November, 2003, Case 311-1
![]() |
![]() |
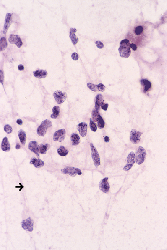
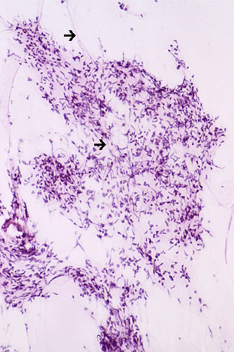
The lesional cells occur in clusters and with elongated cytoplasmic processes (Ú). The nuclei are hyperchromatic and somewhat angulated resembling a "baking potato". They tend to lie in parellel with the axis of their elongated cytoplasm. Nucleoli are not seen.