A 54 year-old Woman with Headache and Vomiting.
May, 2004, Case 405-1. Home Page

Zhongxin Yu, M.D., M.S.1, Kalliopi Petropoulou, M.D.2, Kar-Ming Fung, M.D., Ph.D.1 Last update on April 28, 2004.

1 Department of Pathology, 2 Department of Radiology, University of Oklahoma Health Sciences Center, Oklahoma City, Oklahoma

Clinical information The patient was a 54 year-old woman with a history of diabetes. She developed vomiting and frontal headache for two days. As per the descriptions of her family members, she had a few episodes of starring into the left and was unresponsive. The patient described that she could remember all these episodes clearly. On physical examination, the patient was well oriented and alert. There was no weakness in the extremities, ophthalmoplegia, diplopia, reduced visual acuity or facial weakness. An MRI and a CT scan were performed and yielded the following representative images. A surgery was performed. Representative photographs of the specimen are illustrated below.

Com405-1-Imag-1.gif (48010 bytes) Com405-1-Imag-2.gif (49140 bytes) Com405-1-Imag-3.gif (37591 bytes) Com405-1-Imag-4.gif (44330 bytes) Com405-1-Imag-6.gif (109828 bytes)  
A. B. C. D. E.  
Com405-1-1.gif (149555 bytes) Com405-1-2.gif (131817 bytes) Com405-1-3.gif (118853 bytes) Com405-1-4.gif (156701 bytes) Com405-1-5.gif (151984 bytes) Com405-1-6.gif (194609 bytes)
F.
Squash
G.
Squash
H.
Squash
I.
Frozen
J.
Frozen
K.
Com405-1-7.gif (156505 bytes) Com405-1-8.gif (136234 bytes)      
L. M. Scanned slide      

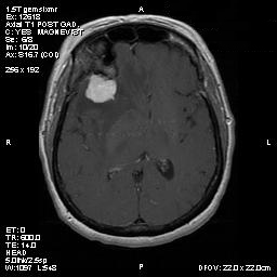
Radiology of the case:

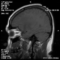
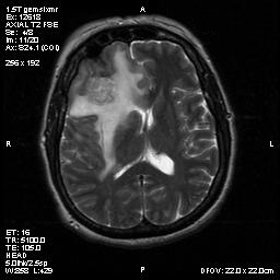
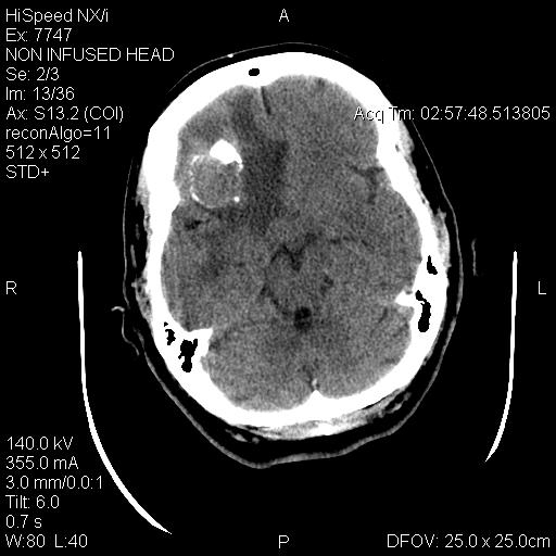
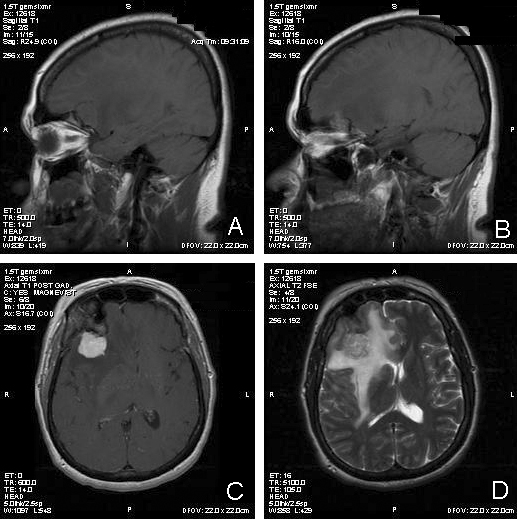
    T1-weighed MR images demonstrate an extraaxial, dural based mass involving the right supraorbital region  (Panel A and B). The mass shows homogeneous enhancement  (Panel C). CT scan demonstrates as well as rim calcification (Panel E). On T2-weighed imagers, significant vasogenic edema is demonstrated despite the small size of the lesion and the extraaxial location (Panel D).

Pathology of the case:

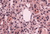
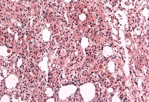
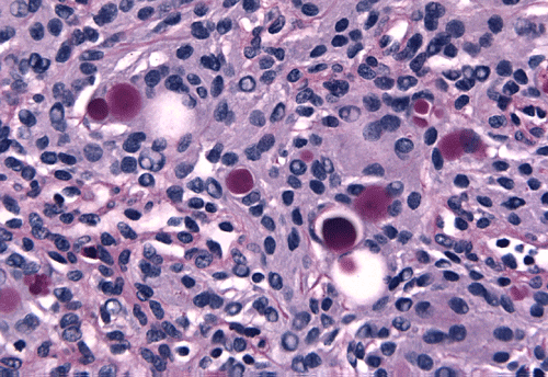
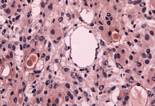
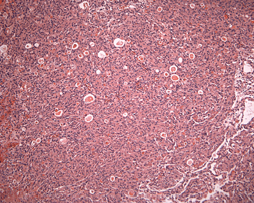
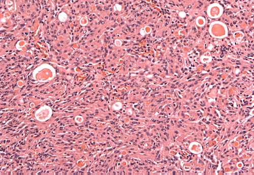
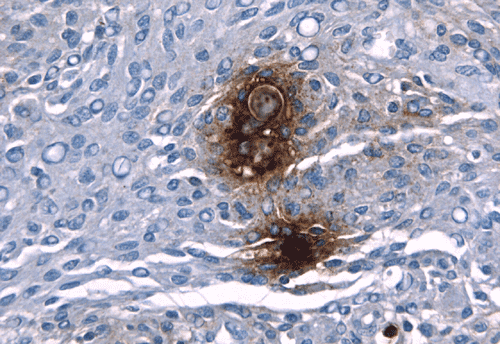
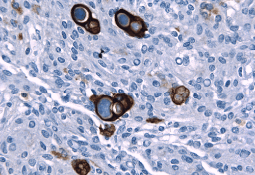
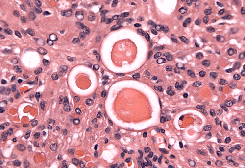
    On cytologic preparation, there are irregular clusters of cells and in between these clusters are many single cells (Panel F). The background is clean and if free of mitosis. On high-magnification, some of these cells are arranged in small concentric whorls (ß in Panel G). Pseudonuclear inclusion can be seen in some nuclei (ß in Panel G). The cytoplasm of these cells seems to be triangular, pointy, well defined and finely granular. Quite some clusters of cells with gigantic "bubbles " several times the size of the nucleus containing eosinophilic cores with a halo are present (Panel H). On frozen section, the tumor cells arrange in solid sheets with many microcysts in between. Many of the smaller microcysts contain a eosinophilic, amorphous core that correspond to the giant "bubbles" on the cytologic preparation (Panel I). On high-magnification, the cells have epithelioid appearance with pseudonuclear inclusion in many nuclei (Panel J). These features are highly suggestive of a secretary meningioma. The main differential diagnosis in this case is metastatic adenocarcinoma. Although the gigantic "bubbles" suggest mucin secretory adenocarcinoma, the cytoplasmic vacuoles rare approach the size of several times that of the nuclei as illustrated in this case. Besides, necrosis is often present in metastatic adenocarcinoma.  [Click here to see a mucin producing adenocarcinoma in cytologic preparation] [Click here to compare the cytologic preparation of a metastatic renal cell carcinoma] The large amount of edema on MRI also raises the suspicion of metastatic adenocarcinoma. It should be noted that secretory meningiomas are typically associated with a disproportionally extensive edema.

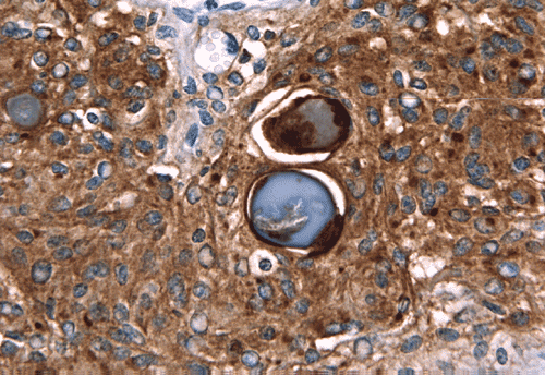
    Histologic findings on  formalin fixed, paraffin sections of the specimen are very similar to that of the frozen sections (Panel K and L). The pseudonuclear inclusions are much better visualized in the paraffin section (Panel M). The core material in the microcysts is strongly PAS positive (Panel N). The tumor cells are focally positive for cytokeratin AE1/AE3 (Panel O) and positive for epithelial membrane antigen (EMA) (Panel P). Also unique to secretory meningioma is focally positive for carcinomembryonic antigen (CEA) (Panel Q).

DIAGNOSIS: Secretory meningioma (WHO grade I/IV)

Discussion: General Information    About secretory meningioma    Pathology    Differential diagnosis

General Information 

    Meningiomas are common CNS tumors and represent about 15-26 % of all primary intra-cranial tumors. Most of them occur in the middle aged and elderly patient with the peak incidence in between 45-55 years of age. Meningiomas are quite uncommon in children and almost unknown in infants. There is a clear female predilection. About 8% of them occur as multiple meningiomas. The World Health Organization (WHO) recognize three histologic grade from benign to malignancy, namely grade I (meningioma), grade II (atypical meningioma), and grade III (anaplastic meningioma) within the four tier WHO system. About 95% of meningiomas are grade I and have a low risk of recurrence and aggressive growth; 4.7-7.2% are grade II with greater risk of recurrence and/or aggressive growth; 1.0-2.8 % are grade III with the most aggressive behavior.   Meningiomas are seen in about half of the patients with neurofibromatosis 2 (NF2) but are not associated with neurofibromatosis 1 (NF1). Histologically, meningiomas displayed the richest diversification in histologic pattern among all primary neuroepithelial tumors. There are nine histologic subtype of WHO grade I namely the  meningothelial, fibrous (fibroblastic), transitional (mixed), psammomatous, angiomatous, microcystic, secretory, lymphoplasmocyte-rich, and metaplastic type. When increase histologic features such as brain invasion, increased mitotic activity, loss of architectural pattern, presence of small cell component, and necrosis are present, these pattern can also be classified as WHO grade II or WHO grade III tumor. Some specific pattern are associated with poor prognosis. This include chordoid and clear cell meningioma which are of WHO grade II. Papillary and rhabodid meningioma are of WHO grade III. [Please see case another case for further discussion of meningioma]

About secretory meningioma

    Secretory meningioma is a relative rare histologic variant of meningioma and characterized by a unique focal epithelial differentiation of meningothelial cells resulting in the production of intracellular eosinophilic hyaline inclusions 1, 2, 3, named pseudopsammoma bodies.  In contrast to the genuine, laminated psammoma bodies, pseudopsammoma bodies do not become calcified nor contain reticulin or collagen fibers. Ultrastructurally, they are composed of filamentous and granular material located predominantly in intracellular lamina lined by microvilli3.

    Cushing and Eisenhardt first described these hyaline inclusions in 1938 4.  In 1986, Alguacil-Garcia et al. first defined the term secretory meningioma 1.  In 1997, Probst-Cousin S, et al. presented a 31–cases report which depicted a more comprehensive clinicopathologic picture about this tumor 2. Secretory meningiomas represent 3% of meningiomas in their study. While the female-to-male ratio of usual meningiomas is 3:2, there was striking female predominance among their secretory meningioma cases, which was almost 9:1. The patients’ age ranged from 30 to 83 years, with a mean age of 59.2 years. Most of the tumors were located at the sphenoid ridge and on the frontal convexity. No recurrences were observed in their study, which is in agreement with others in that secretory meningiomas have low risk of recurrence and less aggressive behaviors 3.  Probst-Cousin S et al also observed that secretory meningiomas were more often accompanied by a massive peritumoral edema than other meningiomas of a similar location or size, which is also in agreement with others 5. This feature is well illustrated in this case. Although the amount of edema can be alarming, secretory meningioma has similar biological behavior typical of other grade I meningiomas.

Pathology

    Macroscopically, secretory meningiomas share common features with other meningiomas. It  often occurs as globular discrete mass with a dural base attachment ("dural based tumor"). Color and consistency depend on the components of the tumor: As the vascularity increase, the tumor tends to change from tan to red; as fibroblast and calcification increase, it is become tough, may be gritty. Microscopically, the hallmark is the presence of focal epithelioid proliferation, in the form of intracellular eosinophilic PAS-positive diastase resistance secretory material. These bodies are know as pseudopsammoma bodies as illustrated in this case. These pseudopsammoma have a clear halo about their eosinophilic noncalcified core 7. Similar to other meningiomas, tumor cells in meningothelial arrangement are usually present and cellular whorls are also seen. Pseudonuclear inclusion (intranuclear cytoplasmic invainations) are often found in the nuclei. [Click here to see a meningothelial meningioma]

    Immunohistochemically, the intracellular pseudopsammoma bodies and surrounding cells are reactive to epithelial membrane antigen (EMA), cytokeratin (CK7), and carbohydrate antigen 19-9, in decreasing frequency. The reactivity to CK20 is negative 2, 6  Also unique to secretory meningioma is the expression of carcinoembryonic antigen (CEA) that is often present around the pseudopsammoma bodies. Probst-Cousin et al., demonstrated a mean MIB-1 labeling index  of 3.8%. Ultrastructurally, the pseudopsammoma bodies consist of spaces lined by microvilli and filled with contents that are variably amorphous, particulate, lamellar, or vesicular.

Differential diagnosis

    The differential diagnoses for secretory meningioma include microcystic meningioma, clear cell meningioma, chordoid meningioma, and metastatic adenocarcinoma. Microcystic meningioma is a meningioma with areas of multiple pale to optically clear microcysts that may contain PAS-positive, diastase resistant substance. Clear cell meningioma is a meningioma with area (s) consisting of polygonal cells with an optically clear, glycogen-rich cytoplasm. Chordoid meningioma  is a meningioma with clusters and cords of polygonal cells in a mucoid matrix (“chordoid” architecture). All these three subtypes of meningiomas resemble secretory meningioma in that they all have an appearance of intra or extracellular vacuoles and/or mucoid substances, However, secretory meningioma has the characteristic intracellular eosinophilic PAS-positive diastase resistant pseudopsammoma bodies and the immunoreactivity for cytokeratin and CEA, which usually allow separation of this type of meningioma from other three types without difficulty.

    Because of its epithelioid  morphology, secretory meningioma sometimes needs to be differentiated from metastatic adenocarcinoma. The pseudopsammoma bodies can simulate intracytoplasmic mucin production. However, it is quite uncommon for intracytoplasmic mucin or signet ring cells to attain the size of the pseupsammoma bodies. Similar to other meningiomas, characteristic meningothelial morphology and cellular whorls are often present. A thorough search is very important. Metastatic carcinoma from different origins may express markers that are not generally expressed by meningiomas. For example, thyroid transcription factor-1 (TTF-1) is often expressed in adenocarcinoma of lung origin and CD10 is often expressed in metastatic renal cell carcinomas. Although meningiomas express cytokeratin, it is also uncommon for them to have diffuse, so-called "corner to corner" expression as in metastatic carcinoma. Necrosis and marked cellular atypia are also not features of meningioma of WHO grade I histology. They are, however, common in metastatic carcinomas.

Reference: 

  1. Alguacil-Garcia A, Pettigrew NM, Sima AA. Secretory meningioma. A distinct subtype of meningioma. Am J Surg Pathol. 1986 10: 102-11.
  2. Probst-Cousin S, Villagran-Lillo R, Lahl R, Bergmann M, Schmid KW, Gullotta F. Secretory meningioma: clinical, histologic, and immunohistochemical findings in 31 cases.  Cancer 1997 79 :2003-15.
  3. Nishio S, Morioka T, Suzuki S, Hirano K, Fukui M. Secretory meningioma: clinicopathologic features of eight cases. J Clin Neurosci. 2001 8): 335-9.
  4. Cushing H, and Eisenhardt L. Meningiomas: Their classification, regional behavior, life history, and surgical end results. Springfield, Charles C Thomas, 1938.
  5. Buhl R, Hugo HH, Mehdorn HM.. Brain oedema in secretory meningiomas. J Clin Neurosci. 2001 Suppl 1:19-21.
  6. Assi A, Declich P, Iacobellis M, Cozzi L, Tonnarelli G. Secretory meningioma, a rare meningioma subtype with characteristic glandular differentiation: a histological and immunohistochemical study of 9 cases. Adv Clin Path. 1999 3:47-53.
  7. Burger P, Scheithauer B, Vogel F. Surgical pathology of the nervous system and its coverings. 4th edition. Churchill Livingstone, 2002.