A 76 year-old man with a History of Parkinson Disease, Sudden onset of Weakness with Tremor.
January, 2020, Case 2001-1. Home Page

Kar-Ming Fung, M.D., Ph.D. Last update: April 30, 2020.

Department of Pathology, University of Oklahoma Health Sciences Center, Oklahoma City, Oklahoma.

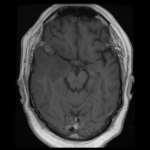
Clinical information: The patient was a 76 year-old man with a history of Parkinson's disease. He developed sudden onset weakness of lower extremities while standing. He did not fall and was able to sit down. There was a brief tremor of his upper extremities but there was no seizure. On furhter work up, an enhancing mass, 2.0 x 1.6 cm, was noted in his right temporal pole. The mass was resected.

A.
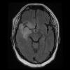
T1 + Contrast
B.
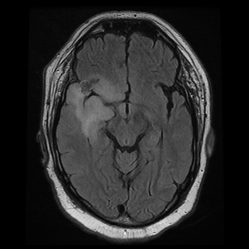
FLAIR
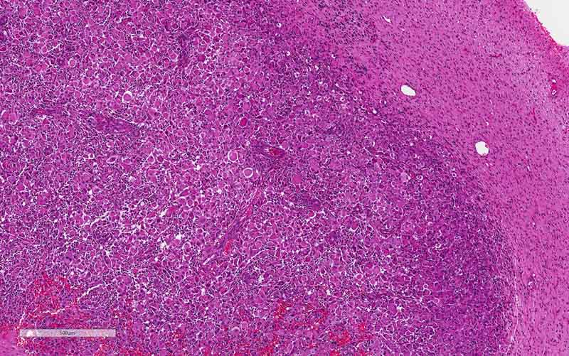
C. D. E.
 
F. G. H.
Ki67
I.
Ki67
 

Radiology of the Case: The mass is located at the tip of the right temporal lobe causing minimal midline shift. There is heterogensous enhancement suggestive of necrosis (Panel A). There is substantial edema around this mass with extension inot the posterior temporal lobe, insula, and inferior lateral frontal lobe (Panel B). The edematous area on FLAIR probably 

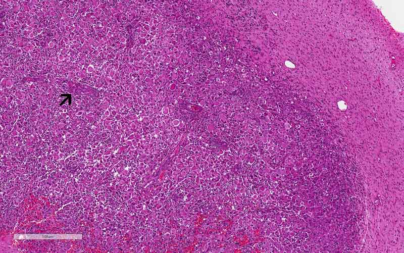
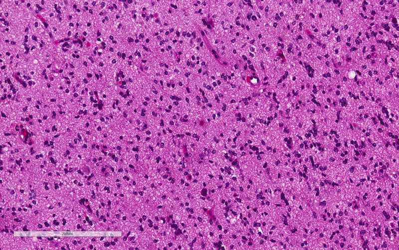
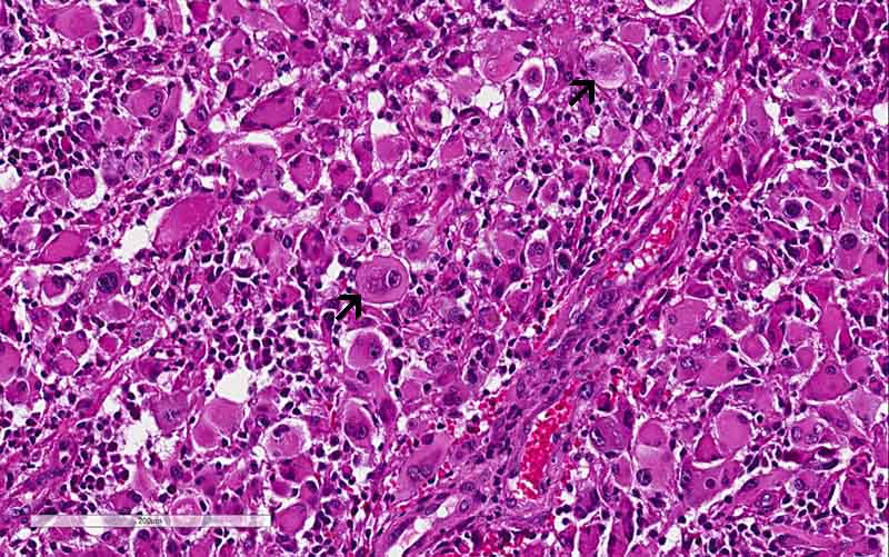
Pathology of the Case: The tumor seems to have a biphasic pattern. In some of the areas, it has the classic features of a neoplastic glial neoplasm (Panel C, D,, & E). These areas show a rather homogenous proliferation of neoplastic glial cells with high-grade nuclei. Note the spongiotic background (Panel E) and this probably are the edematous area demonstrated on FLAIR. In the remaining parts of the specimen, however, there are islands of large, bizarre cells that are well-demarcated (Panel F) from the surrounding tumor with features in Panel C and D. These large cells are characterized by a large variation in size with many of them a centrally located inclusion (Arrow in Panel G) that seems to have pushed the nucelus to an eccentric location. While some of them are binucleated (Arrow in Panel G), multinucleated tumor cells are not common. The nuclei are enlarged, pleomorphic, and with large and eosinophilic nucleoli. These cells are rhabdoid cells. Endothelial proliferation is also present (Arrow in Panel F). There is some necrosis (not shown). On immunohistochemistry, the tumor cells are negative for IDH1-R132H consistent with no mutation. The tumor cells are strongly positive for ATRX consistent with wild-type ATRX. Only occasional tumor cells are positive for p53 indicating no mutation in p53. The Ki67 labeling is much higher, up to about 30%, in the rhabdoid area in comparison to the areas with features of classic high-grade glioma (Panel H & I).

Comment on pathology: The rhabdoid area is well-demarcated fromt he surrounding high-grade glioma with a pushing margin. This phenomenon is most consistent with a high-grade/rhabdoid transfromation arising from the surrounding high-grade glioma areas. This kind of well-demarcated high-grade changes is more commonly seen in malignant/high-grade transformation in sarcomas.

Molecular profile: A paraffin block containing the rhabdoid changes was submitted for next generation sequencing and chromosome microarray testing.
  Mutations: TERT, EGFR, KRAS, KDM61
  Chromosomal abberations: +7, EGFR amplification, CDKN2A/B homozygous deletion, and -10
  MGMT promoter methylation: None

DIAGNOSIS: Glioblastoma, WHO grade IV, IDH wild-type, with rhabdoid changes

Discussion: General Information    Pathology   Rhabdoid Changes   Differential diagnosis   Related Interesting Cases

General:

    The prefix rhabdo- is borrowed from Greek and it means rod-like, rods, or wands. Perhaps it is a good way to describe the striations in skeletal muscle, it is used to describe skeletal muscle type of differentiation. Before the introduction of immunohistochemistry and molecular biology, pathologists have to hunt for the striations the emulate striations of skeletal muscle in a tumor in order to call it a rhabdomyosarcoma [click here to see a case] or rhabdomyoma [click here to see a case]. In the modern practice, immunohistochemistry is typically employed to demonstrate that there is no expression of desmin, myogenin, and MyoD for a cell or tumor to be called rhabdoid.

    Rhabdoid, on the other hand, is a term used to describe cells that have features mimicking skeletal differentiation but they are not they are not real skeletal differentiation. Desmin, myogenin, MyoD and other skeletal muscle markers cannot be demonstrated in these tumors. Rhabdoid cells are large polygonal cells with a large central inclusion ultrastructrally composed of intermediate filament that is usually vimentin. Nuclei are large, vesicular, with prominent nucleoli, and are eccentric to the inclusion.

    Primary rhabdoid tumors constitute a group of predominantly pediatric tumors that have features morphologically suspicious of skeletal muscle but without genuine skeletal muscle phenotype. These tumors are mostly seen in kidney, in soft tissue and in the central nervous system (atypical teratoid/rhabdoid) tumor. However they have been described in virtually all of the anatomical sites. Most of these tumors share the genetic signature of deletion of SMARCB1 gene (also known as hSNF5/INI1/BAF47) on chromosome 22 with a small number of atypical teratoid/rhabdoid tumors associated with loss of BRG1 (SMARCA4) rather than INI1. The protein product can be detected by immunohistochemistry [Judkins AR, 2007]. Histologically, epithelioid tumor cells have certain similarities with rhabdoid tumor cells. Many epithelioid tumors are associated with loss of INI1 expression [Hornick JL et al., 2009].

    Rhabdoid change, however, can be seen as a subpopulation of cells arising from a histologically lower grade tumor [Perry A et al., 2005, Fung et al., 2004]. It is an indication of malignant or high-grade transformation. It is essentially a growth pattern but not a differentiation. It is typically not associated with loss of INI1 expression. Clinically, rhabdoid changes are typically associated with rapid enlargement of a pre-existing tumor [Fung KM et al., 2004] and rapid clinical decline. These tumor are referred to composite  rhabdoid tumors and rhabdoid changes can occur in a wide variety of tumors. Characteristically, no loss of INI1 is present in these composite rhabdoid tumors [Perry A et al., 2005]. There a rare report of a glioblastoma with rhabdoid changes associated with loss of INI1 in the rhabdoid component [Yamoto J et al., 2011].

    Rhabdoid glioblastoma refers to tumor with rhabdoid cells arising within a background of otherwise classic glioblastoma. It fits the definition of composite extra-renal rhabdoid tumor. It should not be confused with epithelioid glioblastoma which is composed of solid sheets of discohesive epithelioid cells without association with a conventional glioblastoma component. Phenotypically, both rhabdoid and epithelioid glioblastoma have intact INI1 and they are non-reactive for claudin 6 which is a marker for atypical teratoid/rhabdoid tumor [Kleinschmidt-DeMasters BK et al., 2010]. Both rhabdoid and epithelioid glioblastoma are more aggressive than conventional glioblastoma [Sugimoto K et al., 2016].

Pathology:

    Next generation sequencing panel study and chromosome microarray study were performed in this case with a block containing the rhabdoid changes. There was no loss of SMARCB1(INI1) or SMAECA4(BRG1) were demonstrated by next generation sequencing. Chromosomal changes included gain of chromosome 7, EGFR amplification, CDKN2A/B homozygous deletion, and heterozygous loss of chromosome 10. There was also mutation of TERT promoter. These features were classic for a glioblastoma. The rhabdoid changes stood out distinctly in a background of high-grade glioma.  The significant increase in Ki67 labeling in the rhabdoid area. Both features supported that the rhabdoid component was a high-grade transformation arising from the existing glioma. With all of these features taken into consideration, this is a case of glioblastoma with rhabdoid changes.

Glioblastoma with Rhabdoid Changes:

Glioblastoma, formerly known as glioblastoma multiforme, has a reputation to demonstrate a wide range of histopathologic patterns. In the 2016 World Health Organization (WHO) classification of brain tumors, glioblastomas are separated into two major groups, the IDH wild-type and IDH mutant. In tumors with IDH wild-type, there are several patterns in addition to the classic pattern of high-grade glioma with endothelial proliferation and, often, pseudopalisading necrosis. These patterns include small cells and small cell glioblastoma, primitive neuronal cells and glioblastoma with a primitive neuronal component, glioblastoma with oligodendroglioma component, glioblastoma with gemistocystic astrocytic components, glioblastoma with multinucleated giant cells, granular cells and granular cell glioblastoma, lipidized clls and heavily lipidized glioblastoma, and metaplastic glioblastoma.

In the 2016 WHO classification, WHO also recognizes three rare variants namely epithelioid glioblastoma, giant cell glioblastoma, and gliosarcoma. These variants typically lack IDH mutation. Epithelioid glioblastoma is a characterized by mitotically active, closely packed epithelioid cells and some rhabdoid cells with microvascular proliferation and necrosis. Giant cell glioblastoma is characterized by bizarre, multinucleated giant tumor cells and an occasionally abundant reticulin network. Gliosarcoma is characterized by a biphasic pattern with components demonstrating glial and mesenchymal differentiation.

Neither glioblastoma with rhabdoid changes nor rhabdoid glioblastomas are recognized as a specific pattern or variant in the 2016 WHO classification. Therefore, glioblastoma with rhabdoid change (or component) is a better term than rhabdoid glioblastoma for the current tumor which has both a conventional high grade glioma component and a distinct subpopulation of rhabdoid tumor. Yamamoto J et al. described a similar case in 2012. Like other composite rhabdoid tumors, the rhaboid component is signature of rapid growth. INI1 genes, like the current case, is typically preserved [Perry A et al., 2005, Fuller CE et al., 2001] but there are exceptions [Donner LR et al., 2007, Wyatt-Ashmead J et al., 2001].

Differential Diagnosis:

     Epithelioid glioblastoma: As mentioned earlier, epithelioid glioblastoma and rhabdoid glioblastoma share some cytologic similarities. One can also imagine that rhabdoid change is an exagerated version of epithelioid changes. However, epithelioid glioblastoma is composed entirely of epithelioid cells while rhabdoid glioblastoma contains rhabdoid areas embedded within a background of conventional glioblastoma.

     Metastatic rhabdoid carcinoma: In the personal experience of the author, metastatic carcinoma with rhabdoid changes are rare biopsy specimens fromt he brain. It is true that rhabdoid tumors are more aggressive and they probably are more likely to metastasize. The speculation is that they would kill the patient so fast that biopsy or resection of tumor in the brain are not performed for many reasons. Anyway, metastatic rhabdoid carcinoma, however, looks homogeneously rhabdoid which may be more suggestive of epithelioid glioblastoma than rhabdoid glioblastoma. In addition, they can be multiple and may have a positive history. Besides, they should be negative for glial fibrillay acidic protein wile rhabdoid and epithelioid glioblastoma are typically positive [Sugimoto K et al., 2016].

     Atypical teratoid/rhabdoid tumor [click here to see a classic case]: This tumor occurs mostly in infants under 3 years of age but uncommon in older children, and rare in young adults.  In contrast to its name, the degree of rhabdoid changes can vary from minimal to fully developed. Most of them have loss of INI1 which can be demonsrated on immunohistochemistry. But this is not full proof as a small number of them have loss of BRG1. In coa ntrast to rhabdoid glioblastoma, rhabdoid cells in atypical teratoid/rhabdoid tumors do not form a distinct area that stands out from the rest of the tumor. One must also note that they can be positive for GFAP and which can be confused with rhabdoid or epithelioid glioblastoma.

    Metastatic melanoma: Metastaic melanoma to the brain can appears as a discohesive plasmacytoid or epithelioid tumor. These tumors can, in fact, looks like a plasma cell tumor on cytologic preparation but the nuclear grade is usually higher than that of a melanoma. Many of them are amelanotic. However, metastatic melanoma will not be associated with a conventional glioblastoma. On immunohistochemistry, melanoma are positive for MART-1 (MelanA), tyrosinase, HMB45, and MiTF. These markers are negative for glioma.

Related Interesting Cases:

BP-2010-04-205

BP-2013-05-258

Fung KM et al., 2004

UPMC-2006-05-0466

BP-2004-06-099

BP-2001-04-061

Yamamoto J 2012