A 67 year-old Woman with a Cerebellar and a Parietal Enhancing Lesion.
June, 2007, Case 706-1. Home Page

George Pirumyan, M.D., M.P.H., Nasir Bakshi, M.D., Kar-Ming Fung, M.D., Ph.D. Department of Pathology, University of Oklahoma, Oklahoma City, OK. Last update August 30, 2007.

Clinical information:This patient was a  67 year-old Caucasian woman, who presented to our institution with ataxia and headache. Brain CT scan and MRI revealed two enhancing lesions: one in the lateral aspect of left cerebellar hemisphere and one in the deep white matter in the left parietal lobe. The initial clinical impression was metastatic malignancy but an extensive workup did not find any primary lesion. Neurological examination showed normal bulk, tone and strength. She had wide-based gait, with reflexes +1. The function of cranial nerve was within normal limits. She had no history of HIV infection, prior history of cancer or chemotherapy, connective tissue diseases, or prolonged steroid treatment. A biopsy on the cerebellar lesion was performed. The following images are representatives of the biopsy material.

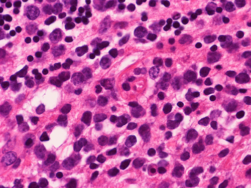
A.
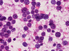
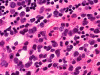
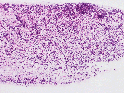
Squash
B.
Squash
C.
Squash
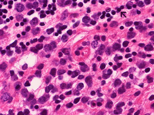
D.
Frozen
E.
Frozen
F.
G. H. I.
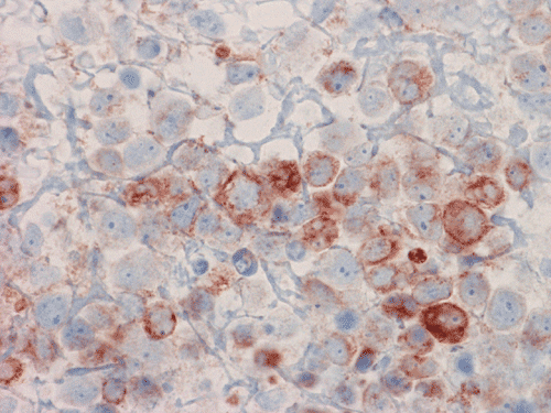
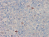
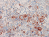
LCA
J.
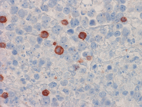
CD20
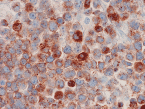
K.
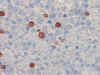
CD79a
L.
CD3
       
M.
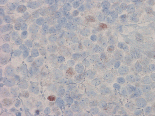
Bcl-2
N.
Bcl-6
       
Histopathology of the case:

Intra-operative Consultation:

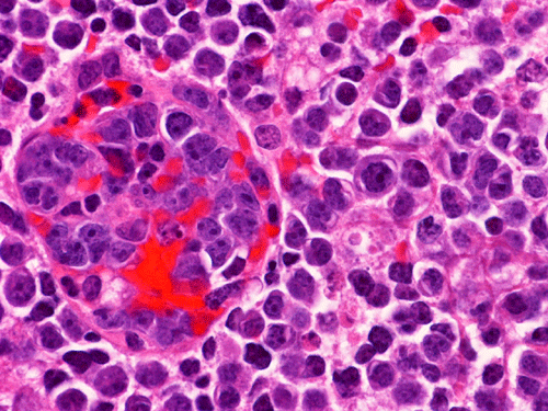
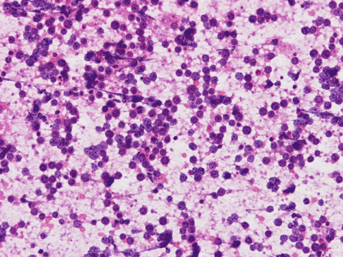
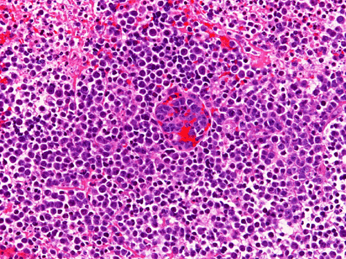
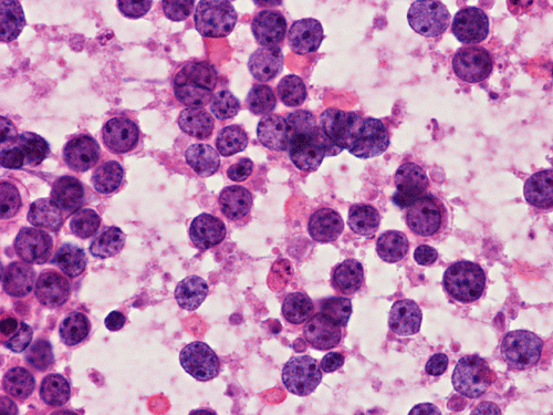
    The biopsy material is obtained from the cerebellum. It is composed of two small fragments of semi-liquid dark, mucoid tissue, 0.4 x 0.4 x 0.2 cm in toto. Half is used for the cytologic preparation and the other half for frozen section. On scanning and low magnifications of the intraoperative cytologic preparation (Panel A and B) there are numerous rather monotonous cells. On high magnification (Panel C), these cells have monotonous, large, hyperchromatic and round nuclei with a prominent nucleoli in many of them. There is an extremely high nuclear to cytoplasmic ratio and these cells have only a thin rim of cytoplasm around them. Some naked nuclei are also present. The cells do  not really cluster together. Frozen section shows small fragments of cerebellar tissue infiltrated by these abnormal cells  (Panel D and E). In these areas, residual molecular layer and internal granular cells are present. The tumor cells has a diffusely infiltrative pattern. On high magnification (Panel F), the atypical cells have nuclei far larger than those of the internal granular cells (arrow in Panel F).

    The leading differential diagnosis in this case is lymphoma.  Metastatic malignant melanoma can also give  a plasmacytoid pattern on cytologic preparation and should be considered in this case.  However, metastatic melanoma with plasmacytoid pattern usually has more prominent nucleoli, pseudonuclear inclusions, more prominent nucleoli and variation in tumor size and they also have a higher tendency to form small clusters.  Obviously if melanin pigment can be demonstrated than the diagnosis of metastatic melanoma could be confirmed but this is not a particularly common scenario. Poorly differentiated metastatic carcinoma particularly small cell carcinoma should also be considered.  However, it is quite uncommon to see absolutely no clustering in a case of metastatic carcinoma. In addition, metastatic small cell carcinomas typically have "salt and pepper" nuclei, typical for neuroendocrine tumors. The cytologic preparations really does not suggest high grade glioma but glioblastomas should not be forgotten.

Permanent Sections:

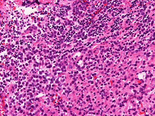
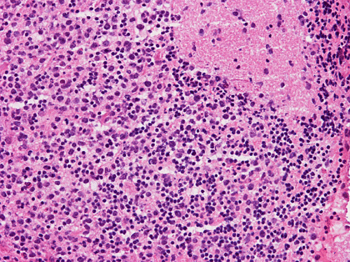
    The material for permanent sections is largely semi-liquid in consistency. There are only very few fragments of cerebellar tissue that are infiltrated by the tumor. The bulk of the diagnostic material are solid sheets of neoplastic cells (Panel G). The cytologic features are similar to what we have observed in the cytologic preparation  (Panel H). In essence, the tumor is composed of solid sheets of large polygonal and rather monotonous atypical cells with a thin rim of cytoplasm and molding which lead to a mosaic pattern. These features are consistent with lymphoma. On immunohistochemistry, practically all the neoplastic cells are positive for leukocyte common antigen (LCA) (Panel I), CD20 (Panel J) and many of them are positive for CD79a (Panel K). Only reactive T-cells but not the large, atypical cells are positive for CD3 (Panel L). The neoplastic cells are essentially negative for Bcl-6 (Panel M) but some of them are positive for Bcl-2 (Panel N). The large atypical cells are negative for kappa and lambda light chains on immunohistochemistry. There is no immunoreactivity in the neoplastic cells for cytokeratin (AE1/AE3), S100, pan-melanoma marker (Mart-1, tryptase, and HMB-45).

DIAGNOSIS: Diffuse large B-cell lymphoma.

Discussion:

General Information:

    Primary CNS lymphoma (PCNSL) is a rare form of extranodal non-Hodgkin’s lymphoma (NHL), that arises within the craniospinal axis and remains confined to the CNS.  It is defined as lymphoma occurring in the brain, leptomeninges, spinal cord, or eyes without evidence of lymphoma outside the CNS. The PCNSL must be differentiated from secondary involvement of the CNS in systemic lymphomas, as the frequency of latter is at least 10 fold the frequency of PCNSL.

    PCNSL represents 3.1% of all primary brain tumors and 2–3% of NHLs. During the past 30 years, the incidence of PCNSL has increased dramatically in all age groups. However, in the last decade we have observed just slight increase in the incidence in individuals above the age of 60, which currently stands at 0.46 per 100,000 patient-years. The major factor of this trend is related to the epidemic of human immunodeficiency virus (HIV) and immunosuppressant therapy in solid organ transplant patients, as patients with acquired and congenital immunodeficiency conditions are highly predisposed to develop this malignant process. As per one of the studies, the overall survival rate is 1.1 to 8.5 years. Younger patients under 50 years of age and a Karnofsky performance score of over 70 are favorable prognostic indices 1.

    Based on current literature up to 90% of cases are diffuse large B-cell lymphomas (DLBCL), with the remaining 10% poorly characterized low-grade lymphomas (lymphoplasmacytic and follicular, marginal zone lymphoma of the dura), Burkitt’s lymphoma and T-cell lymphomas. Primary T-cell lymphoma of the brain is extremely rare [click here to see a case]. A 'reactive' T-cell infiltrate is present in varying degrees, which can be diagnostic dilemma to distinguish between PCNSL and reactive lymphocytosis.

Pathology

    The most common sites are the frontal and temporoparietal lobes, the basal ganglia and less frequently it may be found in the cerebellum, brainstem, and spinal cord. In most cases the parenchyma is involved but there are unusual cases that are limited to the leptomeninges. Grossly PCNSL can present either as well demarcated, pale, homogeneous masses, that are hard to differentiate from metastatic lesions, or as ill-defined and highly infiltrative lesions, that are impossible to be distinguish from adjacent normal brain tissue. Tumors may extend across corpus callosum and involve both cerebral hemispheres to produce the so-called “butterfly” tumor. The tumor tissue mains a solid consistency in most cases but extensive necrosis and semi-liquid like consistency as in this case can occur.

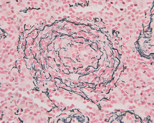
    Similar to the systemic counterparts, diffuse large-B cell lymphomas of the CNS are characterized by large, pleomorphic lympyoid cells. Histologically, however, PCNSL shows the unique angiocentric infiltrating pattern, which is more prominent at the edge of the lesion. The tumor cells dissect and expand the perivascular network in a concentric manner which is best demonstrated by reticulin stain

[click here to see a picture]. Systemic DLBCL does not show this particular pattern of growth. The tumor infiltrates the brain parenchyma between blood vessels as small clusters and individual cells. Confluent areas of tumor may show necrosis, with residual viable tumor cells being found mostly around blood vessels. The boundary of the tumor may be relatively discrete, but it is more common for perivascular cuffs and single infiltrating lymphoma cells to be found at some distance from the tumor mass, extending far away from radiographically evident tumor margins. The malignant lymphocytes lack a cohesive appearance, do not form glands or other structures. The nuclei vary from round to indented or cleaved, and prominent nucleoli can be noted. The cells have only a small amount of basophilic cytoplasm. Variable numbers of mitotic figures and apoptotic cells are seen.

    Immunophenotyping shows positive staining for CD20, CD19 and CD79a in large atypical cells and CD3 positivity in small, benign T-lymphocytes. Additional staining for immunoglobulin light chains (κ and λ) to demonstrate monoclonality and proliferation marker as MIB-1 (Ki-67) are useful in diagnostic workup. However, in poorly differentiated tumor, there may be a total lack of light chain on immunohistochemistry. MIB-1 is rarely used due to lack of correlation with prognosis. Flow cytometry can be helpful in establishing the phenotypic profile particularly when the tumor does not look like a clear cut diffuse large-B cell lymphoma. Immunohistochemistry for cytokeratin and markers for malignany melanoma are helpful in differential diagnosis.

    Microscopically, PCNSL resembles systemic diffuse large B-cell lymphoma (DLBCL) and the two disorders share common molecular features; however, the underlying molecular mechanisms of PCNSL, including the causative role of somatic gene alterations, remain uncertain. DLBCLs are separated into three distinct groups in regard to gene expression profile: germinal center B-cell like, activated B-cell like and type 3 (which includes group of unclassified cases).  The germinal center B-cell like group, with positive bcl-6 and CD10 immunostaining, has significantly better survival compared with two other groups.

