A 64 year-old Man with a Intradural Extramedullary Spinal Mass.
July, 2004, Case 407-1. Home Page

Lorne Holland, M.D. 1, Arie Perry, M.D. 2 Last update: July 30, 2004.

1 Department of Pathology, University of Oklahoma Health Sciences Center, Oklahoma City, Oklahoma, and 2 Department of Pathology, Washington University, St. Louis, Missouri

Clinical information: The patient was a 64-yo man with an intradural extramedullary spinal mass at T12.  There was no apparent involvement of cord parenchyma and the patient had no significant family history or other known tumors.

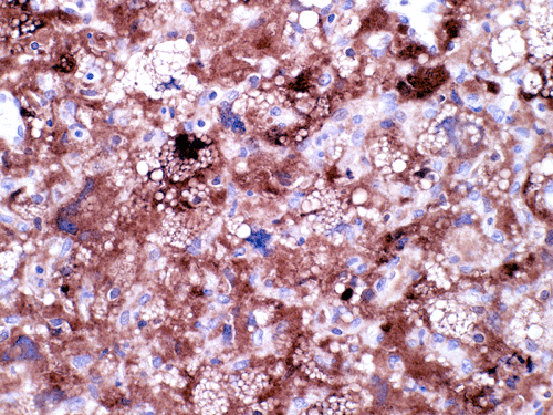
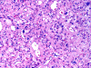
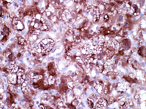
Com407-1-1.gif (176560 bytes) Com407-1-1-2.gif (165731 bytes) Com407-1-1-4-inhibin3.gif (178176 bytes) Com407-1-1-5-S100.gif (183535 bytes) Com407-1-3-NSE.gif (188500 bytes) Com407-1-1-3-EMA.gif (158604 bytes)
A. B. C.
Inhibin
D.
S100
E.
NSE
F.
EMA

Pathology of the case:

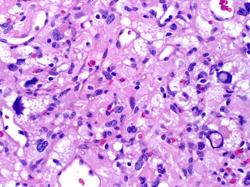
    The mass consists of a mixture of spindle cells and clear cells. There is a rich vascular network (Panel A) with sinsusoidal dilatation but no anastomosis of the vascular channels. The endothelial cells appear lean and not protruding into the vascular channel. The clear cells appear to have foamy cytoplasm (̃ in Panel B). The nuclei are hyperchromatic and may appear slighly grooved or lobuated. On immunohistochemistry, the foamy cells are strongly reactive for inhibin (Panel C). These cells are also reactive for S100 protein (Panel D)  and neural specific enolase (Panel E) . No immunoreactivity for epithelial membrane antigen (EMA) is observed (Panel F). The tumor is not immunoreactive for cytokeratin.

Comment:

DIAGNOSIS: Hemangioblastoma 

Discussion: General Information     Radiology     Pathology     Differential diagnosis

General Information    

    Hemangioblastoma, sometimes referred to as capillary hemangioblastoma, is a benign, vascular tumor occurring almost exclusively within the central nervous system. In the World Health Organization (WHO) Classification, it is a grade I tumor out of the four tier system. It accounts for approximately 1-2% of intracranial tumors.  About 95% of hemangioblastomas are found in the posterior fossa with over three quarters of these tumors occurring as hemispheric tumors. One quarter of hemangioblastomas occurring in the posterior involve the cerebellar vermis and the brain stem with the vermis more commonly involved. Only about 1-2% of hemangioblastomas occur in the spinal cord and they are almost exclusively intramedullary. Most cases that are not associated with von Hippel-Lindau syndrome are sporadic and occur as single lesion.

    These tumors are more common in males and the incidence is highest in the third through fifth decades. Although cases arising from the spinal cord are uncommon, they are well documented and do not appear to behave differently from those arising in the cerebellum 1, 2, 3, 4.  In up to 20% of cases, the cells have endocrine function and produce erythropoetin that causes polycythemia, more often with the solid variant. 

    Approximately 30% of these tumors occur in patients with von Hippel-Lindau syndrome. When these tumors are associated with von Hippel-Lindau’s syndrome, they occur in younger patients and sometimes in children 5, 6. Multiple tumors can be seen in patient with von Hippel-Lindau syndrome and these tumors may occur in uncommon site. In fact, 80% of hemangioblastomas arising in the spinal cord 7, 8, 9 occur in the setting of von Hippel-Lindau syndrome. Extramedullary hemangiomas are extremely rare in patients without evidence of von Hippel-Lindau syndrome, with only a handful of cases reported 10. The tumors in these cases tend to be multiple, occur at a young age group, and associated with von Hippel-Lindau syndrome 11.

Radiology

    Hemangioblastomas have rather characteristic MR imaging features. At least two third of the cases are partially cystic. There are also large vessels within and/or at the periphery of the mass.  The cysts are sharply demarcated and have smooth borders. The cyst fluid are usually of high signal intensity relative to CSF but the mural nodule is usually only of slightly hyperintense or isointense to gray matter on T2-weighted images. Characteristically, the mural nodule abuts the pia (pial-based) enhances markedly with gadolinium. Although not always, the cyst wall can also enhance.

Pathology    

    More thant two-third of hemangiomas occur as mural nodules associated with fluid-filled cysts in the cerebellum.  The cyst wall itself is composed of benign neuronal glial cells.  The specimen appears reddish-brown to yellow, due to their dense vasculature and high lipid content.  Fresh tissue often gives a liver like consistency and color. The fluid within the cyst is xanthochromatic and rarely hemorrhagic.  Less common gross appearances include solid and microcystic forms. 

    Microscopically, hemangioblastomas consist of foamy to clear stromal cells interspersed with endothelium lined vascular channels.  Clear vacuoles within the stromal cells can be stained with Oil red-O or similar stain if applied to frozen sections.  The stromal cells stain strongly for epidermal growth factor receptor (EGFR) and platelet-derived growth receptor factor alpha (PDGF-alpha) 12 and inhibin 13. The stromal cells are typically negative for epithelial membrane antigen (EMA) and cytokeratin 14.  In a small number of cases, the stromal cells express glial fibrillary acidic protein (GFAP)  7, 14 and S100 protein 14. These staining results should be interpreted with case as they may represent entrapped glial cells. The admixed capillaries will stain for with typical endothelial markers (Factor-VIII and others) 15, but the stromal cells are typically negative for the endothelial markers. To this date, the pathogenesis and cell origin of hemangioblastomas is not certain.

Differential diagnosis

    The primary entity that must be ruled out is metastatic renal cell carcinoma as it can have a similar histologic appearance on H&E and has a similar incidence in patients with von Hippel-Lindau syndrome as that of hemangioblastoma.  On hematoxylin-eosin stained sections, renal cell carcinoma can have necrosis, mitosis and large nucleoli, features almost always absent on hemangioblastoma. However, it must also be noted that metastatic renal cell carcinoma can appear rather bland and with out significant atypia. Renal cell carcinoma is also immunoreactive for cytokeratin, CD10, and EMA, while hemangioblastoma is positive for inhibin 13, but negative for cytokeratin, CD10, and EMA. 

    Other neoplasms with clear cell features should also be considered in the differential diagnosis. These tumors include clear cell epdneymomas, clear cell meningioma with prominent vascularity, central liponeurocytoma of the cerebellum, and other metastatic clear cell neoplasms. Ependymomas are strongly are strongly immunoreactive for GFAP. Clear cell meningioma usually contains areas with features of classic meningothelial pattern and they are also immunoreactive for EMA. Central liponeurocytoma contains adipocytes and the neurocytoma cells are immunoreactive  for synaptophysin. Metastatic carcinoma are immunoreactive for cytokeratin and, often, EMA.

    If a biopsy is not taken from the mural nodule, but instead from the cyst wall, one may see only reactive astrocytes.  These are benign, reactive astrocytes and are not part of the tumor. Rosenthal fibers are often present. The reactive gliosis may be mistaken as a glial neoplasm on frozen section. In most cases, this should not pose any serious problem.

Reference: 

  1. Browne TR, Adams RD, Roberson GH. Hemangioblastoma of the spinal cord: review and report of five cases.  Arch Neurol.  1976 33: 435-441.

  2. Murota T, Symon L.  Surgical management of hemangioblastoma of the spinal cord: a report of 18 cases.  Neurosurgery.  1989 25:699-708.

  3. Yasargil MG, Antic J, Laciga R, de Preux J, Fideler RW, Boone SC.  The microsurgical removal of intramedullary spinal hemangioblastomas: report of twelve cases and a review of the literature.  Surg Neurol. 1976 3:141-148.

  4. Roonprapunt C, Silvera VM, Setton A, Freed D, Epstein FJ, Jallo GI.  Surgical Management of isolated hemangioblastomas of the spinal cord.  Neurosurgery.  2001 49:321-328.

  5. Friedrich CA.  Von Hippel-Lindau syndrome: A pleomorphic condition.  Cancer.  1999 86:2478-82.

  6. Richard S, Campello C, Taillandier L, Parker F, Resche F. Haemangioblastoma of the central nervous system in von Hippel-Lindau disease:  French VHL study group.  J Intern Med.  1998 243:547-53.

  7. Deck JH, Rubinstein LJ.  Glial fibrillary acidic protein in stromal cells of some capillary hemangioblastomas:  Significance and possible implications of an immunoperoxidase study.  Acta Neuropath.  1981 54:173-181.

  8. Giannini C, Scheithauer BW, Hellbusch LC, Rasmussen AG, Fox MW, McCormick SR, Davis DH. Peripheral nerve hemangioblastoma.  Mod Pathol.  1998 11:999-1004.

  9. Ismail SM, Cole G.  von Hippel-Lindau syndrome with microscopic hemangioblastomas of the spinal nerve roots: case report.  J Neurosurg.  1984 60:1279-1281.

  10. Escott EJ, Kleinschmidt-DeMasters BK, Brega K, Lillehei KO.  Proximal nerve root spinal hemangioblastomas: Presentation of three cases, MR appearance and literature review.  Surg Neurol.  2004 61:262-73.

  11. Conway JE, Chou D, Clatterbuck RE, Brem H, Long DM, Rigamonti D.  Hemangioblastomas of the central nervous system in von Hippel-Lindau syndrome and sporadic disease.  Neurosurg.  2001 48:55-62.

  12. Bohling T, Hatva E, Kujala M, Claesson-Welsh L, Alitalo K, Haltia M. Expression of growth factors  and growth factor receptors in capillary hemangioblastoma.  J Neuropathol Exp Neurol.  1996 55:522-7.

  13. Hoang MP, Amirkhan RH.  Inhibin alpha distinguishes hemangioblastoma from clear cell renal cell carcinoma.  Am J Surg Pathol. 2003 27:1152-6.

  14. Frank TS, Trojanowski JQ, Roberts SA, Brooks JJ. A detailed immunohistochemical analysis of cerebellar hemangioblastoma: an undifferentiated mesenchymal tumor. Mod Pathol. 1989 Nov;2(6):638-51.
  15. McComb RD, Jones TR, Pizzo SV, Bigner DD.  Localization of factor VII/von Willebrand factor and glial fibrillary acidic protein in the hemangioblastoma:  Implications for stromal cell histogenesis.  Acta Neuropath.  1982 56:207-13.