Case No.: N-027  Quiz 

Diagnosis: Chordoid meningioma, WHO grade II

Organ: Brain

Last Updated: 11/21/2011

 

Online Slide/Full Screen/Open with ImageScope

Hematoxylin & eosin

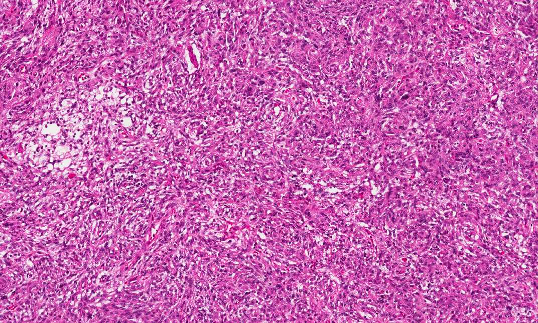
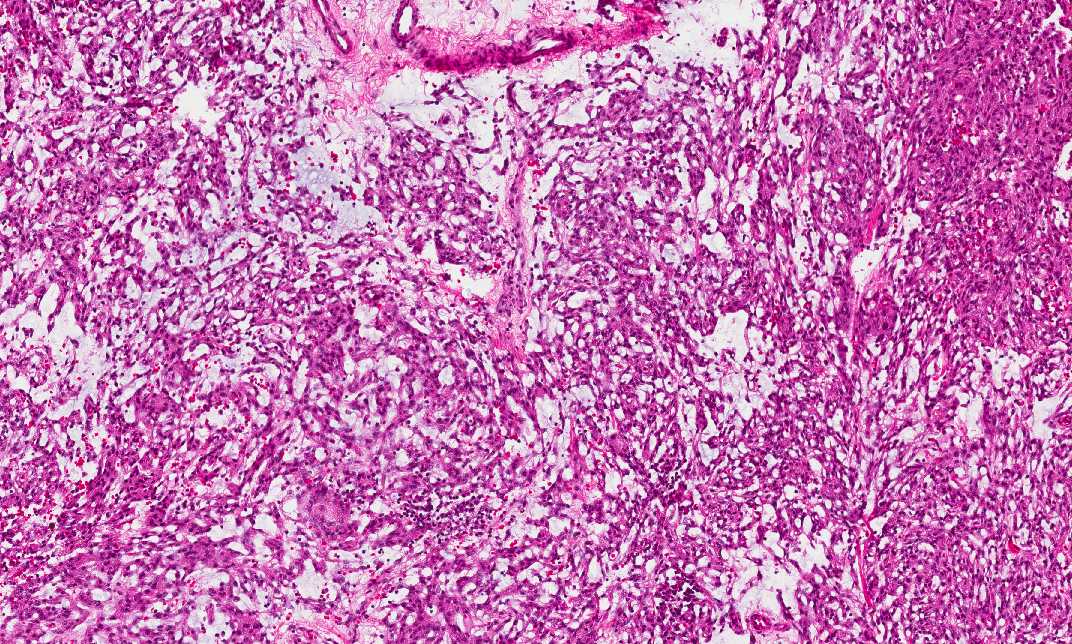
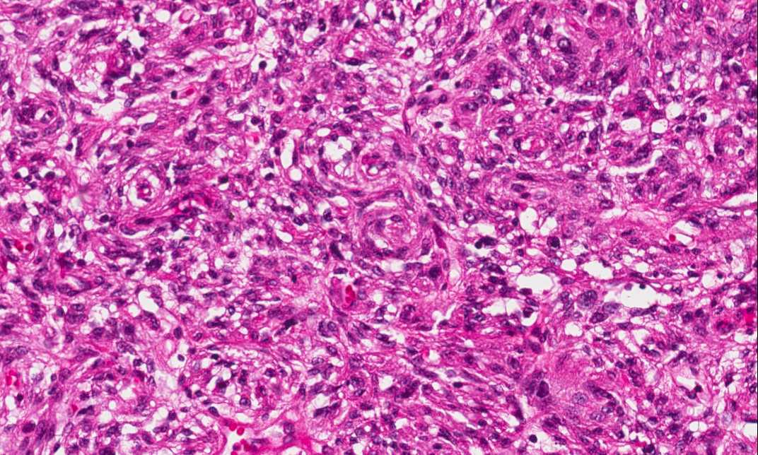
Area 1: The tumor cells are rather spindle in shape and have a vague concentric arrangement. However, classic meningotheliomatous whorls are not present. This type of vague concentric arrangement of tumor cells is a hint for diagnosis in meningiomas. If you pay attention, the cytoplasm of the tumor cells have a fine bubbly type of appearance.

Hematoxylin & eosin

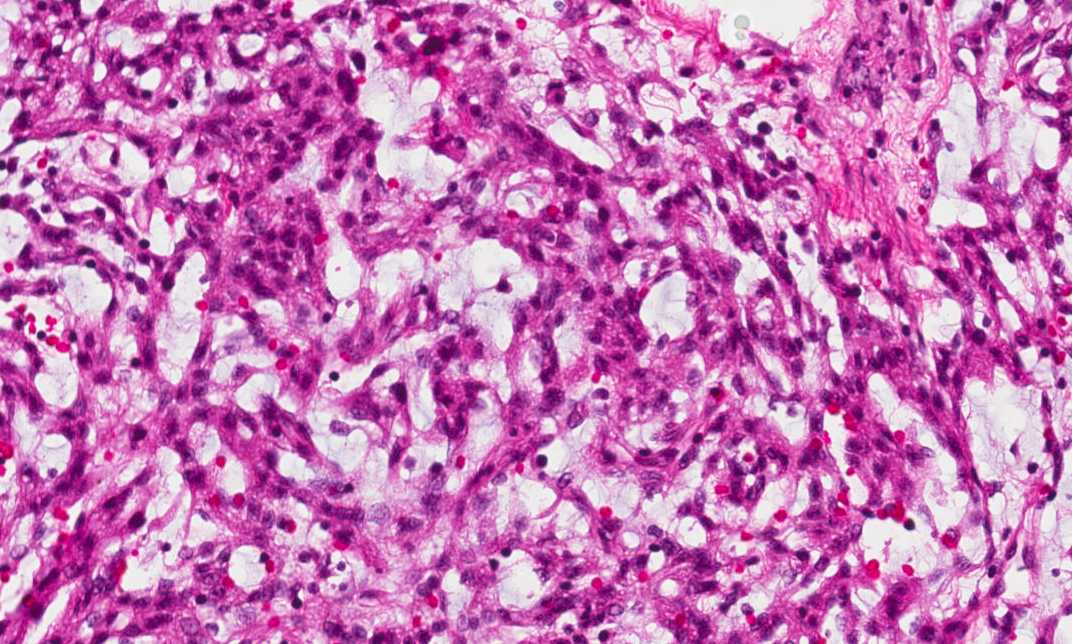
Area 2: This area has substantial amount of intercellular mucoid material in between tumor cells. It looks quite different from Area 1. However, if you put in some imagination and mentally add the intercellular mucoid material to Area 1, the two areas do not look that much different anymore.

Hematoxylin & eosin

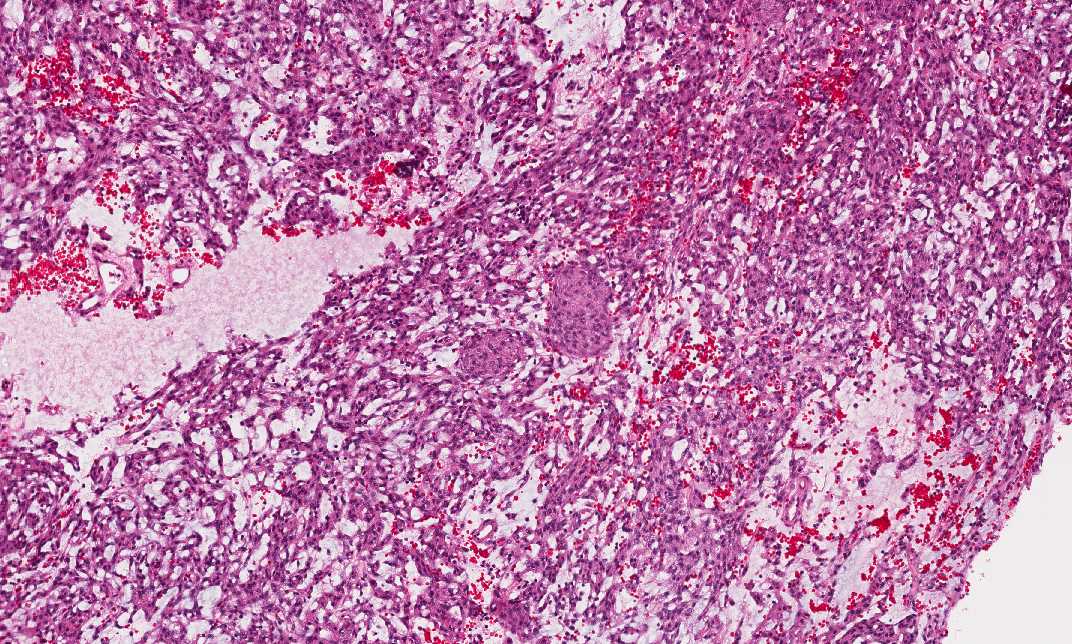
Area 3: In this area, there are some islands that are suggestive of meninogthelial meningioma component. If you pay attention, however, these cells also have fine bubbly cytoplasm.

History: The patient was a 56 year-old woman who presented to his primary care physician with a history of headache for 3 months. An MRI scan demonstrated an enhancing 3 cm dural based mass in the frontal lobe.

