| A 26 year-old Man with a
Pineal Mass. May, 2005, Case 505-1. Home Page |
Chimène Kesserwan M.D.1, Kalliopi Petropoulou, M.D.2, Kar-Ming Fung, M.D., Ph.D.1 Last update: May 30, 2005.
1 Department of Pathology, 2 Department of Radiology, University of Oklahoma Health Sciences Center, Oklahoma City, Oklahoma.
Clinical information: The patient was a 26 year-old man who presented with a chief complain of headache. A mass in the pineal gland was found and a stereotactic biopsy was performed. The followings are representative images from CT scan and pathologic studies.
![]() |
![]() |
![]() |
![]() |
![]() |
![]() |
| A. | B. | C. | D. | E. | F. |
![]() |
![]() |
![]() |
![]() |
|
|
| G. | H. | I. | J. | K. | L. |
![]() |
![]() |
![]() |
![]() |
||
|
M. CD68 |
N. PLAP |
O. CD117 |
Scanned slide |
Pathology of the case:
Imaging:
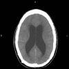
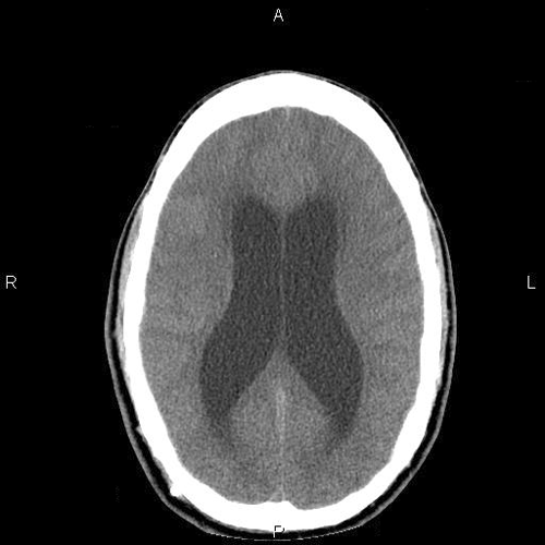
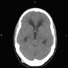
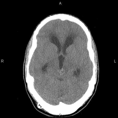
A poorly defined lesion is identified in the pineal region of the CT scan. The increased density suggest calcifications (Panel A). A moderate degree of hydrocephalus is also present (Panel B).
Pathology:
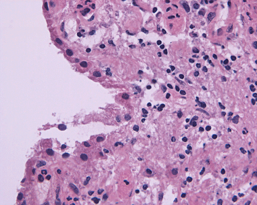
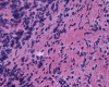
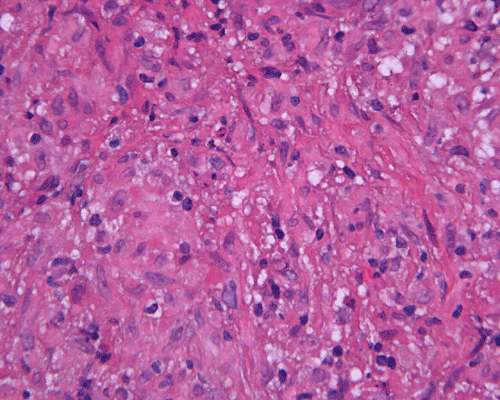
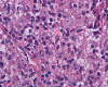
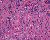
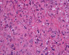
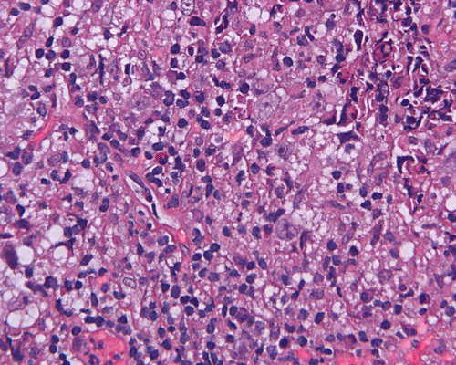
Intraoperative consultation: The specimen is that of a streotactic biopsy and is very small. The intraoperative cytologic preparation was rather hypocellular. Small clusters of cells with bland nuclei and foamy cytoplasm are present and they are highly suggestive of foamy histiocytes (Panel C). On frozen section, there are many small lymphocytes in a "pink" background that can be a granulomatous process (Panel D). In some areas, many foamy macrophages are present and one particular fragment appear to be a possible portion of a wall of structure with lining cells suggestive of macrophages (Panel E).
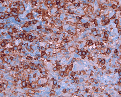
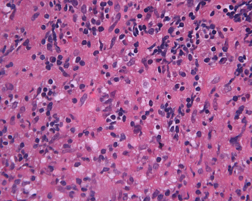
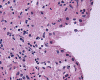
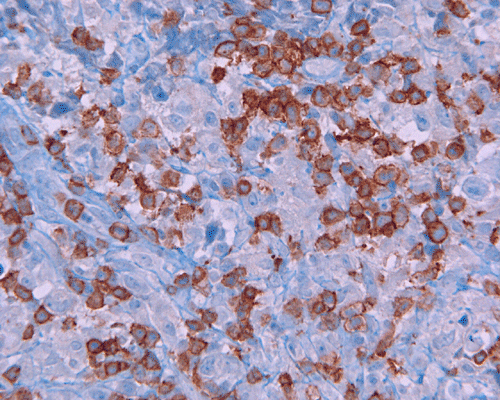
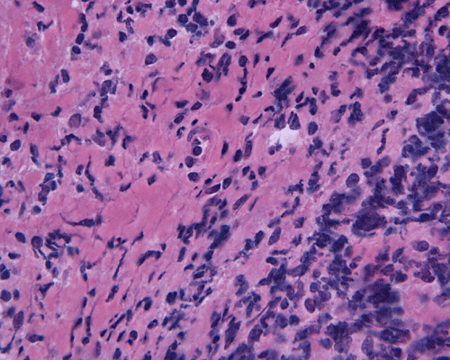
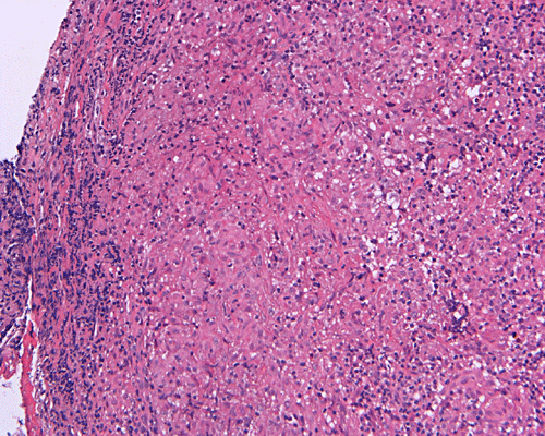
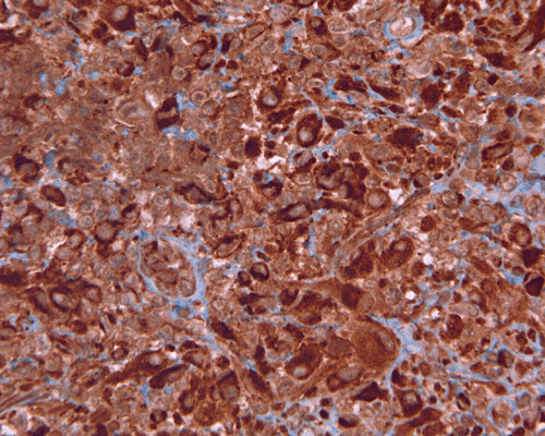
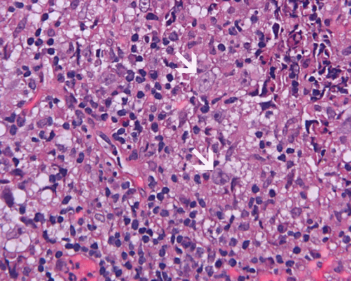
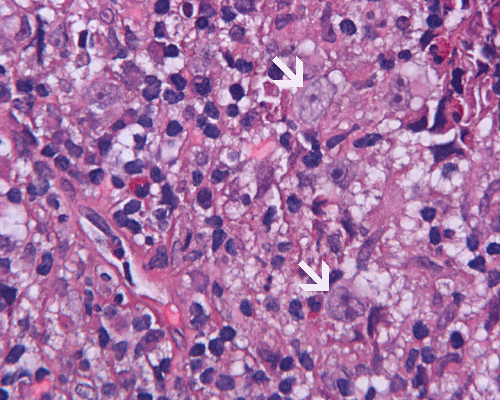
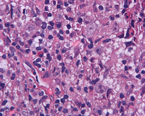
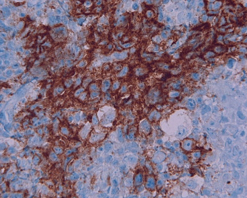
Paraffin sections: The entire volume of the tissue is made up of a granulomatous inflammation with poorly formed granuloma (Panel F, G, and H). The density of the lymphocytes is variable in different areas. In some areas, there is a rather intense lymphocytic infiltration accompanied by scant atypical cells with enlarged nulcei and prominent nucleoli (arrows in Panel I and J, Panel J is a higher magnification of Panel I). These atypical cells are quite easy to be missed. No microorganisms were identified by acid fast stain, PAS stain or GMS stain. The lymphocytes but not the atypical cells are positive for CD20 (Panel K) or CD3 (Panel L). The granulomatous background is strongly positive for CD68 (Panel M). Only rather faint positive staining for placental alkaline phosphatase (PLAP) is demonstrated and the interpretation is difficult as they are present in areas with crush artifact (Panel N). Many of the large, atypical cells are positive for CD117 (c-kit) (Panel O).
| DIAGNOSIS: Pineal germinoma with extensive granulomatous changes. |
Discussion: General Information Radiology Serum Markers Cell of Origin Pathology Differential diagnosis Prognosis
General Information
Pineal neoplasms constitute 0.3-2.7% of all intracranial tumors. They can be classified into 3 major groups according to their cellular origin: (1) tumors of germ cell origin, (2) tumors of pineal cell origin, and (3) tumors of other cell origin. Primary tumors of germ cell origin include germinoma, mature teratoma, malignant teratoma, embryonal cell carcinoma, endodermal sinus tumor, choriocarcinoma, and mixed germ cell tumors. Pure germinoma is the most common pineal neoplasm, constituting approximately 40% of cases. Suprasellar region is the other common site. In general germ-cell tumors has a marked predominance in males. Pineal germinomas follow this general trend but the incidence in suprasellar germinoma is roughly equal in both sexes. Pineal germinomas occur usually within the first three decades of life. There is also increased incidence of intracranial germinomas in Japan.
Clinical manifestations include hydrocephalus, features of raised intracranial pressure and direct compression of the upper brainstem or cerebellum consisting of headache, vomiting, diplopia, extraocular movement disturbances and others. Parinaud syndrome, a condition secondary to compression of the tectum, with subsequent interruption of the afferent and efferent connections of the midbrain structures, such as posterior commissure, medial longitudinal fasciculus or the interstitial nucleus of Cajal, can be caused by pineal germinomas and other pineal tumors. The triad of Parinaud syndrome includes palsy of the upward gaze, dissociation of light and accommodation, and failure of convergence. Pineal germinomas may also be associated with precocious puberty in male patients.
On MRI studies, pineal germinomas and primary pineal tumors are usually isointense to gray matter on T1-weighted, are slightly hyperintense on T2, and have strong homogenous enhancement. Intratmuoral cysts can occur as well. CT scan shows the lesion as a hyperdense mass that surrounds a calcified pineal gland. The neuroimaging characteristics of germinomas and nongerminomatous germ cell tumors are similar enough to limit diagnostic certainty, and either tissue confirmation or the measurement of specific tumor markers is needed for diagnosis. Pineal calcification on plain radiographs, uncommon in children less than 10 years of age, is a useful clue to the diagnosis of a germ cell tumor, since approximately 70% of patients with pineal region tumors have calcifications 1. The calcifications in germinoma surround the pineal gland as the germinoma grows. In contrast, pineocytomas commonly have intratumoral calcifications. Unlike germinomas, teratomas typically have heterogenous MRI signals because they can contain tissue from all 3 germinal layers.
The marker profile in cerebrospinal fluid or serum may be helpful in the differential diagnosis of germ cell tumors in the pineal region 1. Choriocarcinoma produces human chorionic gonadotropin, endodermal sinus tumor produces alpha-fetoprotein, and embryonal cell carcinoma produces alpha fetoprotein and human chorionic gonadotropin. Mixed germ cell tumors may produce a combination of these tumor markers. Serum markers are also useful to detect early recurrence.
The cellular origin of germinoma usually is ascribed to primitive totipotential germ cells that are believed to migrate over wide areas of the embryo during early fetal life. In contrast to other types of germ cell tumor (teratomas, choriocarcinomas, yolk sac tumors, and spermatocytic seminomas) which are composed of differentiated tissues that lack the characteristics of undifferentiated and pluripotent stem cells, germinoma assumes pluripotent potential, which is demonstrated by their capacity to differentiate into somatic and/or extraembryonic elements 2.
Intracranial germinoma is histologically identical to ovarian dysgerminoma and testicular seminoma. There is a tendency to infiltrate adjacent structures and to spread throughout the ependyma, the ventricular system and subarachnoid spaces. Microscopically, they consist of nests, lobules, cords, and/or sheets of large round tumor cells with well-defined borders, clear to pale cytoplasm with artifactual vacuolization, round and centrally located nuclei with open chromatin and prominent round or bar-shaped nucleoli. The cytoplasm is glycogen-rich, making these cells periodic acid-Schiff (PAS)–positive and diastase sensitive. These tumor cells are mitotically active. Atypical mitosis, however, is not a common finding. Necrosis is usually not prominent. In the most classic histologic picture, clusters and cords of large germinoma cells are separated by a dense, lymphocytic infiltration admixed with some macrophages and a delicate fibrovascular network. Plasma cells may be found. At medium-power magnification with hematoxylin and eosin stain, the contrast between the smaller, darkly staining lymphocytes and the larger, pale staining cytoplasm of neoplastic cells is virtually pathognomonic. The amount of inflammatory cells can have wide variations among different tumors. In some occasions, the large germinoma cells are difficult to be found and the overall picture may suggest a lymphoma. Syncytiotrophoblastic cells can also be present. These cells should not be mistaken as evidence of choriocarcarcinoma.
Germinomas can elicit an atypical gliosis in the surrounding glial tissue which may be confused with malignant glial neoplasms. This is true particularly of specimens taken from the periphery of the germinoma. The tumor may appear as a desmoplastic tumor. The inflammatory response may be problematic in reaching a histologic diagnosis, especially in small biopsies, as macrophages can be difficult to distinguish from a non-seminomatous neoplastic component.
Granulomatous changes are common findings in germinomas and intracranial germinomas follow this general trend 3, 4, 5. It can be extensive. This feature is particularly problematic in neuropathologic when stereotactic biopsy is performed and the amount of tissue available for examination is limited as illustrated in this case. During intraoperative consultations, a frozen section diagnosis of granulomatous inflammation should prompt additional sampling as isolated granulomatous inflammation of infectious origin and sarcodosis are quite uncommon in the pineal gland.
Immunohistochemically, the neoplastic cells show cytoplasmic membranous patten, sometimes diffuse cytoplasmic pattern, of staining for placental alkaline phosphatase (PLAP). Detection of c-kit (CD 117) in germinoma has been demonstrated and serves as a good diagnostic aid. Activating KIT mutations may contribute to tumorigenesis in germinoma 6, 7, 8. Syncytiotrophoblastic cells can be positive for human chorionic gonadotrophin (hCG). Occasional positive immunoreactivity for cytokeratin has been described and should not be taken as the sole evidence for embryonal carcinoma.
Mutation of c-kit gene at exon 11 (W557C) or 17 (D816V, D820V, and N822Y) were found in four germinomas (25.0%). To this date, no statistically significant difference in any clinicopathological factor was found between patients with or without mutations 8 but further studies is needed to explore the therapeutic potential of this finding.
Differential diagnosis
First, the inflammatory cell infiltration and particularly the macrophages and granulomatous reaction can suggest an inflammatory process such as sarcoidosis or infection. A high index of suspicion, familiar with the clinical, imaging, and pathologic characteristics are essential to making a correct diagnosis.
Non-Hodgkin’s lymphoma and Hodgkin’s lymphoma should be considered although the later is extremely rare in the brain. Immunohistochemistry for PLAP would usually solve this difficult situation. Flow cytometry can be ordered at the time of frozen to facilitate the diagnosis.
As germinoma can trigger a gliotic reaction in the periphery and mimic a glioma, it is important to look for the large germinoma cells. Again, PLAP can be very helpful in this situation.
