| A 56 year-old Woman with a
Vague Abdominal Pain and Hepatosplenomegaly. November, 2008, Case 811-1. Home Page |
Ashish Bains, M.D.1, Jennifer L. Holter, M.D.2, Matthew M. Yeh, M.D., Ph.D.3, Kar-Ming Fung, M.D., Ph.D. 1 Last update: February 22, 2009.
1 Department of Pathology and 2 Department of Medicine, University of Oklahoma Health Science Center, Oklahoma City, Oklahoma and 3 Department of Pathology, University of Washington, Seattle, WA.
Clinical information: A 56 year-old African American woman presented with constitutional symptoms of vague abdominal pain, fatigue and weight loss. Her past medical history was significant for hypertension and otherwise unremarkable. Physical examination was remarkable for abdominal fullness and hepatosplenomegaly. A chest and abdominal computed tomography scan showed normal pulmonary and mediastinal anatomy with a moderately enlarged liver and spleen. Her laboratory data, including routine chemistries and complete blood count, were within normal limits, albeit a borderline low platelet count. Liver function tests were normal. Anti-mitochondrial antibody (AMA), antinuclear antibody (ANA), antineutrophil cytoplasmic antibodies (ANCA) and anti-smooth muscle antibody were all negative. Hepatitis and CMV serologies were also negative. A liver biopsy was performed.
![]() |
![]() |
![]() |
![]() |
![]() |
![]() |
| A | B | C | D |
E Reticulin |
F Trichrome |
![]() |
![]() |
![]() |
![]() |
![]() |
|
| G |
H CK7 |
I CK7 |
Scanned slide |
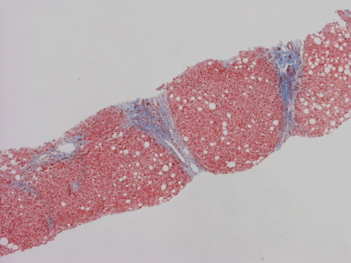
Scanned slide Trichrome |
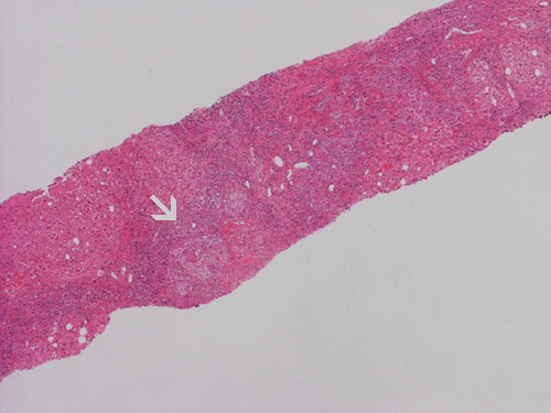
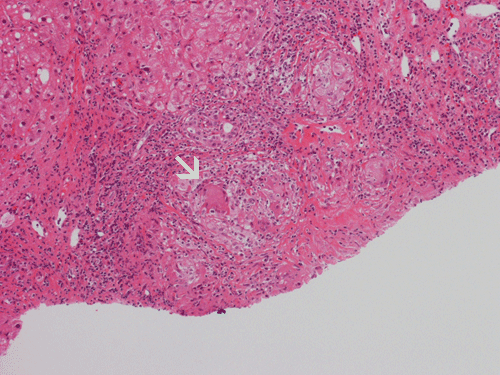
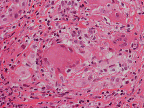
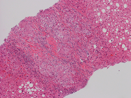
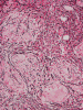
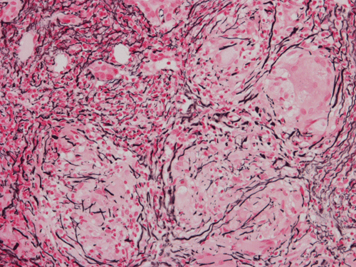
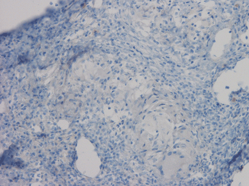
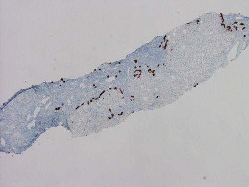
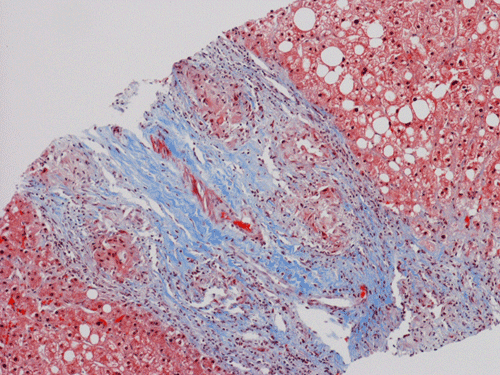
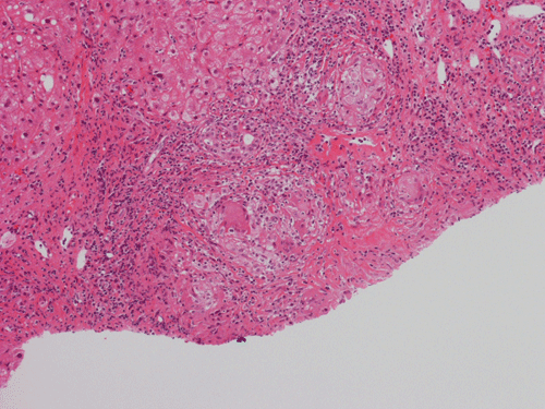
Pathology of the Case: At low magnification, a few small nodules (arrow in Panel A) can be seen with the hematoxylin and eosin stained section. On medium magnification, these nodules correspond to sharply defined granuloma without necrosis. These granuloma are not associated with a high density of lymphocytes in the surrounding liver parenchyma (Panel B and C). Multinucleated giant cells (arrow in Panel C, magnified in Panel D). On reticulin stain, there are reticulin fibers that extends into the granuloma (Panel E). Trichrome stain demonstrated bridging fibrosis (Panel F). The granuloma are well defined and some of them are surrounded by fibrous tissue (Panel G). Immunohistochemistry demonstrated preservation of bile ductules as well as proliferation of ductules (Panle H). No residual ductules are noted in the granuloma as revealed by immunohistochemistry for CK7 (Panel I). Neither acid fast bacilli or fungal organisms are identified by acid fast stain and Gomori's methenamine silver (GMS) stain.
Post Biopsy Laboratory Studies: A follow up blood work disclosed an elevated angiotensin converting enzyme (ACE) level.
| DIAGNOSIS: Sarcoidosis involving the liver. |
Discussion:
General Information
Hepatic granulomas have varied etiology; amongst the more common causes are infections, systemic disorders and drugs. Histopathology is useful in diagnosing and further guiding the treatment. Table 1 summarizes the important causes of granulomatous liver disease.
Sarcoidosis is a multisystemic disease of uncertain etiology, most commonly affecting the lungs. However, unusual cases may present with extrapulmonary manifestations and the disease can affect any organ system in the body. Exclusive liver involvement is documented in about 5 to 13% of systemic sarcoidosis patients. Most patients with hepatic sarcoidosis are asymptomatic and usually with normal liver function tests and are often discovered during the workup for abnormalities on computed tomography scan. A broad spectrum of conditions can cause hepatic granulomas (Table 1). It may be seen with infections (eg. mycobacterium, actinomycosis, parasites, hepatitis virus, CMV), toxins/drugs, (eg. berrylium, sulphonamides, phenylbutazone, quinidine), neoplasm (eg. Hodgkins disease), and other conditions such as primary biliary cirrhosis (PBC). The cholestatic symptoms of sarcoidosis shares numerous features primary biliary cirrhosis. Unlike PBC, however, the anti-mitochondrial antibody titer is not increased in sarcoidosis. An infectious etiology of sarcoidosis had been suggested for many years; however, this remains a controversial issue and further studies are mandated.
Table 1: Common causes of hepatic granuloma.
| Category | Etiology |
| Bacteria | Tuberculosis, atypical mycobacterial infections, brucellosis, leprosy, actinomycosis, tularemia, syphilis. |
| Fungi | Histoplasmosis, coccidioidomycosis, aspergillosis, candidiasis. |
| Parasites | Schistosomiasis, toxoplasmosis, larva migrans. |
| Viruses | Hepatitis virus, cytomegalovirus (CMV). |
| Toxins, Drugs | Sulphonamides, phenylbutazone, quinidine, berrylium. |
| Neoplasms | Lymphomas, especially Hodgkin’s disease. |
| Hepatobiliary diseases | Primary biliary cirrhosis. |
| Idiopathic | Unknown. |
| Miscellaneous | Sarcoidosis, inflammatory bowel disease, vasculitis, foreign body (talc). |
Pathology
Histopathologic features of sarcoidosis include scattered granulomas in the liver, which may tend to be portal or periportal. Multinucleated giant cells, epithelioid cells, and a variable but usually minimal inflammatory cellular response is present. The granulomas, like in sarcoidosis occuring in other organ systems, tend to be well-demarcated or "clear cut", several granulomas are often comparable in size, and necrosis is not typically present. Asteroid bodies, intracellular vacuolated structures resembling a sea anemone, may be found within the giant cells. Large basophilic, round to roughly oval, and concentrically laminated, Schaumann bodies may be evident in the sarcoid granuloma. None of these inclusions are pathognomonic feature of sarcoidosis, however, do suggest this diagnosis. Ductopenia, cholestasis and features of chronic cholestasis resembling PBC have been described in the cases of sarcoidosis. Severe fibrosis and cirrhosis in conjunction with portal hypertension may be present in sarcoidosis. End stage liver disease in sarcoidosis has been successfully treated by orthotopic liver transplant and recurrent disease has been reported in one such case. Reticulin fibers has a tendency to extend into the granulomas as illustrated in this case.
These features are rather non-specific. Hence, an alternative diagnosis must be excluded based on clinical history, prevalence of infectious diseases, and other relevant laboratory testing. In particular, an infectious etiology must be ruled out.Further Reading:
Judson MA. Extrapulmonary sarcoidosis. Semin Respir Crit Care Med. 2007 28:83-101.
Harder H, Büchler MW, Fröhlich B, Ströbel P, Bergmann F, Neff W, Singer MV. Extrapulmonary sarcoidosis of liver and pancreas: a case report and review of literature. World J Gastroenterol. 2007 13:2504-9.
James DG. Epidemiology of sarcoidosis. Sarcoidosis. 1992 9:79-87.
Brunt EM. Liver biopsy interpretation for the gastroenterologist. Curr Gastroenterol Rep. 2000 2:27-32.
Ishak KG. Sarcoidosis of the liver and bile ducts. Mayo Clin Proc. 1998 73:467-72.
Note: This case has been presented as an abstract at the 2008 College of American Pathologist (CAP) Annual Meeting.