| A Large Cerebellar Mass. March, 2004, Case 403-2. Home Page |
Clinical information:
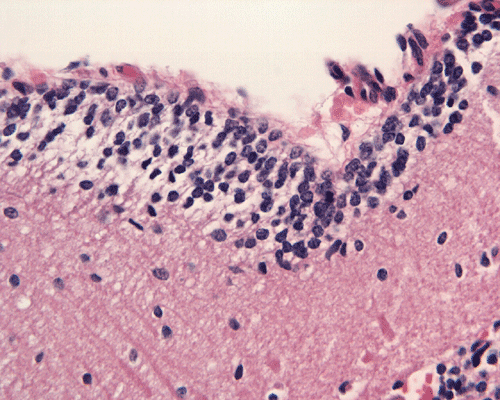
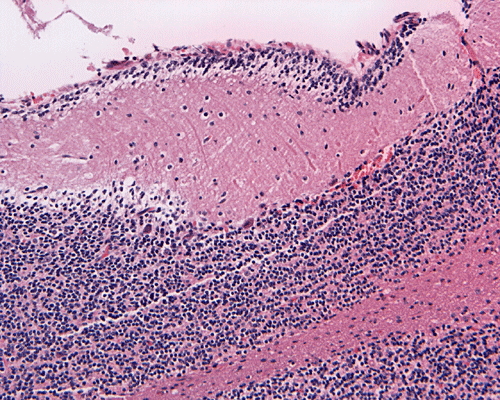
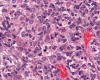
The patient was admitted to our hospital because of a large cerebellar mass that was diagnosed in an outside institution. A surgery was performed. The followings are the representative photos of this mass.
![]() |
![]() |
![]() |
![]() |
![]() |
![]() |
|
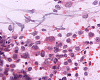
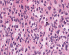
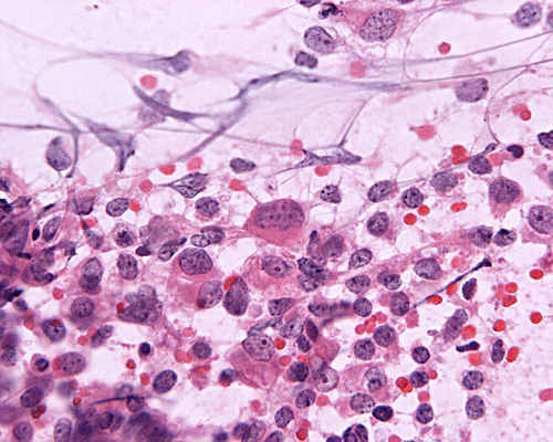
A. Squash |
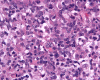
B. Frozen |
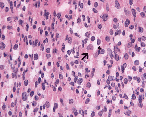
C. | D. | E. | F. |
![]() |
![]() |
||||
| G. | H. |
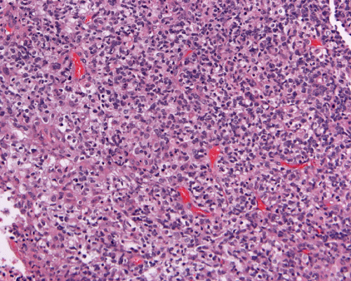
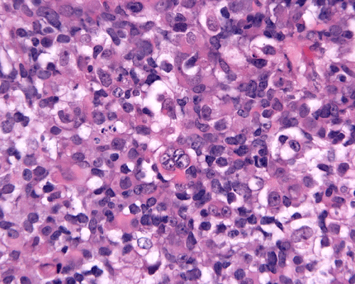
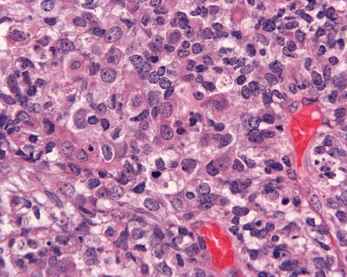
Panel A was a cytologic preparation (squash preparation) and Panel B was the frozen section obtained on intraoperative consultation respectively. Panel C, D, and E were permanent sections obtained from representative areas. Panel F, G and H were cerebellar tissue that was included in the specimen.
Questions: