A 55 year-old Woman, Unconscious and Resuscitated.
April, 2005, Case 504-1. Home Page

Eric Harp, D.O., Willard Aronson, M.D., Kar-Ming Fung, M.D., Ph.D.

Department of Pathology, University of Oklahoma Health Sciences Center, Oklahoma City, OK, Last update April 30, 2005

Clinical information:

The patient was a 55 year-old white woman with a history of chronic pain and hip replacement. She took opiate medication for her pain control. She was found unresponsive at home by her husband. Upon arrival of the emergency medical technician, she was found asystolic and in respiratory arrest. The resuscitation was successful and she was transferred to the emergency department and further treated in the intensive care unit. She remained unresponsive and her condition deteriorated. She died later the same day. An autopsy was performed. Representative macroscopic and microscopic images are provided as follows:

     
A. B. C.      
DIAGNOSIS: Acute hemorrhage in basal ganglia following circulatory arrest.

Pathology of the case: 

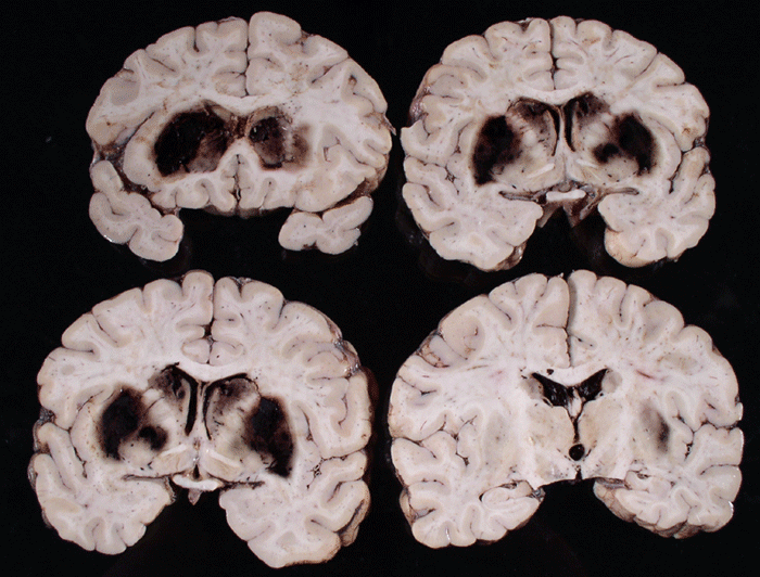
Gross neuropathologic findings: The brain weighs 1575 grams and is swollen but remains symmetrical. The sulci are largely flattened by the edema. The cerebral hemispheres and cerebellum have overall dusky discoloration. There was no evidence of cingulate, tonsillar, or uncal herniation. The vessels are patent and show minimal amounts of atherosclerosis.

On coronal sections, bilateral putamen and globus pallidus are hemorrhagic and contain large blood clots. Both caudate nuclei are also soft and hemorrhagic with small amount of blood rupturing into the lateral venticles with extension to the third and fourth ventricles. Despite the ventricular blood, there is no ventricular enlargement. In fact, the lateral ventricles appear compressed because of the cerebral edema. The fourth ventricle is slightly dilated by the intraventricular hemorrhage. Overall, there is a striking symmetry between the hemorrhage on the left side and the right side. Also, the hemorrhages in the caudate nuclei appear to be separate foci rather then extension of the hemorrhage from the putamen. Despite the close proximity of the internal capsules and thalamus to the hemorrhagic basal ganglia, they appear uninvolved. The cerebral cortex, cerebral penducle, the corpus callosum, and centrum ovale are within normal limits. The cerebellum and brain stem are also grossly unremarkable. The symetrical distribution and hemorrhage limited to the caudate, putamen and globus pallidus is quite unusual in this case.

Microscopic neuropathologic findings: Microscopically, the basal ganglia has hemorrhage that are rimmed by a thin layer of necrotic tissue. There are no reactive changes, acute or chronic inflammatory cell infiltration, vasculitis, new vessel formation, or hemosiderin deposition. A reticulin stain is performed and found no evidence of vascular malformation. Pathologic changes in samples that are obtained from different hemorrhagic areas from both cerebral hemispheres appear to be similar and are consistent with the early stage of acute hemorrhage. No necrosis, neuronal death or hemorrhage are identified in the brainstem.

