) and SMARCA4 genes have been reported to greater than 1/3 of the cases [Hasselblatt M et al., 2014; Biegel JA et al. 1999; Taylor MD et al., 2000; Sevenet N et al., 1999], and are seen in rhabdoid tumor predisposition syndromes 1 and 2, molecular genetic studies should be done in all new cases. Malignant rhabdoid tumors arising in more than one anatomic site are common in patients with germline mutations. Genetic aberrations of INI1/hSNF5 have also been currently described in choroids plexus carcinoma [Sevenet N et al., 1999; Wyatt-Ashmead J et al., 2001].

     Recently, meta-analysis shows 3 distinct molecular subgroups of AT/RT, including ATRT-TYR, ATRT-SHH and ATRT-MYC [Ho B et al., 2020] using data based on gene expression array profiling and methylation profiling [Johann PD et al., 2016; Capper D et al., 2018; Schwalbe EC et al., 2017]. Each of these subgroups have their clinical and molecular characteristics, including age of onset, tumor location, SMARCB1 alterations and oncogenic pathways.

AT/RT and other rhabdoid tumors:

    Tumors with malignant rhabdoid phenotype, irrespective of their location and organ being involved and the age of the patients, behave in a highly aggressive manner and carry a grave prognosis. Malignant rhabdoid tumors are most frequently seen in infants and children and are predominantly restricted to the kidney, the central nervous system (AT/RT) and soft tissue. In adults, malignant rhabdoid differentiation has been described in many different organs and often occurs as a component arising in a pre-existing neoplasm including carcinomas [Chetty R, 2000; Kuroda N et al., 2000; Parham DM et al., 1994], sarcomas [Parham DM et al., 1994; Oshiro Y et al., 2000; Morgan MB et al., 2000], melanocytic tumors [Borek BT et al.,1998; Chang ES et al. 1994], or other neoplasms.

    In contrast, pediatric malignant rhabdoid tumors are often associated with deletion or mutation of INI1/hSNF5 gene. Pediatric malignant rhabdoid tumors arise mainly in the kidney. The more common extrarenal sites are the soft tissue and central nervous system (i.e., AT/RT). Pediatric rhabdoid tumors arising in the kidney and soft tissue are often of pure rhabdoid phenotype and are distinct from composite type arising in adults. AT/RTs share the feature of adult malignant rhabdoid tumors in having non-rhabdoid component but also feature of pediatric malignant rhabdoid tumor in the high frequency of deletion or mutation of INI1/hSNF5 gene.

Differential diagnosis

    Although rhabdoid phenotype has been described in tumors of including meningioma [Perry A et al., 1998] and glioblastoma [Lath R et al., 2003], the rhabdoid phenotype is not a frequently encountered histologic pattern in primary tumors of the central nervous system other than AT/RT. These reported cases occurre in adults. Classic features of the “mother tumor” are usually found after careful search. The age of the patient is of great importance as only very few AT/RTs occur in adults. Before a diagnosis of AT/RT is made, the absence of a renal or extrarenal-extraneural rhabdoid tumor must be confirmed. The occurrence of two rhabdoid tumor can represent multifocal tumor or metastasis. As discussed earlier, patient with more than one malignant rhabdoid tumor in different locations may have germ line mutations.

    AT/RT with substantial proportion of embryonal tumor component can easily be misdiagnosed [Burger PC et al., 1998]. Rhabdoid cells can usually be found after careful search. One of the key features is the presence of at least distinct if not prominent nucleoli. The rhabdoid change may not be as impressive or dramatic as it appears on text books. A high index of suspicion, immunohistochemical staining with INI1, as well as molecular and cytogenetic studies should be done in suspicious cases, and should be done in all embryonal-looking brain tumors in patients younger than 2 years old.  AT/RT merits separation from medulloblastoma and PNETs for its grave prognosis

    AT/RT with significant epithelial component can be mistaken as metastatic carcinoma. Again, age and clinical history is very helpful as metastatic carcinoma is extremely rare in infants. The pathologic features are also different.

    AT/RT may show resemblance of choroid plexus carcinoma. Both of these tumors occur in young infants and with cerebellar pontine angle a common site. To make this issue more complicated, deletion of chromosome 22q11.2 has also been described in some malignant childhood tumors that are reported as choroids plexus carcinoma [Sevenet N et al., 1999; Wyatt-Ashmead J et al., 2001]; however, some authors believe that they may represent intraventricular AT/RT instead. On the other hand, about 40% of choroid plexus carcinoma shows germline TP53 mutation [Tabori U et al., 2010], and may be the first manifestation in patients with Li-Fraumeni Syndrome.  

    Germinoma and other germ cell tumors can be easily distinguished from AT/RT. Although germinoma has large cells with large nuclei and prominent nucleoli, it also contains significant amount of lymphocytes sprinkling around blood vessels which is not usually seen in AT/RT. Immunohistochemistry by INI1 should solve the puzzle. Besides, germ cell tumors occur predominantly along the midline in the pineal or sellar/suprasellar regions which are uncommon sites for AT/RT.

Related cases: