| A 37 year-old Woman with an 8 cm Popliteal Mass. June, 2020, Case 2006-1. Home Page |
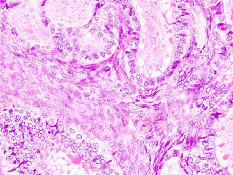
Clinical information: The patient was a 37 year-old woman with a deep 5.5 cm popliteal mass. Based on the FNA finding, the mass was excised and yielded the following images.
![]() |
|
|
|
|
![]() |
|
A. Online slide |
B. | C. | D. | E. | F. |
|
|
|
|
|||
| G. | H. |
I. PAS |