General autopsy: Mild atherosclerosis is found in the coronary arteries. There is also mild pulmonary interstitial fibrosis. The cause of her unresponsiveness is uncertain but cardiac arrythmia is suspected. 

Discussion:

    Symmetrical necrosis in the CNS following circulatory arrest was first described by Gilles in 1964 1. The study included three infants and one adult, all of which had suffered a sudden, transient circulatory arrest. Later cases have reported bilateral lesions resulting from hypotension, hypoxia, respiratory distress, and asphyxia. From these observations have come terms such as hypotensive brainstem necrosis and cardiac arrest encephalopathy. While many of the cases have documented the changes in association with heart attacks, others have been documented resulting from prolonged hypotension without cardiac arrest. Necrosis and focal hemorrhage, sometimes with extension to the basal ganglia and thalamus have been described in both children and adults2.

    The acute hemorrhages in the basal ganglia in our case have striking symmetry and are restricted almost strictly to the basal ganglia. This type of hemorrhage is quite unusual in adults. The hemorrhages in the caudate seems to be separate foci rather then extension of the hemorrhage from the putamen in our case. Although hemorrhages in patients with hypertension often occur in the basal ganglia, they are rarely as symmetrical. Similar hemorrhages of the basal ganglia have been cases described in adult patients that sustained circulatory arrest or hypotension 3, 4, 5. In many of these cases, there are also brainstem necrosis 4. Interestingly, there are no brainstem necrosis in our case. In some of these cases, circulation was not restored for at least an hour, after which the patients remained comatose for up to 2 weeks before death. In these cases, ischemia in the areas supplied by the deep perforating arteries caused by hypotension was the suspected mechanism of injury. In other studies, minor hemorrhages that occur in a delayed fashion have been documented 6, 7.

    Hypoxemia, whatever the cause, is part of the results of transient global ischemia of the central nervous system. While the brain has several compensatory mechanisms when faced with decreased oxygen, with prolonged hypoxemia, tissue damage often ensues. Noted causes of hypoxemia include high-altitude, anemia, and carbon monoxide poisoning. The true ischemic damage occurs when there is a lack of both delivery (hypoxia) and removal of metabolic products. The resulting ischemic damage is often seen as gray matter infarcts, edema, or the classic cortex changes observed from an abrupt interruption of cerebral blood flow, namely stroke.

    In contrast to the cortical damage described above, basal ganglia damage is not nearly as commonly. One situation in which it is encountered in adults is with carbon monoxide poisoning. Early changes show the bright red hemorrhage characteristic of carboxyhemoglobin, while later, demarcated necrosis is seen in the globus pallidus. These changes have been documented both grossly, and by CT and MRI 8.

Reference: 

  1. Gilles FH. Hypotensive brain stem necrosis. Selective symmetrical necrosis of tegmental neuronal aggregates following cardiac arrest. Arch Pathol. 1969; 88(:32-41.
  2. Janzer RC, Friede RL. Hypotensive brain stem necrosis or cardiac arrest encephalopathy? Acta Neuropathol (Berl). 1980;50:53-6.
  3. Opeskin K, Burke MP. Hypotensive hemorrhagic necrosis in basal ganglia and brainstem. Am J Forensic Med Pathol. 2000; 21:406-10.
  4. Ng HK. Hypotensive symmetrical hemorrhagic necrosis of the basal ganglia and brain stem. Pathology. 1994; 26:23-7.
  5. Miao J, Galluzzi S, Beltramello A, Giubbini R, Zanetti O, Frisoni GB. Bilateral pallidal lesions following major haemorrhage: description of a case. J Neurol. 2001; 248:806-8.
  6. Fujioka M, Okuchi K, Miyamoto S, Sakaki T, Hiramatsu K, Tominaga M, Kamada Y, Iwasaki S. Changes in the basal ganglia and thalamus following reperfusion after complete cerebral ischaemia. Neuroradiology. 1994; 36:605-7.
  7. Fujioka M, Okuchi K, Sakaki T, Hiramatsu K, Miyamoto S, Iwasaki S.  Specific changes in human brain following reperfusion after cardiac arrest. Stroke. 1994; 25:2091-5.
  8. Schils F, Cabay JE, Flandroy P, Dondelinger RF. Unusual CT and MRI appearance of carbon monoxide poisoning. JBR-BTR. 1999; 82:13-5.