 

Histologic Highlights of this Case:

  • Certain areas of this tumor is composed of spindle cells that tend to arrange in vague concentric whorls (Area 1). In this areas, there are some small vacuoles in between the tumor cells. Also, the cytoplasm of the tumor cells are vaguely bubbly. However, no significant intercellular substance is noted in between the tumor cells.

  • In other areas (Area 2 and 3), however, substantial amount of mucoid material is present in between the tumor cells. Also, the cytoplasm is more bubbly in these areas. The mucoid material is well demonstrated with Alcian blue stain.

  • The tumor cells are positive for epithelial membrane antigen.

  • Mitoses are not common in this case and there is no necrosis.

Comment:

  •  Meningioma is perhaps the one with most diversified histologic pattern among all tumor of the CNS. Many of these patterns are not related to biological behavior. However,  clear cell meningioma and chordoid meningioma are grade II, papillary and rhabdoid meningioma are grade III in the WHO classification and these pattern should be recognized.

  • It is not common for meningioma to have a pure pattern in all areas as illustrated in this case.

Bonus Images:

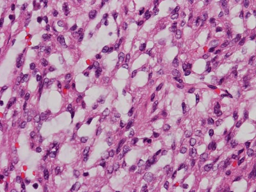
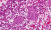
Hematoxylin & eosin

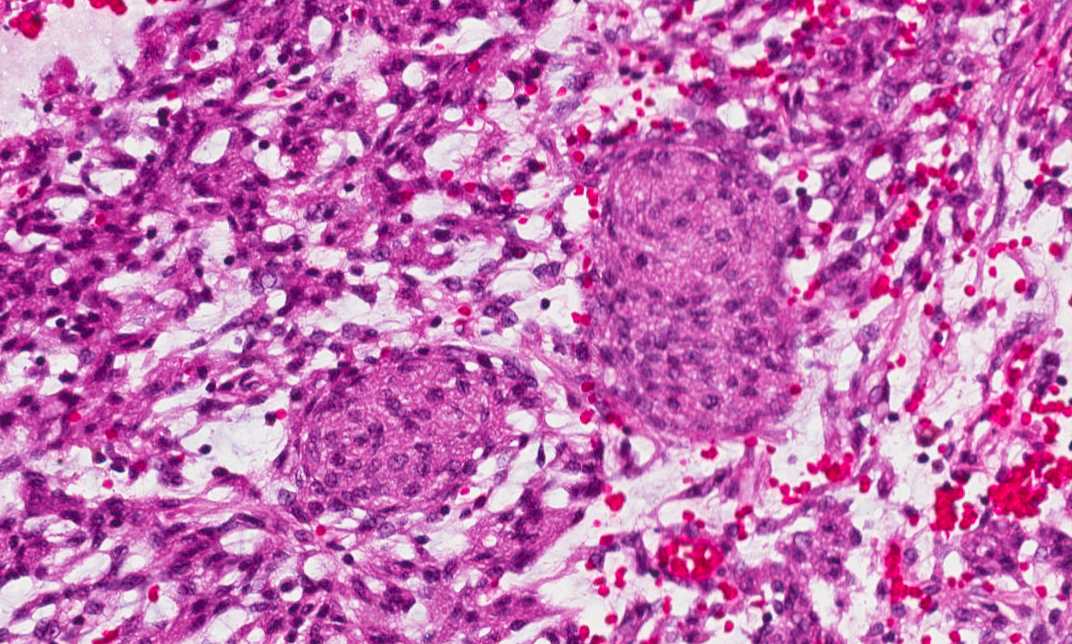
High Magnification: The fine bubbly cytoplasm is similar to the physaliferous (Greek for "bubble-bearing") cells in chordoma. For this features and the mucoid intercellular substance, these tumor are named chordoid meningioma.

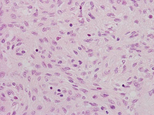
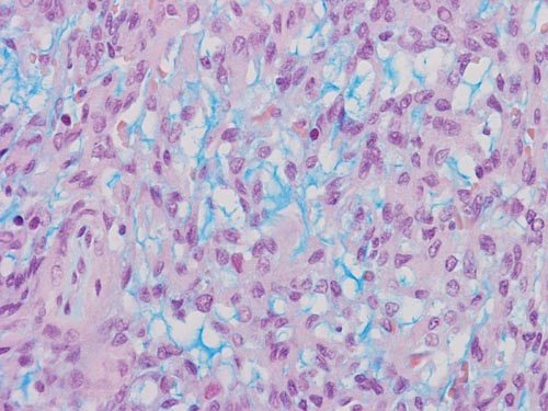
Hematoxylin & eosin

Alcian blue stain: The Alcian blue positive intercellular substance is not present in the more solid area. In areas that are less solid area, the mucoid intercellular substance is strongly positive for Alcian blue.

Original slide is contributed by Dr. Kar-Ming Fung, University of Oklahoma Health Science Center, Oklahoma, U.S.A.

 Home Page