| A 36 year-old Woman with a
Swelling in her Left Neck. October, 2008, Case 810-2. Home Page |
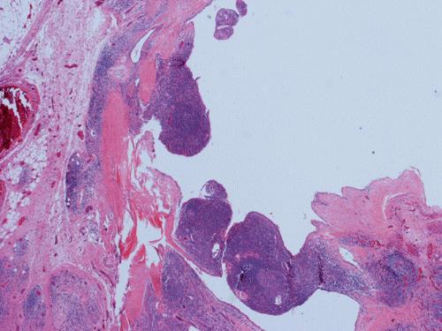
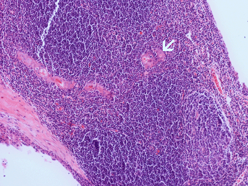
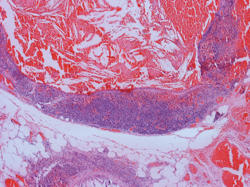
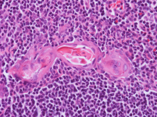
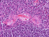
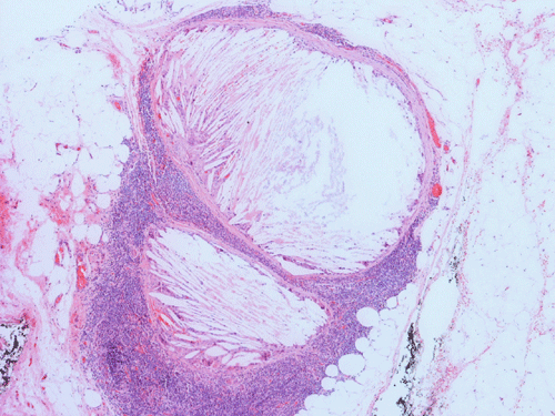
Clinical information: The patient is a 36 year-old woman who presented with a 2 cm swelling in the left side of her neck. The mass was not tender, warm, or painful. The overlying skin was unremarkable. A CT scan was performed and showed a 1.8 x 1.2 cm relatively non-enhancing lesion within the carotid sheath displacing the carotid artery anterioriorly. The clinical and imaging features yielded an empirical diagnosis of an enlarged lymph node. The patient had no history of lymphoma, leukemia, or head and neck tumor. The mass was removed surgically in its entirety and was 2.5 cm in maximum dimension, well encapsulated, located at the level of the carotid bifurcation just lateral to the carotid artery and superiorly extending almost up to the level of the tonsils. The mass did not appear to be in continuity with the jugular vein or the carotid artery. It was not a part of the vagus nerve or sympathetic chain. The followings are representative images.
![]() |
![]() |
![]() |
![]() |
![]() |
![]() |
![]() |
| A. | B. | C. | D. | E. | F. | Scanned slide |