November, 2003, Case 311-1 Quiz set! Click here to see.

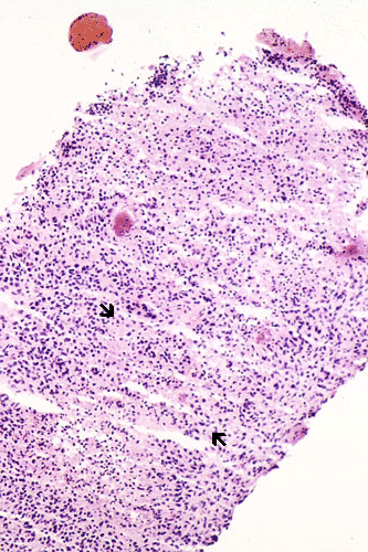
On low-magnification, a streak of pale staining suspicious of necrosis is present and is confirmed at higher magnification. The necrotic streak is delimited by arrows.