    The histologic parameters related to prognosis have not been fully established. However, there are some evidence indicating that phenotypic features of germinal center differentiation  2, 3 and reactive perivascular T-cell infiltration 4 are favorable prognostic signs.

Differential Diagnosis:

    Differential diagnosis of DLBCL includes a high-grade glioma; however those are more infiltrative tumors and show more nuclear pleomorphism. The intra-operative cytologic preparations are extremely helpful in separating lymphomas from glial tumors and metastatic carcinomas. Some glioblastomas may have histologic features to simulate DLBCL.  Other “small blue cell” tumors such as small cell carcinoma or a primitive neuroectodermal tumor and medulloblastoma should be considered in the differential diagnosis. The clinical setting as well as cytomorphological features can be useful in differentiating these tumors from PCNSL. Both of the aforementioned tumors are more cohesive than lymphoma and tumor cell clusters of different sizes are present on the cytologic preparation. Identification of lymphoglandular bodies in a DiffQuick stain would be a big help in making the diagnosis.

    Some melanotic malignant melanoma may give a plasmacytoid pattern in inta-operative cytologic preparations. Some of these tumors do not tend to form as much adhesive clusters in comparison to metastatic carcinomas. These features can confuse melanoma with lymphoma during intra-operative consultation. Melanoma tend to have more prominent nucleoli than lymphoma although some large cell lymphoma can also have prominent nucleoli. Pseudonuclear inclusion should not be seen in lymphomas to any significant extent or at all. Malignant melanomas with plasmaycytoid pattern usually have more cytoplasm than lymphomas which typically have a very thin rim of cytoplasm. Identification of melanin pigment can, of course, nail down the diagnosis but sometimes they are not easy to be found.

    Anaplastic large-cell lymphoma (ALCL) should be considered in cases of primary CNS lymphomas. The cells are generally larger than those of a DLBCL, with pleomorphic, single or multiple nuclei. Nucleoli are prominent and also may be multiple. ALCL cells are positive for CD30. The majority of ALCLs are also positive for T-cell markers such as CD3, CD43, and CD45RO, although some are negative for both B- and T-cell markers (“null cell” type). ALCLs are by definition is negative for B-cell markers such as CD20.

    DLBCL should also be distinguished from other mimickers such as lymphoplasmacyte –rich meningioma and Rosai-Dorfman disease (sinus histiocytosis with massive lymphadenopathy) [click here to see a case]. These lesions would not have the large, pleomorphic lymphoid cells that are present in DLBCL. . In addition, these lesions are more likely to be dural based while DLBCL are found predominantly in brain parenchyma.

References:

  1. Abrey LE, Ben-Porat L, Panageas KS, Yahalom J, Berkey B, Curran W, Schultz C, Leibel S, Nelson D, Mehta M, DeAngelis LM. Primary central nervous system lymphoma: the Memorial Sloan-Kettering Cancer Center prognostic model. J Clin Oncol. 2006 20;24:5711-5.

  2. Berglund M, Thunberg U, Amini RM, Book M, Roos G, Erlanson M, Linderoth J, Dictor M, Jerkeman M, Cavallin-Stahl E, Sundstrom C, Rehn-Eriksson S, Backlin C, Hagberg H, Rosenquist R, Enblad G. Evaluation of immunophenotype in diffuse large B-cell lymphoma and its impact on prognosis. Mod Pathol. 2005 18:1113-20.

  3. Lin CH, Kuo KT, Chuang SS, Kuo SH, Chang JH, Chang KC, Hsu HC, Tien HF, Cheng AL. Comparison of the expression and prognostic significance of differentiation markers between diffuse large B-cell lymphoma of central nervous system origin and peripheral nodal origin. Clin Cancer Res. 2006 12:1152-6.

  4. Ponzoni M, Berger F, Chassagne-Clement C, Tinguely M, Jouvet A, Ferreri AJ, Dell'Oro S, Terreni MR, Doglioni C, Weis J, Cerati M, Milani M, Iuzzolino P, Motta T, Carbone A, Pedrinis E, Sanchez J, Blay JY, Reni M, Conconi A, Bertoni F, Zucca E, Cavalli F, Borisch B; International Extranodal Lymphoma Study Group. Reactive perivascular T-cell infiltrate predicts survival in primary central nervous system B-cell lymphomas. Br J Haematol. 2007 138: 316-23.