It is important to distinguish germinoma from other germ cell tumors. Separation from teratoma should not be a problem in most situations. It is also important to know that teratoma and dermoid cysts tend to arise in the cerebellopontine angle far more often then the pineal or suprasellar region. Recognition of non-seminomatous component is important and is essentially by morphology. Immunohistochemistry can be helpful as yolk sac tumor (endodermal sinus tumor) are positive for alpha-fetal protein, choriocarcinoma are positive for human chorionic gonadotrophin, and embryonal carcinoma are positive for CD30 and cytokeratin. The syncytiotrophoblastic cells in germinoma should not be taken as evidence as choriocarcinoma.
When the large germinoma cells are scant, the overall picture may suggest a diagnosis of small blue cell tumor such as pineoblastomas. This may be quite a challenge during intraoperative consutation. Detailed search for the germinoma cells in the cytologic preparation often helps as they are usually much better preserved then frozen. On permanent sections, pineoblastomas are usually positive for neuroendocrine markers such as synaptophysin and negative for PLAP.
The treatment of intracranial germ cell tumors depends on the certainty of the diagnosis, the histologic subtype, and location of the lesion. Surgical excision is recommended if the biopsy is nondiagnostic or suggestive of mature teratoma. Germinomas have a high cure rate with external beam radiation therapy alone, but adjunctive chemotherapy is often used to reduce the adverse cognitive and neuroendocrine effects produced by high-dose radiation. The role of protein tyrosine kinase inhibitors in the treatment of germinoma is currently under investigation. Non-seminomatous germ cell tumors are less radiosensitive and therefore more difficult to treat; high-dose chemotherapy and surgical resection are used more frequently in the management of these tumors.
Although combined radiation therapy and chemotherapy is now being investigated at many institutions, radiation therapy is the standard treatment for intracranial germinoma, producing a cure rate of more than 90% 9. The presence of syncytiotrophoblastic cells may be related to increased recurrence 10, 11.
Reference:
Packer RJ, Cohen BH, Cooney K. Cooney K. Intracranial germ cell tumors.[erratum appears in Oncologist 2000;5(5):following 438 Note: Coney, K Oncologist. 2000; 5:312-20.
Hattab EM, Tu PH, Wilson JD, Cheng L. OCT4 immunohistochemistry is superior to placental alkaline phosphatase (PLAP) in the diagnosis of central nervous system germinoma. American Journal of Surgical Pathology. 2005; 29:368-71.
Konno S, Oka H, Utsuki S, Kondou K, Tanaka S, Fujii K, Yagishita S. Germinoma with a granulomatous reaction. Problems of differential diagnosis. Clinical Neuropathology. 2002; 21:248-51.
Endo T, Kumabe T, Ikeda H, Shirane R, Yoshimoto T. Neurohypophyseal germinoma histologically misidentified as granulomatous hypophysitis. Acta Neurochirurgica. 2002; 144:1233-7.
Kraichoke S, Cosgrove M, Chandrasoma PT. Granulomatous inflammation in pineal germinoma. A cause of diagnostic failure at stereotaxic brain biopsy. American Journal of Surgical Pathology. 1988; 12:655-60.
Kemmer K, Corless CL, Fletcher JA, McGreevey L, Haley A, Griffith D, Cummings OW, Wait C, Town A, Heinrich MC. KIT mutations are common in testicular seminomas. American Journal of Pathology. 2004; 164:305-13.
Takeshima H, Kuratsu J. A review of soluble c-kit (s-kit) as a novel tumor marker and possible molecular target for the treatment of CNS germinoma. Surgical Neurology. 2003; 60:321-4.
Sakuma Y, Sakurai S, Oguni S, Satoh M, Hironaka M, Saito K. c-kit gene mutations in intracranial germinomas. Cancer Science. 2004; 95:716-20.
Shibamoto Y, Sasai K, Oya N, Hiraoka M. Intracranial Germinoma: Radiation Therapy with Tumor Volume-based Dose Selection. Radiology 2001; 218: 452-456.
Matsutani M, Sano K, Takakura K, Fujimaki T, Nakamura O, Funata N, Seto T. Primary intracranial germ cell tumors: a clinical analysis of 153 histologically verified cases. J Neurosurg. 1997; 86:446-55.
Uematsu Y, Tsuura Y, Miyamoto K, Itakura T, Hayashi S, Komai N. The recurrence of primary intracranial germinomas. Special reference to germinoma with STGC (syncytiotrophoblastic giant cell). J Neurooncol. 1992; 13:247-56.